下载或打开 医联APP 查看完整评论
立即下载
打开APP
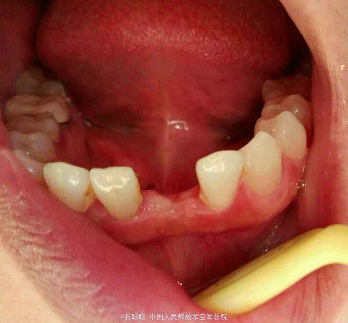
主诉:要求修复下前牙 现病史:诉3月前因外伤拔除一颗下前牙,戴用活动义齿,现来我科要求修复 既往史:否认高血压、心脏病、糖尿病史,否认药敏史


检查:31缺失,弹性义齿修复,牙槽脊较丰满,41、32牙体长轴基本一致,未见龋坏、牙石,无明显松动,前牙对刃合



诊断:31缺失 治疗计划:41、31、32全瓷桥修复 处置:碧蓝局麻下,预备41、32牙体,排龈,取模,比色,3M2,制作临时冠,调磨,粘固 一周后复诊:试戴全瓷桥,调节邻接关系,调合,U200粘固








讨论:这个病例是比较常规的固定桥修复病例,患者着重强调美观的恢复,选择了美观性能较好的全瓷桥修复方案,修复效果从边缘密合度和色泽上看都是比较理想的。