打开应用

前牙导板下全瓷修复

郭医师   广东省佛山市空军医院
牙体缺损

主诉 病史

患者自觉上前牙美观欠佳,随求诊

查体 辅查

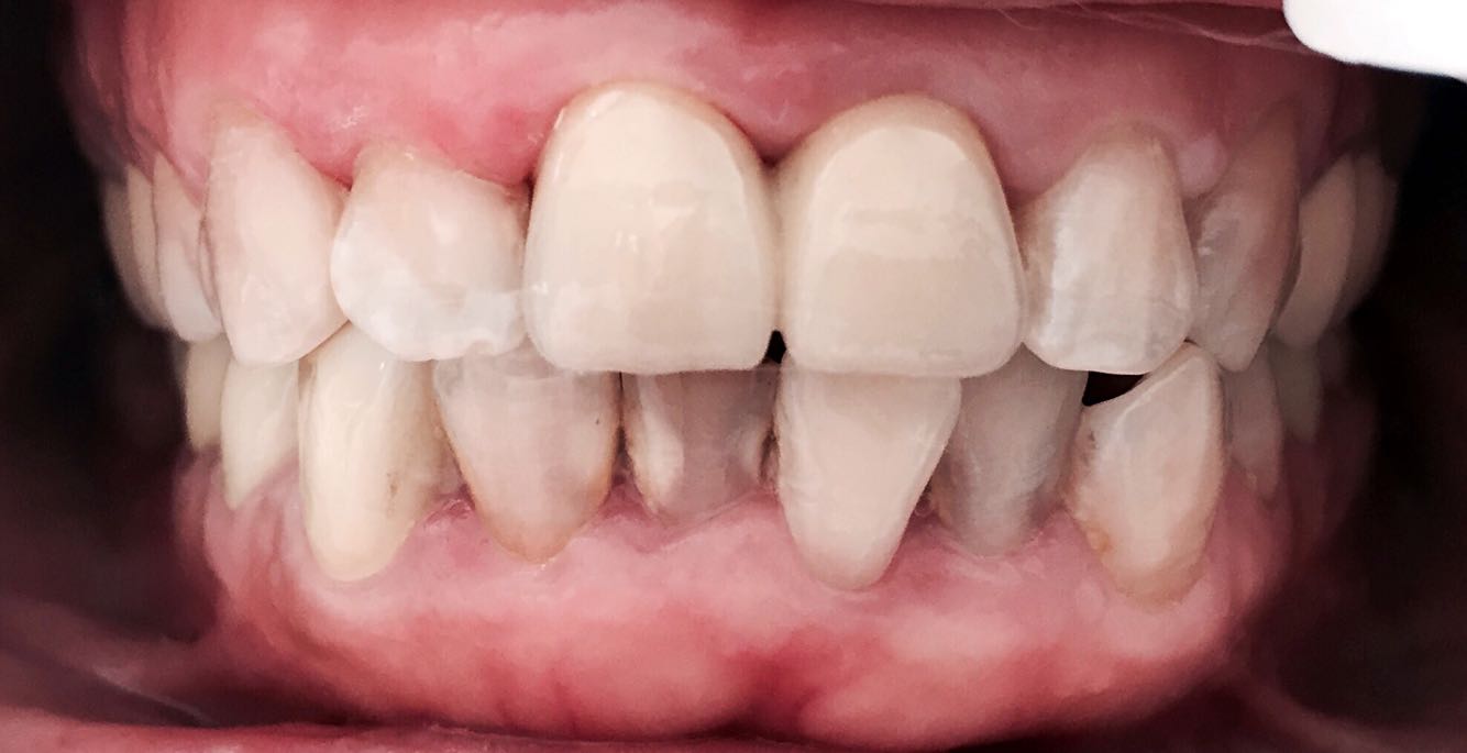
11远中扭转约40度。12,13近中邻面深龋,21近中舌侧大面积龋损,冷诊,叩诊阴性

诊断 处理

21牙髓坏死伴舌侧缺损 21RCT,21纤维桩。11,21全瓷冠修复。 术前告知患者11预备中露髓后行RCT。 一诊,术前取模型

制作诊断蜡型

在此模型上翻制最终诊断模型

制作硅橡胶导板

二诊,术前局麻,硅橡胶导板无法就位

21置入纤维桩后行11,21牙体预备 先预备11远中轴面,露髓后行一次法根充,预备至硅橡胶导板可顺利就位时,以导板做目标修复,再次预备牙体,术中硅橡胶反复对比把控预备量

以CPI探针做预备量测量,已预备出约1.5mm。舌侧少量预备后抛光牙体,完成牙体预备

硅橡胶二次法取印模

三诊,试戴全瓷冠,边缘密合,颜色尚可。冠粘接前对12,13行树脂修复已改善前牙美学效果。冠粘接术后即刻照。

术前术后对比

术前术后面容对比

修复效果尚可,患者满意

随访 讨论

对于前牙扭转角度过大时,为了保证预备量的精准性,导板下预备是很好的方法,即保证了修复的效果,也最大程度保留了预留牙体组织

发布于 17-06-08 15:26

8 个评论

发送