打开应用

这样的病,你见过吗?

陈医师   新乡市中心医院

主诉 病史

女,77岁 反酸,嗳气2月。 患者2月前,无明显诱因出现反酸,嗳气,无恶心,呕吐,无吞咽困难,未予重视,症状不缓解,门诊胃镜提示食管鳞状高级别内瘤变。 既往有白内障手术。

查体 辅查

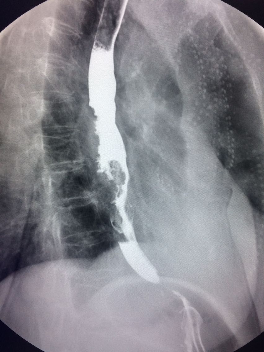
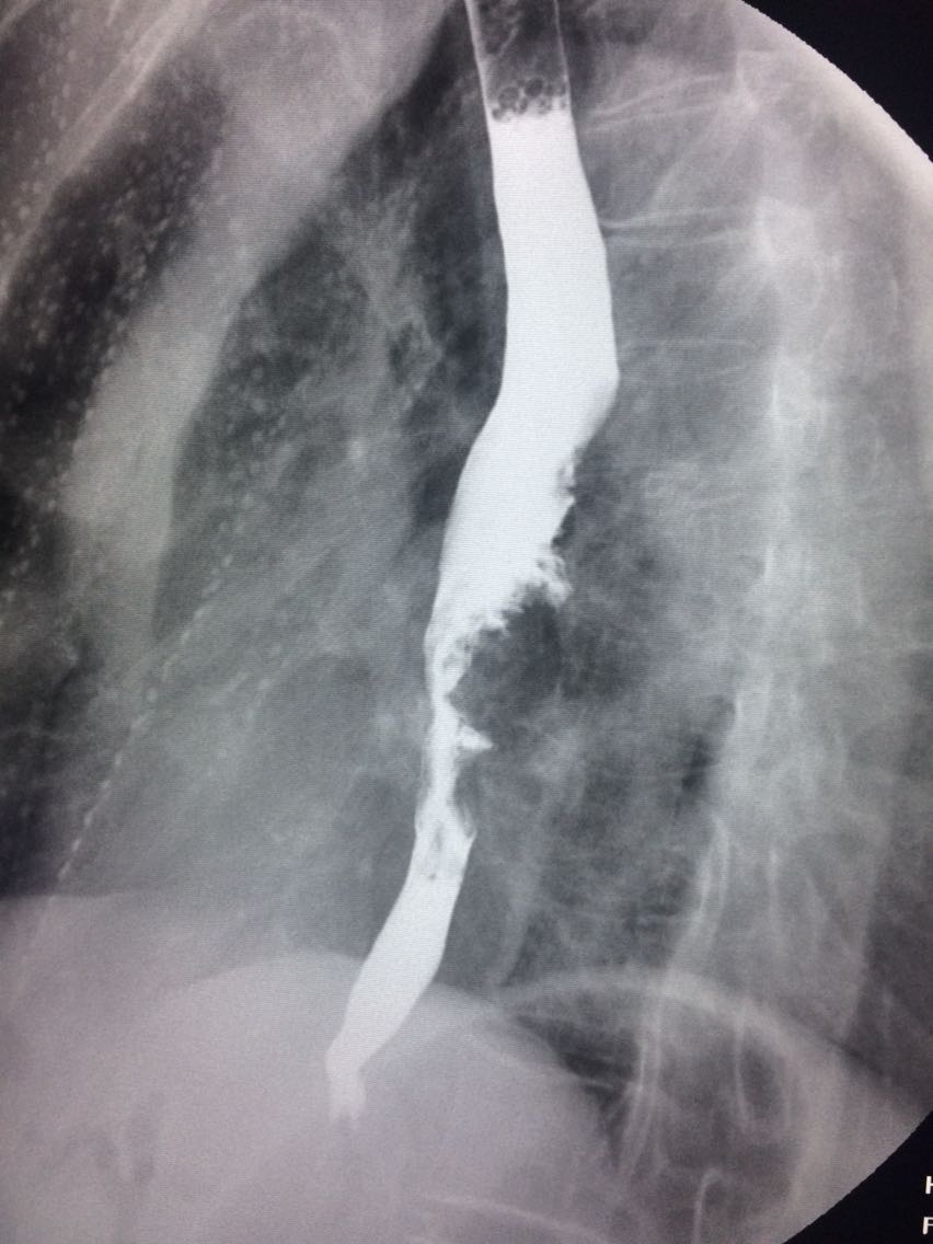
查体未见明显异常。 上消化道造影如图。

诊断 处理

诊断食管癌。 造影剂逆流入胆道。

随访 讨论

讨论食管癌的分型? 造影剂逆流的原因及处理方法?

发布于 17-03-27 06:37

10 个评论

发送