打开应用

水痘病毒性肺炎

陈医师   南京医科大学附属江宁医院

主诉 病史

男,26岁,因咳嗽、发热及轻度呼吸困难5天就诊。呼吸道症状前3天开始出现疱疹样皮疹。患者吸烟14年,每日30支。患者女儿近期罹患水痘;患者本人并未接受水痘疫苗接种,也未曾患过水痘。

查体 辅查

皮肤检查发现多形性皮疹,伴有水疱、脓疱及硬痂(图A)。

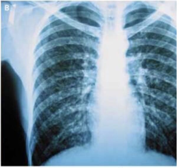
入院时胸片显示双肺多发小结节(图B)。无中枢神经系统或肝脏受累表现。

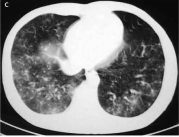
高分辨 CT 显示多个边界不清的结节,直径为 1~5 mm。某些结节聚集融合,周围有磨玻璃样晕征(图C)。

诊断 处理

HIV 血清学检测阴性。 根据皮疹特点、肺部症状及与水痘患儿的接触史诊断为水痘病毒肺炎。 患者静脉注射阿昔洛韦。入院后7天复查胸片显示结节消失。患者顺利恢复。

发布于 17-06-21 07:12

22 个评论

发送