打开应用

这样的肝内结石你见过吗?

刘医师   青海省人民医院

主诉 病史

48岁女性,主因“右上腹疼痛3天”入院。

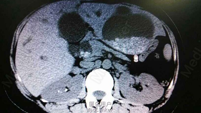
查体 辅查

查体:右上腹轻压痛,无反跳痛,余无特殊。辅助检查,肝功,血象正常。腹部CT示肝内多发结石伴胆管囊状扩张。胆总管结石。见图

诊断 处理

诊断:肝胆多发结石。治疗:予覆盖敏感菌,利胆等治疗。外科会诊:无法手术,内科治疗为主。

随访 讨论

患者肝功正常,目前右腹疼痛考虑感染或是结石所致炎症可能,抗感染等治疗后症状好转出院。

发布于 15-09-27 01:22

34 个评论

发送