打开应用

脉络膜裂伤

金医师   辛集复明眼科医院

主诉 病史

右眼钝器打伤视力下降20天

查体 辅查

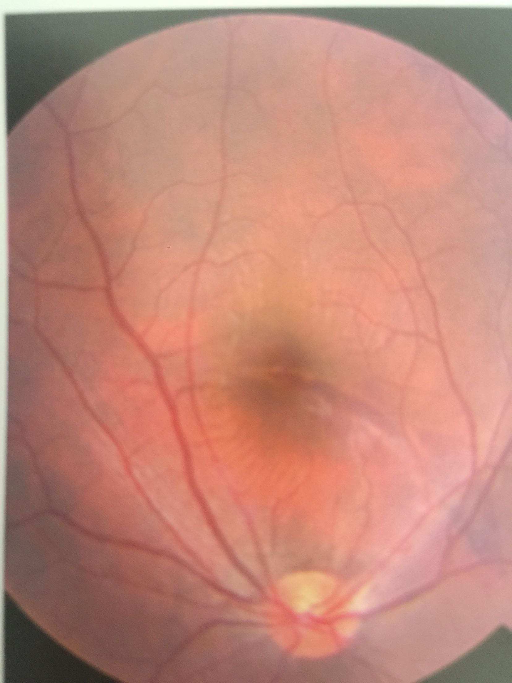
视力:右眼 0.2不能矫正 左眼1.0 眼压:16/19mmhg右眼结膜充血+角膜透明,前房3.0CT。晶体玻璃体透明。眼底视盘界清色可,颞上方血管弓与黄斑区之间可见一弧形脉络膜裂伤,裂伤处及其周围视网膜下可见浓厚出血。

诊断 处理

右眼脉络膜裂伤 入院后给予甘露醇、Vc、联合中药治疗

随访 讨论

外伤性脉络膜破裂系外力直接及眼球壁或间接由玻璃体传导至脉络膜。脉络膜裂伤多位于后极部。

发布于 17-05-13 09:32

19 个评论

发送