打开应用

典型原发性醛固酮增多症

袁医师   广东省广州市番禺区祈福医院
原发性醛固酮过多症 继发性高血压

主诉 病史

患者,男,52岁, 因“反复头晕、心悸6年,再发伴加重1月”,由门诊拟诊“继发性高血压?”收入院。 患者于2010年7月无明显诱因出现头晕、心悸、出汗,至我院急诊就诊,测血压247/155mmHg,入院我院消化科,当时患者未同意行继发性高血压筛查,经对症处理出院后,长期规律服用“拜新同30mg 每日一次”平素血压控制在140/90mmHg左右。出院后间断出现心悸、头晕,无出汗。2015年3月患者因上腹痛再次入住我院消化科,入院查血钾2.58mmol/L,经积极补钾后血钾仍波动在3mmol/L左右。2015年下半年血压在170/100mmHg左右,遂加用“代文80mg、络活喜5mg、倍他乐克47.5mg 各每日一次”口服,血压控制在130-140/80-90mmHg。近1月来心悸反复发作,无明显规律,每2-3天发作1次,或每日发作1-2次,呈阵发性,每次约数1分钟左右,当时未测血压,近期至我院门诊就诊,考虑“继发性高血压”可能性大,为求进一步系统诊治,由门诊拟“继发性高血压?”收入院。 入院症见:神清,精神稍倦,乏力,时有阵发性心悸,持续1分钟左右,暂无头晕头痛,无出汗。 既往2016年10月在“番禺区中心医院”行冠脉CTA检查,提示“冠脉多发斑块、管腔多发狭窄”。 2年前在“番禺区中心医院”因心率快,予“射频消融术”治疗,后心悸好转,具体不详。 2年前因肾结石,在外用行“右侧肾脏微

med-img=48

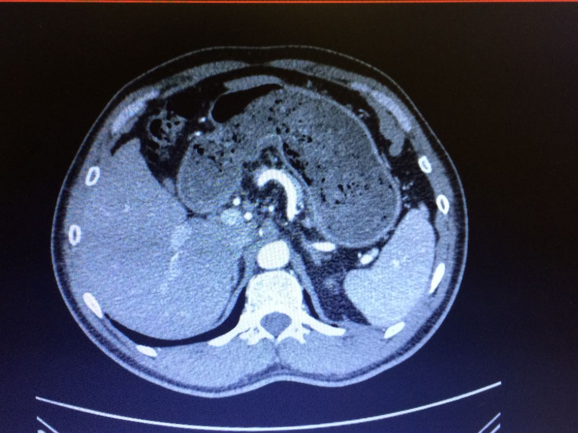
查体 辅查

查体:全身皮肤未见紫纹、痤疮,无多毛,无“水牛背”、“满月脸”。 心肺腹阴性。  辅查:2015年外院“醛固酮” 800+(具体不详)。 2016年10月冠脉CTA:1.左冠状动脉前降支近中段血管壁见多处偏心性混合密度斑块,伴近段局部管腔轻度狭窄,中段管腔局限性中度狭窄。2.回旋支近段血管壁见偏心性钙化斑,伴局部管腔轻度狭窄;中段血管壁见非钙化斑块,局限性管腔呈中-重度狭窄。3.右侧冠状动脉近段血管壁见偏心性钙化及非钙化斑块,管腔轻度狭窄。后降支局部管腔明显狭窄。前降支中段肌桥(纵深型)。5.主动脉硬化。 入院查:肝功:谷丙转氨酶:ALT 63U/L,谷草转氨酶:AST 46U/L。 电解质:钾:K 3.06mmol/L,二氧化碳结合力:CO2 33.3mmol/L。  肾功、血常规未见明显异常。 立位高血压四项(初筛):醛固酮(ALD):680.54,ARR:138.89,血管紧张素I(37℃):0.88,血管紧张素I(4℃):0.39。 皮质醇(0:00):55.90 nmol/L,皮质醇(08:00):293.50 nmol/L,皮质醇(16:00):140.50 nmol/L。促肾上腺皮质激素(00:00):1.23 pmol/L,促肾上腺皮质激素(08:00):4.70 pmol/L,促肾上腺皮质激素(16:00):3.25 pmol/L。17-羟皮质类固醇(17-OHCS):9.96 mg/24h尿,17-酮皮质类固醇(17-KS):15.92 mg/24h尿。尿香草扁桃酸(VMA):5.42 mg/24h尿,尿液醛固酮(ALD):25.58↑ ug/day。卡托普利试验:立位高血压四项(服药前)固酮(ALD):664.33↑ pmol/L。ARR:265.73↑;立位高血压四项服药后(2小时):醛固酮(ALD):534.47↑ pmol/L,ARR:184.30↑。胸部正侧位: 左侧膈面改变不除外膈下病变,建议CT检查。肾上腺CT平扫+增强:1、左侧肾上腺外侧支结节,考虑腺瘤。 2、左肾小结石。(左侧肾上腺外侧支局部增粗,见小结节状密度影,大小约1.5cm×1.2cm,病灶内可见少许脂肪密度影,增强后轻度强化) 。双侧颈动脉(含颈总、颈内、颈外)彩超:右侧颈动脉内中膜增厚。 肝、胆、胰、脾B超、肾动脉、肾内小动脉(双侧)彩超未见明显

med-img=488956 med-img-size={296, 394.66666666666663

诊断 处理

病例特点:高血压6年,血压最高达247/155mmHg;无高血压家族史,使用多种降压药血压仍控制不理想;低血钾,经积极补钾血钾仍偏低;高血压病程6年即已出现冠脉多发斑块、狭窄。诊断:1.原发性醛固酮过多症 2.冠状动脉粥样硬化性心脏病 3.肝功能异常 4.低钾血症 5.肾结石 出院带药:螺内酯片 40mg 每日三次、 阿托伐他汀钙分散片 20mg 每日一次、氯化钾缓释片 1g 每日三次 、特拉唑嗪片 4mg 每日两次(早,晚) 。建议及早行手术治疗。

例特点:高血压6年,血压最高达247/155mmHg;无高血压家族史,使用多种降压药血压仍控制不理想;低血钾,经积极补钾血钾仍偏低;高血压病程6年即已出现冠脉多发斑块、狭窄。诊断:1.原发性醛固酮过多症 2.冠状动脉粥样硬化性心脏病 3.肝功能异常 4.低钾血症 5.肾结石 出院带药:螺内酯片 40mg 每日三次、 阿托伐他汀钙分散片 20mg 每日一次、氯化钾缓释片 1g 每日三次 、特拉唑嗪片 4mg 每日两次(早,晚) 。建议及早行手术治疗。

特点:高血压6年,血压最高达247/155mmHg;无高血压家族史,使用多种降压药血压仍控制不理想;低血钾,经积极补钾血钾仍偏低;高血压病程6年即已出现冠脉多发斑块、狭窄。诊断:1.原发性醛固酮过多症 2.冠状动脉粥样硬化性心脏病 3.肝功能异常 4.低钾血症 5.肾结石 出院带药:螺内酯片 40mg 每日三次、 阿托伐他汀钙分散片 20mg 每日一次、氯化钾缓释片 1g 每日三次 、特拉唑嗪片 4mg 每日两次(早,晚) 。建议及早行手术治疗。

点:高血压6年,血压最高达247/155mmHg;无高血压家族史,使用多种降压药血压仍控制不理想;低血钾,经积极补钾血钾仍偏低;高血压病程6年即已出现冠脉多发斑块、狭窄。诊断:1.原发性醛固酮过多症 2.冠状动脉粥样硬化性心脏病 3.肝功能异常 4.低钾血症 5.肾结石 出院带药:螺内酯片 40mg 每日三次、 阿托伐他汀钙分散片 20mg 每日一次、氯化钾缓释片 1g 每日三次 、特拉唑嗪片 4mg 每日两次(早,晚) 。建议及早行手术治疗。

:高血压6年,血压最高达247/155mmHg;无高血压家族史,使用多种降压药血压仍控制不理想;低血钾,经积极补钾血钾仍偏低;高血压病程6年即已出现冠脉多发斑块、狭窄。诊断:1.原发性醛固酮过多症 2.冠状动脉粥样硬化性心脏病 3.肝功能异常 4.低钾血症 5.肾结石 出院带药:螺内酯片 40mg 每日三次、 阿托伐他汀钙分散片 20mg 每日一次、氯化钾缓释片 1g 每日三次 、特拉唑嗪片 4mg 每日两次(早,晚) 。建议及早行手术治疗。

高血压6年,血压最高达247/155mmHg;无高血压家族史,使用多种降压药血压仍控制不理想;低血钾,经积极补钾血钾仍偏低;高血压病程6年即已出现冠脉多发斑块、狭窄。诊断:1.原发性醛固酮过多症 2.冠状动脉粥样硬化性心脏病 3.肝功能异常 4.低钾血症 5.肾结石 出院带药:螺内酯片 40mg 每日三次、 阿托伐他汀钙分散片 20mg 每日一次、氯化钾缓释片 1g 每日三次 、特拉唑嗪片 4mg 每日两次(早,晚) 。建议及早行手术治疗。

血压6年,血压最高达247/155mmHg;无高血压家族史,使用多种降压药血压仍控制不理想;低血钾,经积极补钾血钾仍偏低;高血压病程6年即已出现冠脉多发斑块、狭窄。诊断:1.原发性醛固酮过多症 2.冠状动脉粥样硬化性心脏病 3.肝功能异常 4.低钾血症 5.肾结石 出院带药:螺内酯片 40mg 每日三次、 阿托伐他汀钙分散片 20mg 每日一次、氯化钾缓释片 1g 每日三次 、特拉唑嗪片 4mg 每日两次(早,晚) 。建议及早行手术治疗。

压6年,血压最高达247/155mmHg;无高血压家族史,使用多种降压药血压仍控制不理想;低血钾,经积极补钾血钾仍偏低;高血压病程6年即已出现冠脉多发斑块、狭窄。诊断:1.原发性醛固酮过多症 2.冠状动脉粥样硬化性心脏病 3.肝功能异常 4.低钾血症 5.肾结石 出院带药:螺内酯片 40mg 每日三次、 阿托伐他汀钙分散片 20mg 每日一次、氯化钾缓释片 1g 每日三次 、特拉唑嗪片 4mg 每日两次(早,晚) 。建议及早行手术治疗。

6年,血压最高达247/155mmHg;无高血压家族史,使用多种降压药血压仍控制不理想;低血钾,经积极补钾血钾仍偏低;高血压病程6年即已出现冠脉多发斑块、狭窄。诊断:1.原发性醛固酮过多症 2.冠状动脉粥样硬化性心脏病 3.肝功能异常 4.低钾血症 5.肾结石 出院带药:螺内酯片 40mg 每日三次、 阿托伐他汀钙分散片 20mg 每日一次、氯化钾缓释片 1g 每日三次 、特拉唑嗪片 4mg 每日两次(早,晚) 。建议及早行手术治疗。

年,血压最高达247/155mmHg;无高血压家族史,使用多种降压药血压仍控制不理想;低血钾,经积极补钾血钾仍偏低;高血压病程6年即已出现冠脉多发斑块、狭窄。诊断:1.原发性醛固酮过多症 2.冠状动脉粥样硬化性心脏病 3.肝功能异常 4.低钾血症 5.肾结石 出院带药:螺内酯片 40mg 每日三次、 阿托伐他汀钙分散片 20mg 每日一次、氯化钾缓释片 1g 每日三次 、特拉唑嗪片 4mg 每日两次(早,晚) 。建议及早行手术治疗。

,血压最高达247/155mmHg;无高血压家族史,使用多种降压药血压仍控制不理想;低血钾,经积极补钾血钾仍偏低;高血压病程6年即已出现冠脉多发斑块、狭窄。诊断:1.原发性醛固酮过多症 2.冠状动脉粥样硬化性心脏病 3.肝功能异常 4.低钾血症 5.肾结石 出院带药:螺内酯片 40mg 每日三次、 阿托伐他汀钙分散片 20mg 每日一次、氯化钾缓释片 1g 每日三次 、特拉唑嗪片 4mg 每日两次(早,晚) 。建议及早行手术治疗。

血压最高达247/155mmHg;无高血压家族史,使用多种降压药血压仍控制不理想;低血钾,经积极补钾血钾仍偏低;高血压病程6年即已出现冠脉多发斑块、狭窄。诊断:1.原发性醛固酮过多症 2.冠状动脉粥样硬化性心脏病 3.肝功能异常 4.低钾血症 5.肾结石 出院带药:螺内酯片 40mg 每日三次、 阿托伐他汀钙分散片 20mg 每日一次、氯化钾缓释片 1g 每日三次 、特拉唑嗪片 4mg 每日两次(早,晚) 。建议及早行手术治疗。

压最高达247/155mmHg;无高血压家族史,使用多种降压药血压仍控制不理想;低血钾,经积极补钾血钾仍偏低;高血压病程6年即已出现冠脉多发斑块、狭窄。诊断:1.原发性醛固酮过多症 2.冠状动脉粥样硬化性心脏病 3.肝功能异常 4.低钾血症 5.肾结石 出院带药:螺内酯片 40mg 每日三次、 阿托伐他汀钙分散片 20mg 每日一次、氯化钾缓释片 1g 每日三次 、特拉唑嗪片 4mg 每日两次(早,晚) 。建议及早行手术治疗。

最高达247/155mmHg;无高血压家族史,使用多种降压药血压仍控制不理想;低血钾,经积极补钾血钾仍偏低;高血压病程6年即已出现冠脉多发斑块、狭窄。诊断:1.原发性醛固酮过多症 2.冠状动脉粥样硬化性心脏病 3.肝功能异常 4.低钾血症 5.肾结石 出院带药:螺内酯片 40mg 每日三次、 阿托伐他汀钙分散片 20mg 每日一次、氯化钾缓释片 1g 每日三次 、特拉唑嗪片 4mg 每日两次(早,晚) 。建议及早行手术治疗。

高达247/155mmHg;无高血压家族史,使用多种降压药血压仍控制不理想;低血钾,经积极补钾血钾仍偏低;高血压病程6年即已出现冠脉多发斑块、狭窄。诊断:1.原发性醛固酮过多症 2.冠状动脉粥样硬化性心脏病 3.肝功能异常 4.低钾血症 5.肾结石 出院带药:螺内酯片 40mg 每日三次、 阿托伐他汀钙分散片 20mg 每日一次、氯化钾缓释片 1g 每日三次 、特拉唑嗪片 4mg 每日两次(早,晚) 。建议及早行手术治疗。

达247/155mmHg;无高血压家族史,使用多种降压药血压仍控制不理想;低血钾,经积极补钾血钾仍偏低;高血压病程6年即已出现冠脉多发斑块、狭窄。诊断:1.原发性醛固酮过多症 2.冠状动脉粥样硬化性心脏病 3.肝功能异常 4.低钾血症 5.肾结石 出院带药:螺内酯片 40mg 每日三次、 阿托伐他汀钙分散片 20mg 每日一次、氯化钾缓释片 1g 每日三次 、特拉唑嗪片 4mg 每日两次(早,晚) 。建议及早行手术治疗。

247/155mmHg;无高血压家族史,使用多种降压药血压仍控制不理想;低血钾,经积极补钾血钾仍偏低;高血压病程6年即已出现冠脉多发斑块、狭窄。诊断:1.原发性醛固酮过多症 2.冠状动脉粥样硬化性心脏病 3.肝功能异常 4.低钾血症 5.肾结石 出院带药:螺内酯片 40mg 每日三次、 阿托伐他汀钙分散片 20mg 每日一次、氯化钾缓释片 1g 每日三次 、特拉唑嗪片 4mg 每日两次(早,晚) 。建议及早行手术治疗。

47/155mmHg;无高血压家族史,使用多种降压药血压仍控制不理想;低血钾,经积极补钾血钾仍偏低;高血压病程6年即已出现冠脉多发斑块、狭窄。诊断:1.原发性醛固酮过多症 2.冠状动脉粥样硬化性心脏病 3.肝功能异常 4.低钾血症 5.肾结石 出院带药:螺内酯片 40mg 每日三次、 阿托伐他汀钙分散片 20mg 每日一次、氯化钾缓释片 1g 每日三次 、特拉唑嗪片 4mg 每日两次(早,晚) 。建议及早行手术治疗。

7/155mmHg;无高血压家族史,使用多种降压药血压仍控制不理想;低血钾,经积极补钾血钾仍偏低;高血压病程6年即已出现冠脉多发斑块、狭窄。诊断:1.原发性醛固酮过多症 2.冠状动脉粥样硬化性心脏病 3.肝功能异常 4.低钾血症 5.肾结石 出院带药:螺内酯片 40mg 每日三次、 阿托伐他汀钙分散片 20mg 每日一次、氯化钾缓释片 1g 每日三次 、特拉唑嗪片 4mg 每日两次(早,晚) 。建议及早行手术治疗。

/155mmHg;无高血压家族史,使用多种降压药血压仍控制不理想;低血钾,经积极补钾血钾仍偏低;高血压病程6年即已出现冠脉多发斑块、狭窄。诊断:1.原发性醛固酮过多症 2.冠状动脉粥样硬化性心脏病 3.肝功能异常 4.低钾血症 5.肾结石 出院带药:螺内酯片 40mg 每日三次、 阿托伐他汀钙分散片 20mg 每日一次、氯化钾缓释片 1g 每日三次 、特拉唑嗪片 4mg 每日两次(早,晚) 。建议及早行手术治疗。

155mmHg;无高血压家族史,使用多种降压药血压仍控制不理想;低血钾,经积极补钾血钾仍偏低;高血压病程6年即已出现冠脉多发斑块、狭窄。诊断:1.原发性醛固酮过多症 2.冠状动脉粥样硬化性心脏病 3.肝功能异常 4.低钾血症 5.肾结石 出院带药:螺内酯片 40mg 每日三次、 阿托伐他汀钙分散片 20mg 每日一次、氯化钾缓释片 1g 每日三次 、特拉唑嗪片 4mg 每日两次(早,晚) 。建议及早行手术治疗。

55mmHg;无高血压家族史,使用多种降压药血压仍控制不理想;低血钾,经积极补钾血钾仍偏低;高血压病程6年即已出现冠脉多发斑块、狭窄。诊断:1.原发性醛固酮过多症 2.冠状动脉粥样硬化性心脏病 3.肝功能异常 4.低钾血症 5.肾结石 出院带药:螺内酯片 40mg 每日三次、 阿托伐他汀钙分散片 20mg 每日一次、氯化钾缓释片 1g 每日三次 、特拉唑嗪片 4mg 每日两次(早,晚) 。建议及早行手术治疗。

5mmHg;无高血压家族史,使用多种降压药血压仍控制不理想;低血钾,经积极补钾血钾仍偏低;高血压病程6年即已出现冠脉多发斑块、狭窄。诊断:1.原发性醛固酮过多症 2.冠状动脉粥样硬化性心脏病 3.肝功能异常 4.低钾血症 5.肾结石 出院带药:螺内酯片 40mg 每日三次、 阿托伐他汀钙分散片 20mg 每日一次、氯化钾缓释片 1g 每日三次 、特拉唑嗪片 4mg 每日两次(早,晚) 。建议及早行手术治疗。

mmHg;无高血压家族史,使用多种降压药血压仍控制不理想;低血钾,经积极补钾血钾仍偏低;高血压病程6年即已出现冠脉多发斑块、狭窄。诊断:1.原发性醛固酮过多症 2.冠状动脉粥样硬化性心脏病 3.肝功能异常 4.低钾血症 5.肾结石 出院带药:螺内酯片 40mg 每日三次、 阿托伐他汀钙分散片 20mg 每日一次、氯化钾缓释片 1g 每日三次 、特拉唑嗪片 4mg 每日两次(早,晚) 。建议及早行手术治疗。

mHg;无高血压家族史,使用多种降压药血压仍控制不理想;低血钾,经积极补钾血钾仍偏低;高血压病程6年即已出现冠脉多发斑块、狭窄。诊断:1.原发性醛固酮过多症 2.冠状动脉粥样硬化性心脏病 3.肝功能异常 4.低钾血症 5.肾结石 出院带药:螺内酯片 40mg 每日三次、 阿托伐他汀钙分散片 20mg 每日一次、氯化钾缓释片 1g 每日三次 、特拉唑嗪片 4mg 每日两次(早,晚) 。建议及早行手术治疗。

Hg;无高血压家族史,使用多种降压药血压仍控制不理想;低血钾,经积极补钾血钾仍偏低;高血压病程6年即已出现冠脉多发斑块、狭窄。诊断:1.原发性醛固酮过多症 2.冠状动脉粥样硬化性心脏病 3.肝功能异常 4.低钾血症 5.肾结石 出院带药:螺内酯片 40mg 每日三次、 阿托伐他汀钙分散片 20mg 每日一次、氯化钾缓释片 1g 每日三次 、特拉唑嗪片 4mg 每日两次(早,晚) 。建议及早行手术治疗。

g;无高血压家族史,使用多种降压药血压仍控制不理想;低血钾,经积极补钾血钾仍偏低;高血压病程6年即已出现冠脉多发斑块、狭窄。诊断:1.原发性醛固酮过多症 2.冠状动脉粥样硬化性心脏病 3.肝功能异常 4.低钾血症 5.肾结石 出院带药:螺内酯片 40mg 每日三次、 阿托伐他汀钙分散片 20mg 每日一次、氯化钾缓释片 1g 每日三次 、特拉唑嗪片 4mg 每日两次(早,晚) 。建议及早行手术治疗。

;无高血压家族史,使用多种降压药血压仍控制不理想;低血钾,经积极补钾血钾仍偏低;高血压病程6年即已出现冠脉多发斑块、狭窄。诊断:1.原发性醛固酮过多症 2.冠状动脉粥样硬化性心脏病 3.肝功能异常 4.低钾血症 5.肾结石 出院带药:螺内酯片 40mg 每日三次、 阿托伐他汀钙分散片 20mg 每日一次、氯化钾缓释片 1g 每日三次 、特拉唑嗪片 4mg 每日两次(早,晚) 。建议及早行手术治疗。

无高血压家族史,使用多种降压药血压仍控制不理想;低血钾,经积极补钾血钾仍偏低;高血压病程6年即已出现冠脉多发斑块、狭窄。诊断:1.原发性醛固酮过多症 2.冠状动脉粥样硬化性心脏病 3.肝功能异常 4.低钾血症 5.肾结石 出院带药:螺内酯片 40mg 每日三次、 阿托伐他汀钙分散片 20mg 每日一次、氯化钾缓释片 1g 每日三次 、特拉唑嗪片 4mg 每日两次(早,晚) 。建议及早行手术治疗。

高血压家族史,使用多种降压药血压仍控制不理想;低血钾,经积极补钾血钾仍偏低;高血压病程6年即已出现冠脉多发斑块、狭窄。诊断:1.原发性醛固酮过多症 2.冠状动脉粥样硬化性心脏病 3.肝功能异常 4.低钾血症 5.肾结石 出院带药:螺内酯片 40mg 每日三次、 阿托伐他汀钙分散片 20mg 每日一次、氯化钾缓释片 1g 每日三次 、特拉唑嗪片 4mg 每日两次(早,晚) 。建议及早行手术治疗。

血压家族史,使用多种降压药血压仍控制不理想;低血钾,经积极补钾血钾仍偏低;高血压病程6年即已出现冠脉多发斑块、狭窄。诊断:1.原发性醛固酮过多症 2.冠状动脉粥样硬化性心脏病 3.肝功能异常 4.低钾血症 5.肾结石 出院带药:螺内酯片 40mg 每日三次、 阿托伐他汀钙分散片 20mg 每日一次、氯化钾缓释片 1g 每日三次 、特拉唑嗪片 4mg 每日两次(早,晚) 。建议及早行手术治疗。

压家族史,使用多种降压药血压仍控制不理想;低血钾,经积极补钾血钾仍偏低;高血压病程6年即已出现冠脉多发斑块、狭窄。诊断:1.原发性醛固酮过多症 2.冠状动脉粥样硬化性心脏病 3.肝功能异常 4.低钾血症 5.肾结石 出院带药:螺内酯片 40mg 每日三次、 阿托伐他汀钙分散片 20mg 每日一次、氯化钾缓释片 1g 每日三次 、特拉唑嗪片 4mg 每日两次(早,晚) 。建议及早行手术治疗。

家族史,使用多种降压药血压仍控制不理想;低血钾,经积极补钾血钾仍偏低;高血压病程6年即已出现冠脉多发斑块、狭窄。诊断:1.原发性醛固酮过多症 2.冠状动脉粥样硬化性心脏病 3.肝功能异常 4.低钾血症 5.肾结石 出院带药:螺内酯片 40mg 每日三次、 阿托伐他汀钙分散片 20mg 每日一次、氯化钾缓释片 1g 每日三次 、特拉唑嗪片 4mg 每日两次(早,晚) 。建议及早行手术治疗。

族史,使用多种降压药血压仍控制不理想;低血钾,经积极补钾血钾仍偏低;高血压病程6年即已出现冠脉多发斑块、狭窄。诊断:1.原发性醛固酮过多症 2.冠状动脉粥样硬化性心脏病 3.肝功能异常 4.低钾血症 5.肾结石 出院带药:螺内酯片 40mg 每日三次、 阿托伐他汀钙分散片 20mg 每日一次、氯化钾缓释片 1g 每日三次 、特拉唑嗪片 4mg 每日两次(早,晚) 。建议及早行手术治疗。

史,使用多种降压药血压仍控制不理想;低血钾,经积极补钾血钾仍偏低;高血压病程6年即已出现冠脉多发斑块、狭窄。诊断:1.原发性醛固酮过多症 2.冠状动脉粥样硬化性心脏病 3.肝功能异常 4.低钾血症 5.肾结石 出院带药:螺内酯片 40mg 每日三次、 阿托伐他汀钙分散片 20mg 每日一次、氯化钾缓释片 1g 每日三次 、特拉唑嗪片 4mg 每日两次(早,晚) 。建议及早行手术治疗。

,使用多种降压药血压仍控制不理想;低血钾,经积极补钾血钾仍偏低;高血压病程6年即已出现冠脉多发斑块、狭窄。诊断:1.原发性醛固酮过多症 2.冠状动脉粥样硬化性心脏病 3.肝功能异常 4.低钾血症 5.肾结石 出院带药:螺内酯片 40mg 每日三次、 阿托伐他汀钙分散片 20mg 每日一次、氯化钾缓释片 1g 每日三次 、特拉唑嗪片 4mg 每日两次(早,晚) 。建议及早行手术治疗。

使用多种降压药血压仍控制不理想;低血钾,经积极补钾血钾仍偏低;高血压病程6年即已出现冠脉多发斑块、狭窄。诊断:1.原发性醛固酮过多症 2.冠状动脉粥样硬化性心脏病 3.肝功能异常 4.低钾血症 5.肾结石 出院带药:螺内酯片 40mg 每日三次、 阿托伐他汀钙分散片 20mg 每日一次、氯化钾缓释片 1g 每日三次 、特拉唑嗪片 4mg 每日两次(早,晚) 。建议及早行手术治疗。

用多种降压药血压仍控制不理想;低血钾,经积极补钾血钾仍偏低;高血压病程6年即已出现冠脉多发斑块、狭窄。诊断:1.原发性醛固酮过多症 2.冠状动脉粥样硬化性心脏病 3.肝功能异常 4.低钾血症 5.肾结石 出院带药:螺内酯片 40mg 每日三次、 阿托伐他汀钙分散片 20mg 每日一次、氯化钾缓释片 1g 每日三次 、特拉唑嗪片 4mg 每日两次(早,晚) 。建议及早行手术治疗。

多种降压药血压仍控制不理想;低血钾,经积极补钾血钾仍偏低;高血压病程6年即已出现冠脉多发斑块、狭窄。诊断:1.原发性醛固酮过多症 2.冠状动脉粥样硬化性心脏病 3.肝功能异常 4.低钾血症 5.肾结石 出院带药:螺内酯片 40mg 每日三次、 阿托伐他汀钙分散片 20mg 每日一次、氯化钾缓释片 1g 每日三次 、特拉唑嗪片 4mg 每日两次(早,晚) 。建议及早行手术治疗。

种降压药血压仍控制不理想;低血钾,经积极补钾血钾仍偏低;高血压病程6年即已出现冠脉多发斑块、狭窄。诊断:1.原发性醛固酮过多症 2.冠状动脉粥样硬化性心脏病 3.肝功能异常 4.低钾血症 5.肾结石 出院带药:螺内酯片 40mg 每日三次、 阿托伐他汀钙分散片 20mg 每日一次、氯化钾缓释片 1g 每日三次 、特拉唑嗪片 4mg 每日两次(早,晚) 。建议及早行手术治疗。

降压药血压仍控制不理想;低血钾,经积极补钾血钾仍偏低;高血压病程6年即已出现冠脉多发斑块、狭窄。诊断:1.原发性醛固酮过多症 2.冠状动脉粥样硬化性心脏病 3.肝功能异常 4.低钾血症 5.肾结石 出院带药:螺内酯片 40mg 每日三次、 阿托伐他汀钙分散片 20mg 每日一次、氯化钾缓释片 1g 每日三次 、特拉唑嗪片 4mg 每日两次(早,晚) 。建议及早行手术治疗。

压药血压仍控制不理想;低血钾,经积极补钾血钾仍偏低;高血压病程6年即已出现冠脉多发斑块、狭窄。诊断:1.原发性醛固酮过多症 2.冠状动脉粥样硬化性心脏病 3.肝功能异常 4.低钾血症 5.肾结石 出院带药:螺内酯片 40mg 每日三次、 阿托伐他汀钙分散片 20mg 每日一次、氯化钾缓释片 1g 每日三次 、特拉唑嗪片 4mg 每日两次(早,晚) 。建议及早行手术治疗。

药血压仍控制不理想;低血钾,经积极补钾血钾仍偏低;高血压病程6年即已出现冠脉多发斑块、狭窄。诊断:1.原发性醛固酮过多症 2.冠状动脉粥样硬化性心脏病 3.肝功能异常 4.低钾血症 5.肾结石 出院带药:螺内酯片 40mg 每日三次、 阿托伐他汀钙分散片 20mg 每日一次、氯化钾缓释片 1g 每日三次 、特拉唑嗪片 4mg 每日两次(早,晚) 。建议及早行手术治疗。

血压仍控制不理想;低血钾,经积极补钾血钾仍偏低;高血压病程6年即已出现冠脉多发斑块、狭窄。诊断:1.原发性醛固酮过多症 2.冠状动脉粥样硬化性心脏病 3.肝功能异常 4.低钾血症 5.肾结石 出院带药:螺内酯片 40mg 每日三次、 阿托伐他汀钙分散片 20mg 每日一次、氯化钾缓释片 1g 每日三次 、特拉唑嗪片 4mg 每日两次(早,晚) 。建议及早行手术治疗。

压仍控制不理想;低血钾,经积极补钾血钾仍偏低;高血压病程6年即已出现冠脉多发斑块、狭窄。诊断:1.原发性醛固酮过多症 2.冠状动脉粥样硬化性心脏病 3.肝功能异常 4.低钾血症 5.肾结石 出院带药:螺内酯片 40mg 每日三次、 阿托伐他汀钙分散片 20mg 每日一次、氯化钾缓释片 1g 每日三次 、特拉唑嗪片 4mg 每日两次(早,晚) 。建议及早行手术治疗。

仍控制不理想;低血钾,经积极补钾血钾仍偏低;高血压病程6年即已出现冠脉多发斑块、狭窄。诊断:1.原发性醛固酮过多症 2.冠状动脉粥样硬化性心脏病 3.肝功能异常 4.低钾血症 5.肾结石 出院带药:螺内酯片 40mg 每日三次、 阿托伐他汀钙分散片 20mg 每日一次、氯化钾缓释片 1g 每日三次 、特拉唑嗪片 4mg 每日两次(早,晚) 。建议及早行手术治疗。

控制不理想;低血钾,经积极补钾血钾仍偏低;高血压病程6年即已出现冠脉多发斑块、狭窄。诊断:1.原发性醛固酮过多症 2.冠状动脉粥样硬化性心脏病 3.肝功能异常 4.低钾血症 5.肾结石 出院带药:螺内酯片 40mg 每日三次、 阿托伐他汀钙分散片 20mg 每日一次、氯化钾缓释片 1g 每日三次 、特拉唑嗪片 4mg 每日两次(早,晚) 。建议及早行手术治疗。

制不理想;低血钾,经积极补钾血钾仍偏低;高血压病程6年即已出现冠脉多发斑块、狭窄。诊断:1.原发性醛固酮过多症 2.冠状动脉粥样硬化性心脏病 3.肝功能异常 4.低钾血症 5.肾结石 出院带药:螺内酯片 40mg 每日三次、 阿托伐他汀钙分散片 20mg 每日一次、氯化钾缓释片 1g 每日三次 、特拉唑嗪片 4mg 每日两次(早,晚) 。建议及早行手术治疗。

不理想;低血钾,经积极补钾血钾仍偏低;高血压病程6年即已出现冠脉多发斑块、狭窄。诊断:1.原发性醛固酮过多症 2.冠状动脉粥样硬化性心脏病 3.肝功能异常 4.低钾血症 5.肾结石 出院带药:螺内酯片 40mg 每日三次、 阿托伐他汀钙分散片 20mg 每日一次、氯化钾缓释片 1g 每日三次 、特拉唑嗪片 4mg 每日两次(早,晚) 。建议及早行手术治疗。

理想;低血钾,经积极补钾血钾仍偏低;高血压病程6年即已出现冠脉多发斑块、狭窄。诊断:1.原发性醛固酮过多症 2.冠状动脉粥样硬化性心脏病 3.肝功能异常 4.低钾血症 5.肾结石 出院带药:螺内酯片 40mg 每日三次、 阿托伐他汀钙分散片 20mg 每日一次、氯化钾缓释片 1g 每日三次 、特拉唑嗪片 4mg 每日两次(早,晚) 。建议及早行手术治疗。

想;低血钾,经积极补钾血钾仍偏低;高血压病程6年即已出现冠脉多发斑块、狭窄。诊断:1.原发性醛固酮过多症 2.冠状动脉粥样硬化性心脏病 3.肝功能异常 4.低钾血症 5.肾结石 出院带药:螺内酯片 40mg 每日三次、 阿托伐他汀钙分散片 20mg 每日一次、氯化钾缓释片 1g 每日三次 、特拉唑嗪片 4mg 每日两次(早,晚) 。建议及早行手术治疗。

;低血钾,经积极补钾血钾仍偏低;高血压病程6年即已出现冠脉多发斑块、狭窄。诊断:1.原发性醛固酮过多症 2.冠状动脉粥样硬化性心脏病 3.肝功能异常 4.低钾血症 5.肾结石 出院带药:螺内酯片 40mg 每日三次、 阿托伐他汀钙分散片 20mg 每日一次、氯化钾缓释片 1g 每日三次 、特拉唑嗪片 4mg 每日两次(早,晚) 。建议及早行手术治疗。

低血钾,经积极补钾血钾仍偏低;高血压病程6年即已出现冠脉多发斑块、狭窄。诊断:1.原发性醛固酮过多症 2.冠状动脉粥样硬化性心脏病 3.肝功能异常 4.低钾血症 5.肾结石 出院带药:螺内酯片 40mg 每日三次、 阿托伐他汀钙分散片 20mg 每日一次、氯化钾缓释片 1g 每日三次 、特拉唑嗪片 4mg 每日两次(早,晚) 。建议及早行手术治疗。

血钾,经积极补钾血钾仍偏低;高血压病程6年即已出现冠脉多发斑块、狭窄。诊断:1.原发性醛固酮过多症 2.冠状动脉粥样硬化性心脏病 3.肝功能异常 4.低钾血症 5.肾结石 出院带药:螺内酯片 40mg 每日三次、 阿托伐他汀钙分散片 20mg 每日一次、氯化钾缓释片 1g 每日三次 、特拉唑嗪片 4mg 每日两次(早,晚) 。建议及早行手术治疗。

钾,经积极补钾血钾仍偏低;高血压病程6年即已出现冠脉多发斑块、狭窄。诊断:1.原发性醛固酮过多症 2.冠状动脉粥样硬化性心脏病 3.肝功能异常 4.低钾血症 5.肾结石 出院带药:螺内酯片 40mg 每日三次、 阿托伐他汀钙分散片 20mg 每日一次、氯化钾缓释片 1g 每日三次 、特拉唑嗪片 4mg 每日两次(早,晚) 。建议及早行手术治疗。

,经积极补钾血钾仍偏低;高血压病程6年即已出现冠脉多发斑块、狭窄。诊断:1.原发性醛固酮过多症 2.冠状动脉粥样硬化性心脏病 3.肝功能异常 4.低钾血症 5.肾结石 出院带药:螺内酯片 40mg 每日三次、 阿托伐他汀钙分散片 20mg 每日一次、氯化钾缓释片 1g 每日三次 、特拉唑嗪片 4mg 每日两次(早,晚) 。建议及早行手术治疗。

经积极补钾血钾仍偏低;高血压病程6年即已出现冠脉多发斑块、狭窄。诊断:1.原发性醛固酮过多症 2.冠状动脉粥样硬化性心脏病 3.肝功能异常 4.低钾血症 5.肾结石 出院带药:螺内酯片 40mg 每日三次、 阿托伐他汀钙分散片 20mg 每日一次、氯化钾缓释片 1g 每日三次 、特拉唑嗪片 4mg 每日两次(早,晚) 。建议及早行手术治疗。

积极补钾血钾仍偏低;高血压病程6年即已出现冠脉多发斑块、狭窄。诊断:1.原发性醛固酮过多症 2.冠状动脉粥样硬化性心脏病 3.肝功能异常 4.低钾血症 5.肾结石 出院带药:螺内酯片 40mg 每日三次、 阿托伐他汀钙分散片 20mg 每日一次、氯化钾缓释片 1g 每日三次 、特拉唑嗪片 4mg 每日两次(早,晚) 。建议及早行手术治疗。

极补钾血钾仍偏低;高血压病程6年即已出现冠脉多发斑块、狭窄。诊断:1.原发性醛固酮过多症 2.冠状动脉粥样硬化性心脏病 3.肝功能异常 4.低钾血症 5.肾结石 出院带药:螺内酯片 40mg 每日三次、 阿托伐他汀钙分散片 20mg 每日一次、氯化钾缓释片 1g 每日三次 、特拉唑嗪片 4mg 每日两次(早,晚) 。建议及早行手术治疗。

补钾血钾仍偏低;高血压病程6年即已出现冠脉多发斑块、狭窄。诊断:1.原发性醛固酮过多症 2.冠状动脉粥样硬化性心脏病 3.肝功能异常 4.低钾血症 5.肾结石 出院带药:螺内酯片 40mg 每日三次、 阿托伐他汀钙分散片 20mg 每日一次、氯化钾缓释片 1g 每日三次 、特拉唑嗪片 4mg 每日两次(早,晚) 。建议及早行手术治疗。

钾血钾仍偏低;高血压病程6年即已出现冠脉多发斑块、狭窄。诊断:1.原发性醛固酮过多症 2.冠状动脉粥样硬化性心脏病 3.肝功能异常 4.低钾血症 5.肾结石 出院带药:螺内酯片 40mg 每日三次、 阿托伐他汀钙分散片 20mg 每日一次、氯化钾缓释片 1g 每日三次 、特拉唑嗪片 4mg 每日两次(早,晚) 。建议及早行手术治疗。

血钾仍偏低;高血压病程6年即已出现冠脉多发斑块、狭窄。诊断:1.原发性醛固酮过多症 2.冠状动脉粥样硬化性心脏病 3.肝功能异常 4.低钾血症 5.肾结石 出院带药:螺内酯片 40mg 每日三次、 阿托伐他汀钙分散片 20mg 每日一次、氯化钾缓释片 1g 每日三次 、特拉唑嗪片 4mg 每日两次(早,晚) 。建议及早行手术治疗。

钾仍偏低;高血压病程6年即已出现冠脉多发斑块、狭窄。诊断:1.原发性醛固酮过多症 2.冠状动脉粥样硬化性心脏病 3.肝功能异常 4.低钾血症 5.肾结石 出院带药:螺内酯片 40mg 每日三次、 阿托伐他汀钙分散片 20mg 每日一次、氯化钾缓释片 1g 每日三次 、特拉唑嗪片 4mg 每日两次(早,晚) 。建议及早行手术治疗。

仍偏低;高血压病程6年即已出现冠脉多发斑块、狭窄。诊断:1.原发性醛固酮过多症 2.冠状动脉粥样硬化性心脏病 3.肝功能异常 4.低钾血症 5.肾结石 出院带药:螺内酯片 40mg 每日三次、 阿托伐他汀钙分散片 20mg 每日一次、氯化钾缓释片 1g 每日三次 、特拉唑嗪片 4mg 每日两次(早,晚) 。建议及早行手术治疗。

偏低;高血压病程6年即已出现冠脉多发斑块、狭窄。诊断:1.原发性醛固酮过多症 2.冠状动脉粥样硬化性心脏病 3.肝功能异常 4.低钾血症 5.肾结石 出院带药:螺内酯片 40mg 每日三次、 阿托伐他汀钙分散片 20mg 每日一次、氯化钾缓释片 1g 每日三次 、特拉唑嗪片 4mg 每日两次(早,晚) 。建议及早行手术治疗。

低;高血压病程6年即已出现冠脉多发斑块、狭窄。诊断:1.原发性醛固酮过多症 2.冠状动脉粥样硬化性心脏病 3.肝功能异常 4.低钾血症 5.肾结石 出院带药:螺内酯片 40mg 每日三次、 阿托伐他汀钙分散片 20mg 每日一次、氯化钾缓释片 1g 每日三次 、特拉唑嗪片 4mg 每日两次(早,晚) 。建议及早行手术治疗。

;高血压病程6年即已出现冠脉多发斑块、狭窄。诊断:1.原发性醛固酮过多症 2.冠状动脉粥样硬化性心脏病 3.肝功能异常 4.低钾血症 5.肾结石 出院带药:螺内酯片 40mg 每日三次、 阿托伐他汀钙分散片 20mg 每日一次、氯化钾缓释片 1g 每日三次 、特拉唑嗪片 4mg 每日两次(早,晚) 。建议及早行手术治疗。

高血压病程6年即已出现冠脉多发斑块、狭窄。诊断:1.原发性醛固酮过多症 2.冠状动脉粥样硬化性心脏病 3.肝功能异常 4.低钾血症 5.肾结石 出院带药:螺内酯片 40mg 每日三次、 阿托伐他汀钙分散片 20mg 每日一次、氯化钾缓释片 1g 每日三次 、特拉唑嗪片 4mg 每日两次(早,晚) 。建议及早行手术治疗。

血压病程6年即已出现冠脉多发斑块、狭窄。诊断:1.原发性醛固酮过多症 2.冠状动脉粥样硬化性心脏病 3.肝功能异常 4.低钾血症 5.肾结石 出院带药:螺内酯片 40mg 每日三次、 阿托伐他汀钙分散片 20mg 每日一次、氯化钾缓释片 1g 每日三次 、特拉唑嗪片 4mg 每日两次(早,晚) 。建议及早行手术治疗。

压病程6年即已出现冠脉多发斑块、狭窄。诊断:1.原发性醛固酮过多症 2.冠状动脉粥样硬化性心脏病 3.肝功能异常 4.低钾血症 5.肾结石 出院带药:螺内酯片 40mg 每日三次、 阿托伐他汀钙分散片 20mg 每日一次、氯化钾缓释片 1g 每日三次 、特拉唑嗪片 4mg 每日两次(早,晚) 。建议及早行手术治疗。

病程6年即已出现冠脉多发斑块、狭窄。诊断:1.原发性醛固酮过多症 2.冠状动脉粥样硬化性心脏病 3.肝功能异常 4.低钾血症 5.肾结石 出院带药:螺内酯片 40mg 每日三次、 阿托伐他汀钙分散片 20mg 每日一次、氯化钾缓释片 1g 每日三次 、特拉唑嗪片 4mg 每日两次(早,晚) 。建议及早行手术治疗。

程6年即已出现冠脉多发斑块、狭窄。诊断:1.原发性醛固酮过多症 2.冠状动脉粥样硬化性心脏病 3.肝功能异常 4.低钾血症 5.肾结石 出院带药:螺内酯片 40mg 每日三次、 阿托伐他汀钙分散片 20mg 每日一次、氯化钾缓释片 1g 每日三次 、特拉唑嗪片 4mg 每日两次(早,晚) 。建议及早行手术治疗。

6年即已出现冠脉多发斑块、狭窄。诊断:1.原发性醛固酮过多症 2.冠状动脉粥样硬化性心脏病 3.肝功能异常 4.低钾血症 5.肾结石 出院带药:螺内酯片 40mg 每日三次、 阿托伐他汀钙分散片 20mg 每日一次、氯化钾缓释片 1g 每日三次 、特拉唑嗪片 4mg 每日两次(早,晚) 。建议及早行手术治疗。

年即已出现冠脉多发斑块、狭窄。诊断:1.原发性醛固酮过多症 2.冠状动脉粥样硬化性心脏病 3.肝功能异常 4.低钾血症 5.肾结石 出院带药:螺内酯片 40mg 每日三次、 阿托伐他汀钙分散片 20mg 每日一次、氯化钾缓释片 1g 每日三次 、特拉唑嗪片 4mg 每日两次(早,晚) 。建议及早行手术治疗。

即已出现冠脉多发斑块、狭窄。诊断:1.原发性醛固酮过多症 2.冠状动脉粥样硬化性心脏病 3.肝功能异常 4.低钾血症 5.肾结石 出院带药:螺内酯片 40mg 每日三次、 阿托伐他汀钙分散片 20mg 每日一次、氯化钾缓释片 1g 每日三次 、特拉唑嗪片 4mg 每日两次(早,晚) 。建议及早行手术治疗。

已出现冠脉多发斑块、狭窄。诊断:1.原发性醛固酮过多症 2.冠状动脉粥样硬化性心脏病 3.肝功能异常 4.低钾血症 5.肾结石 出院带药:螺内酯片 40mg 每日三次、 阿托伐他汀钙分散片 20mg 每日一次、氯化钾缓释片 1g 每日三次 、特拉唑嗪片 4mg 每日两次(早,晚) 。建议及早行手术治疗。

出现冠脉多发斑块、狭窄。诊断:1.原发性醛固酮过多症 2.冠状动脉粥样硬化性心脏病 3.肝功能异常 4.低钾血症 5.肾结石 出院带药:螺内酯片 40mg 每日三次、 阿托伐他汀钙分散片 20mg 每日一次、氯化钾缓释片 1g 每日三次 、特拉唑嗪片 4mg 每日两次(早,晚) 。建议及早行手术治疗。

现冠脉多发斑块、狭窄。诊断:1.原发性醛固酮过多症 2.冠状动脉粥样硬化性心脏病 3.肝功能异常 4.低钾血症 5.肾结石 出院带药:螺内酯片 40mg 每日三次、 阿托伐他汀钙分散片 20mg 每日一次、氯化钾缓释片 1g 每日三次 、特拉唑嗪片 4mg 每日两次(早,晚) 。建议及早行手术治疗。

冠脉多发斑块、狭窄。诊断:1.原发性醛固酮过多症 2.冠状动脉粥样硬化性心脏病 3.肝功能异常 4.低钾血症 5.肾结石 出院带药:螺内酯片 40mg 每日三次、 阿托伐他汀钙分散片 20mg 每日一次、氯化钾缓释片 1g 每日三次 、特拉唑嗪片 4mg 每日两次(早,晚) 。建议及早行手术治疗。

脉多发斑块、狭窄。诊断:1.原发性醛固酮过多症 2.冠状动脉粥样硬化性心脏病 3.肝功能异常 4.低钾血症 5.肾结石 出院带药:螺内酯片 40mg 每日三次、 阿托伐他汀钙分散片 20mg 每日一次、氯化钾缓释片 1g 每日三次 、特拉唑嗪片 4mg 每日两次(早,晚) 。建议及早行手术治疗。

多发斑块、狭窄。诊断:1.原发性醛固酮过多症 2.冠状动脉粥样硬化性心脏病 3.肝功能异常 4.低钾血症 5.肾结石 出院带药:螺内酯片 40mg 每日三次、 阿托伐他汀钙分散片 20mg 每日一次、氯化钾缓释片 1g 每日三次 、特拉唑嗪片 4mg 每日两次(早,晚) 。建议及早行手术治疗。

发斑块、狭窄。诊断:1.原发性醛固酮过多症 2.冠状动脉粥样硬化性心脏病 3.肝功能异常 4.低钾血症 5.肾结石 出院带药:螺内酯片 40mg 每日三次、 阿托伐他汀钙分散片 20mg 每日一次、氯化钾缓释片 1g 每日三次 、特拉唑嗪片 4mg 每日两次(早,晚) 。建议及早行手术治疗。

斑块、狭窄。诊断:1.原发性醛固酮过多症 2.冠状动脉粥样硬化性心脏病 3.肝功能异常 4.低钾血症 5.肾结石 出院带药:螺内酯片 40mg 每日三次、 阿托伐他汀钙分散片 20mg 每日一次、氯化钾缓释片 1g 每日三次 、特拉唑嗪片 4mg 每日两次(早,晚) 。建议及早行手术治疗。

块、狭窄。诊断:1.原发性醛固酮过多症 2.冠状动脉粥样硬化性心脏病 3.肝功能异常 4.低钾血症 5.肾结石 出院带药:螺内酯片 40mg 每日三次、 阿托伐他汀钙分散片 20mg 每日一次、氯化钾缓释片 1g 每日三次 、特拉唑嗪片 4mg 每日两次(早,晚) 。建议及早行手术治疗。

、狭窄。诊断:1.原发性醛固酮过多症 2.冠状动脉粥样硬化性心脏病 3.肝功能异常 4.低钾血症 5.肾结石 出院带药:螺内酯片 40mg 每日三次、 阿托伐他汀钙分散片 20mg 每日一次、氯化钾缓释片 1g 每日三次 、特拉唑嗪片 4mg 每日两次(早,晚) 。建议及早行手术治疗。

狭窄。诊断:1.原发性醛固酮过多症 2.冠状动脉粥样硬化性心脏病 3.肝功能异常 4.低钾血症 5.肾结石 出院带药:螺内酯片 40mg 每日三次、 阿托伐他汀钙分散片 20mg 每日一次、氯化钾缓释片 1g 每日三次 、特拉唑嗪片 4mg 每日两次(早,晚) 。建议及早行手术治疗。

窄。诊断:1.原发性醛固酮过多症 2.冠状动脉粥样硬化性心脏病 3.肝功能异常 4.低钾血症 5.肾结石 出院带药:螺内酯片 40mg 每日三次、 阿托伐他汀钙分散片 20mg 每日一次、氯化钾缓释片 1g 每日三次 、特拉唑嗪片 4mg 每日两次(早,晚) 。建议及早行手术治疗。

。诊断:1.原发性醛固酮过多症 2.冠状动脉粥样硬化性心脏病 3.肝功能异常 4.低钾血症 5.肾结石 出院带药:螺内酯片 40mg 每日三次、 阿托伐他汀钙分散片 20mg 每日一次、氯化钾缓释片 1g 每日三次 、特拉唑嗪片 4mg 每日两次(早,晚) 。建议及早行手术治疗。

诊断:1.原发性醛固酮过多症 2.冠状动脉粥样硬化性心脏病 3.肝功能异常 4.低钾血症 5.肾结石 出院带药:螺内酯片 40mg 每日三次、 阿托伐他汀钙分散片 20mg 每日一次、氯化钾缓释片 1g 每日三次 、特拉唑嗪片 4mg 每日两次(早,晚) 。建议及早行手术治疗。

断:1.原发性醛固酮过多症 2.冠状动脉粥样硬化性心脏病 3.肝功能异常 4.低钾血症 5.肾结石 出院带药:螺内酯片 40mg 每日三次、 阿托伐他汀钙分散片 20mg 每日一次、氯化钾缓释片 1g 每日三次 、特拉唑嗪片 4mg 每日两次(早,晚) 。建议及早行手术治疗。

:1.原发性醛固酮过多症 2.冠状动脉粥样硬化性心脏病 3.肝功能异常 4.低钾血症 5.肾结石 出院带药:螺内酯片 40mg 每日三次、 阿托伐他汀钙分散片 20mg 每日一次、氯化钾缓释片 1g 每日三次 、特拉唑嗪片 4mg 每日两次(早,晚) 。建议及早行手术治疗。

1.原发性醛固酮过多症 2.冠状动脉粥样硬化性心脏病 3.肝功能异常 4.低钾血症 5.肾结石 出院带药:螺内酯片 40mg 每日三次、 阿托伐他汀钙分散片 20mg 每日一次、氯化钾缓释片 1g 每日三次 、特拉唑嗪片 4mg 每日两次(早,晚) 。建议及早行手术治疗。

.原发性醛固酮过多症 2.冠状动脉粥样硬化性心脏病 3.肝功能异常 4.低钾血症 5.肾结石 出院带药:螺内酯片 40mg 每日三次、 阿托伐他汀钙分散片 20mg 每日一次、氯化钾缓释片 1g 每日三次 、特拉唑嗪片 4mg 每日两次(早,晚) 。建议及早行手术治疗。

原发性醛固酮过多症 2.冠状动脉粥样硬化性心脏病 3.肝功能异常 4.低钾血症 5.肾结石 出院带药:螺内酯片 40mg 每日三次、 阿托伐他汀钙分散片 20mg 每日一次、氯化钾缓释片 1g 每日三次 、特拉唑嗪片 4mg 每日两次(早,晚) 。建议及早行手术治疗。

发性醛固酮过多症 2.冠状动脉粥样硬化性心脏病 3.肝功能异常 4.低钾血症 5.肾结石 出院带药:螺内酯片 40mg 每日三次、 阿托伐他汀钙分散片 20mg 每日一次、氯化钾缓释片 1g 每日三次 、特拉唑嗪片 4mg 每日两次(早,晚) 。建议及早行手术治疗。

性醛固酮过多症 2.冠状动脉粥样硬化性心脏病 3.肝功能异常 4.低钾血症 5.肾结石 出院带药:螺内酯片 40mg 每日三次、 阿托伐他汀钙分散片 20mg 每日一次、氯化钾缓释片 1g 每日三次 、特拉唑嗪片 4mg 每日两次(早,晚) 。建议及早行手术治疗。

醛固酮过多症 2.冠状动脉粥样硬化性心脏病 3.肝功能异常 4.低钾血症 5.肾结石 出院带药:螺内酯片 40mg 每日三次、 阿托伐他汀钙分散片 20mg 每日一次、氯化钾缓释片 1g 每日三次 、特拉唑嗪片 4mg 每日两次(早,晚) 。建议及早行手术治疗。

固酮过多症 2.冠状动脉粥样硬化性心脏病 3.肝功能异常 4.低钾血症 5.肾结石 出院带药:螺内酯片 40mg 每日三次、 阿托伐他汀钙分散片 20mg 每日一次、氯化钾缓释片 1g 每日三次 、特拉唑嗪片 4mg 每日两次(早,晚) 。建议及早行手术治疗。

酮过多症 2.冠状动脉粥样硬化性心脏病 3.肝功能异常 4.低钾血症 5.肾结石 出院带药:螺内酯片 40mg 每日三次、 阿托伐他汀钙分散片 20mg 每日一次、氯化钾缓释片 1g 每日三次 、特拉唑嗪片 4mg 每日两次(早,晚) 。建议及早行手术治疗。

过多症 2.冠状动脉粥样硬化性心脏病 3.肝功能异常 4.低钾血症 5.肾结石 出院带药:螺内酯片 40mg 每日三次、 阿托伐他汀钙分散片 20mg 每日一次、氯化钾缓释片 1g 每日三次 、特拉唑嗪片 4mg 每日两次(早,晚) 。建议及早行手术治疗。

多症 2.冠状动脉粥样硬化性心脏病 3.肝功能异常 4.低钾血症 5.肾结石 出院带药:螺内酯片 40mg 每日三次、 阿托伐他汀钙分散片 20mg 每日一次、氯化钾缓释片 1g 每日三次 、特拉唑嗪片 4mg 每日两次(早,晚) 。建议及早行手术治疗。

症 2.冠状动脉粥样硬化性心脏病 3.肝功能异常 4.低钾血症 5.肾结石 出院带药:螺内酯片 40mg 每日三次、 阿托伐他汀钙分散片 20mg 每日一次、氯化钾缓释片 1g 每日三次 、特拉唑嗪片 4mg 每日两次(早,晚) 。建议及早行手术治疗。

2.冠状动脉粥样硬化性心脏病 3.肝功能异常 4.低钾血症 5.肾结石 出院带药:螺内酯片 40mg 每日三次、 阿托伐他汀钙分散片 20mg 每日一次、氯化钾缓释片 1g 每日三次 、特拉唑嗪片 4mg 每日两次(早,晚) 。建议及早行手术治疗。

2.冠状动脉粥样硬化性心脏病 3.肝功能异常 4.低钾血症 5.肾结石 出院带药:螺内酯片 40mg 每日三次、 阿托伐他汀钙分散片 20mg 每日一次、氯化钾缓释片 1g 每日三次 、特拉唑嗪片 4mg 每日两次(早,晚) 。建议及早行手术治疗。

.冠状动脉粥样硬化性心脏病 3.肝功能异常 4.低钾血症 5.肾结石 出院带药:螺内酯片 40mg 每日三次、 阿托伐他汀钙分散片 20mg 每日一次、氯化钾缓释片 1g 每日三次 、特拉唑嗪片 4mg 每日两次(早,晚) 。建议及早行手术治疗。

冠状动脉粥样硬化性心脏病 3.肝功能异常 4.低钾血症 5.肾结石 出院带药:螺内酯片 40mg 每日三次、 阿托伐他汀钙分散片 20mg 每日一次、氯化钾缓释片 1g 每日三次 、特拉唑嗪片 4mg 每日两次(早,晚) 。建议及早行手术治疗。

状动脉粥样硬化性心脏病 3.肝功能异常 4.低钾血症 5.肾结石 出院带药:螺内酯片 40mg 每日三次、 阿托伐他汀钙分散片 20mg 每日一次、氯化钾缓释片 1g 每日三次 、特拉唑嗪片 4mg 每日两次(早,晚) 。建议及早行手术治疗。

动脉粥样硬化性心脏病 3.肝功能异常 4.低钾血症 5.肾结石 出院带药:螺内酯片 40mg 每日三次、 阿托伐他汀钙分散片 20mg 每日一次、氯化钾缓释片 1g 每日三次 、特拉唑嗪片 4mg 每日两次(早,晚) 。建议及早行手术治疗。

脉粥样硬化性心脏病 3.肝功能异常 4.低钾血症 5.肾结石 出院带药:螺内酯片 40mg 每日三次、 阿托伐他汀钙分散片 20mg 每日一次、氯化钾缓释片 1g 每日三次 、特拉唑嗪片 4mg 每日两次(早,晚) 。建议及早行手术治疗。

粥样硬化性心脏病 3.肝功能异常 4.低钾血症 5.肾结石 出院带药:螺内酯片 40mg 每日三次、 阿托伐他汀钙分散片 20mg 每日一次、氯化钾缓释片 1g 每日三次 、特拉唑嗪片 4mg 每日两次(早,晚) 。建议及早行手术治疗。

样硬化性心脏病 3.肝功能异常 4.低钾血症 5.肾结石 出院带药:螺内酯片 40mg 每日三次、 阿托伐他汀钙分散片 20mg 每日一次、氯化钾缓释片 1g 每日三次 、特拉唑嗪片 4mg 每日两次(早,晚) 。建议及早行手术治疗。

硬化性心脏病 3.肝功能异常 4.低钾血症 5.肾结石 出院带药:螺内酯片 40mg 每日三次、 阿托伐他汀钙分散片 20mg 每日一次、氯化钾缓释片 1g 每日三次 、特拉唑嗪片 4mg 每日两次(早,晚) 。建议及早行手术治疗。

化性心脏病 3.肝功能异常 4.低钾血症 5.肾结石 出院带药:螺内酯片 40mg 每日三次、 阿托伐他汀钙分散片 20mg 每日一次、氯化钾缓释片 1g 每日三次 、特拉唑嗪片 4mg 每日两次(早,晚) 。建议及早行手术治疗。

性心脏病 3.肝功能异常 4.低钾血症 5.肾结石 出院带药:螺内酯片 40mg 每日三次、 阿托伐他汀钙分散片 20mg 每日一次、氯化钾缓释片 1g 每日三次 、特拉唑嗪片 4mg 每日两次(早,晚) 。建议及早行手术治疗。

心脏病 3.肝功能异常 4.低钾血症 5.肾结石 出院带药:螺内酯片 40mg 每日三次、 阿托伐他汀钙分散片 20mg 每日一次、氯化钾缓释片 1g 每日三次 、特拉唑嗪片 4mg 每日两次(早,晚) 。建议及早行手术治疗。

脏病 3.肝功能异常 4.低钾血症 5.肾结石 出院带药:螺内酯片 40mg 每日三次、 阿托伐他汀钙分散片 20mg 每日一次、氯化钾缓释片 1g 每日三次 、特拉唑嗪片 4mg 每日两次(早,晚) 。建议及早行手术治疗。

病 3.肝功能异常 4.低钾血症 5.肾结石 出院带药:螺内酯片 40mg 每日三次、 阿托伐他汀钙分散片 20mg 每日一次、氯化钾缓释片 1g 每日三次 、特拉唑嗪片 4mg 每日两次(早,晚) 。建议及早行手术治疗。

3.肝功能异常 4.低钾血症 5.肾结石 出院带药:螺内酯片 40mg 每日三次、 阿托伐他汀钙分散片 20mg 每日一次、氯化钾缓释片 1g 每日三次 、特拉唑嗪片 4mg 每日两次(早,晚) 。建议及早行手术治疗。

3.肝功能异常 4.低钾血症 5.肾结石 出院带药:螺内酯片 40mg 每日三次、 阿托伐他汀钙分散片 20mg 每日一次、氯化钾缓释片 1g 每日三次 、特拉唑嗪片 4mg 每日两次(早,晚) 。建议及早行手术治疗。

.肝功能异常 4.低钾血症 5.肾结石 出院带药:螺内酯片 40mg 每日三次、 阿托伐他汀钙分散片 20mg 每日一次、氯化钾缓释片 1g 每日三次 、特拉唑嗪片 4mg 每日两次(早,晚) 。建议及早行手术治疗。

肝功能异常 4.低钾血症 5.肾结石 出院带药:螺内酯片 40mg 每日三次、 阿托伐他汀钙分散片 20mg 每日一次、氯化钾缓释片 1g 每日三次 、特拉唑嗪片 4mg 每日两次(早,晚) 。建议及早行手术治疗。

功能异常 4.低钾血症 5.肾结石 出院带药:螺内酯片 40mg 每日三次、 阿托伐他汀钙分散片 20mg 每日一次、氯化钾缓释片 1g 每日三次 、特拉唑嗪片 4mg 每日两次(早,晚) 。建议及早行手术治疗。

能异常 4.低钾血症 5.肾结石 出院带药:螺内酯片 40mg 每日三次、 阿托伐他汀钙分散片 20mg 每日一次、氯化钾缓释片 1g 每日三次 、特拉唑嗪片 4mg 每日两次(早,晚) 。建议及早行手术治疗。

异常 4.低钾血症 5.肾结石 出院带药:螺内酯片 40mg 每日三次、 阿托伐他汀钙分散片 20mg 每日一次、氯化钾缓释片 1g 每日三次 、特拉唑嗪片 4mg 每日两次(早,晚) 。建议及早行手术治疗。

常 4.低钾血症 5.肾结石 出院带药:螺内酯片 40mg 每日三次、 阿托伐他汀钙分散片 20mg 每日一次、氯化钾缓释片 1g 每日三次 、特拉唑嗪片 4mg 每日两次(早,晚) 。建议及早行手术治疗。

4.低钾血症 5.肾结石 出院带药:螺内酯片 40mg 每日三次、 阿托伐他汀钙分散片 20mg 每日一次、氯化钾缓释片 1g 每日三次 、特拉唑嗪片 4mg 每日两次(早,晚) 。建议及早行手术治疗。

4.低钾血症 5.肾结石 出院带药:螺内酯片 40mg 每日三次、 阿托伐他汀钙分散片 20mg 每日一次、氯化钾缓释片 1g 每日三次 、特拉唑嗪片 4mg 每日两次(早,晚) 。建议及早行手术治疗。

.低钾血症 5.肾结石 出院带药:螺内酯片 40mg 每日三次、 阿托伐他汀钙分散片 20mg 每日一次、氯化钾缓释片 1g 每日三次 、特拉唑嗪片 4mg 每日两次(早,晚) 。建议及早行手术治疗。

低钾血症 5.肾结石 出院带药:螺内酯片 40mg 每日三次、 阿托伐他汀钙分散片 20mg 每日一次、氯化钾缓释片 1g 每日三次 、特拉唑嗪片 4mg 每日两次(早,晚) 。建议及早行手术治疗。

钾血症 5.肾结石 出院带药:螺内酯片 40mg 每日三次、 阿托伐他汀钙分散片 20mg 每日一次、氯化钾缓释片 1g 每日三次 、特拉唑嗪片 4mg 每日两次(早,晚) 。建议及早行手术治疗。

血症 5.肾结石 出院带药:螺内酯片 40mg 每日三次、 阿托伐他汀钙分散片 20mg 每日一次、氯化钾缓释片 1g 每日三次 、特拉唑嗪片 4mg 每日两次(早,晚) 。建议及早行手术治疗。

症 5.肾结石 出院带药:螺内酯片 40mg 每日三次、 阿托伐他汀钙分散片 20mg 每日一次、氯化钾缓释片 1g 每日三次 、特拉唑嗪片 4mg 每日两次(早,晚) 。建议及早行手术治疗。

5.肾结石 出院带药:螺内酯片 40mg 每日三次、 阿托伐他汀钙分散片 20mg 每日一次、氯化钾缓释片 1g 每日三次 、特拉唑嗪片 4mg 每日两次(早,晚) 。建议及早行手术治疗。

5.肾结石 出院带药:螺内酯片 40mg 每日三次、 阿托伐他汀钙分散片 20mg 每日一次、氯化钾缓释片 1g 每日三次 、特拉唑嗪片 4mg 每日两次(早,晚) 。建议及早行手术治疗。

.肾结石 出院带药:螺内酯片 40mg 每日三次、 阿托伐他汀钙分散片 20mg 每日一次、氯化钾缓释片 1g 每日三次 、特拉唑嗪片 4mg 每日两次(早,晚) 。建议及早行手术治疗。

肾结石 出院带药:螺内酯片 40mg 每日三次、 阿托伐他汀钙分散片 20mg 每日一次、氯化钾缓释片 1g 每日三次 、特拉唑嗪片 4mg 每日两次(早,晚) 。建议及早行手术治疗。

结石 出院带药:螺内酯片 40mg 每日三次、 阿托伐他汀钙分散片 20mg 每日一次、氯化钾缓释片 1g 每日三次 、特拉唑嗪片 4mg 每日两次(早,晚) 。建议及早行手术治疗。

石 出院带药:螺内酯片 40mg 每日三次、 阿托伐他汀钙分散片 20mg 每日一次、氯化钾缓释片 1g 每日三次 、特拉唑嗪片 4mg 每日两次(早,晚) 。建议及早行手术治疗。

出院带药:螺内酯片 40mg 每日三次、 阿托伐他汀钙分散片 20mg 每日一次、氯化钾缓释片 1g 每日三次 、特拉唑嗪片 4mg 每日两次(早,晚) 。建议及早行手术治疗。

出院带药:螺内酯片 40mg 每日三次、 阿托伐他汀钙分散片 20mg 每日一次、氯化钾缓释片 1g 每日三次 、特拉唑嗪片 4mg 每日两次(早,晚) 。建议及早行手术治疗。

院带药:螺内酯片 40mg 每日三次、 阿托伐他汀钙分散片 20mg 每日一次、氯化钾缓释片 1g 每日三次 、特拉唑嗪片 4mg 每日两次(早,晚) 。建议及早行手术治疗。

带药:螺内酯片 40mg 每日三次、 阿托伐他汀钙分散片 20mg 每日一次、氯化钾缓释片 1g 每日三次 、特拉唑嗪片 4mg 每日两次(早,晚) 。建议及早行手术治疗。

药:螺内酯片 40mg 每日三次、 阿托伐他汀钙分散片 20mg 每日一次、氯化钾缓释片 1g 每日三次 、特拉唑嗪片 4mg 每日两次(早,晚) 。建议及早行手术治疗。

:螺内酯片 40mg 每日三次、 阿托伐他汀钙分散片 20mg 每日一次、氯化钾缓释片 1g 每日三次 、特拉唑嗪片 4mg 每日两次(早,晚) 。建议及早行手术治疗。

螺内酯片 40mg 每日三次、 阿托伐他汀钙分散片 20mg 每日一次、氯化钾缓释片 1g 每日三次 、特拉唑嗪片 4mg 每日两次(早,晚) 。建议及早行手术治疗。

内酯片 40mg 每日三次、 阿托伐他汀钙分散片 20mg 每日一次、氯化钾缓释片 1g 每日三次 、特拉唑嗪片 4mg 每日两次(早,晚) 。建议及早行手术治疗。

酯片 40mg 每日三次、 阿托伐他汀钙分散片 20mg 每日一次、氯化钾缓释片 1g 每日三次 、特拉唑嗪片 4mg 每日两次(早,晚) 。建议及早行手术治疗。

片 40mg 每日三次、 阿托伐他汀钙分散片 20mg 每日一次、氯化钾缓释片 1g 每日三次 、特拉唑嗪片 4mg 每日两次(早,晚) 。建议及早行手术治疗。

40mg 每日三次、 阿托伐他汀钙分散片 20mg 每日一次、氯化钾缓释片 1g 每日三次 、特拉唑嗪片 4mg 每日两次(早,晚) 。建议及早行手术治疗。

40mg 每日三次、 阿托伐他汀钙分散片 20mg 每日一次、氯化钾缓释片 1g 每日三次 、特拉唑嗪片 4mg 每日两次(早,晚) 。建议及早行手术治疗。

0mg 每日三次、 阿托伐他汀钙分散片 20mg 每日一次、氯化钾缓释片 1g 每日三次 、特拉唑嗪片 4mg 每日两次(早,晚) 。建议及早行手术治疗。

mg 每日三次、 阿托伐他汀钙分散片 20mg 每日一次、氯化钾缓释片 1g 每日三次 、特拉唑嗪片 4mg 每日两次(早,晚) 。建议及早行手术治疗。

g 每日三次、 阿托伐他汀钙分散片 20mg 每日一次、氯化钾缓释片 1g 每日三次 、特拉唑嗪片 4mg 每日两次(早,晚) 。建议及早行手术治疗。

每日三次、 阿托伐他汀钙分散片 20mg 每日一次、氯化钾缓释片 1g 每日三次 、特拉唑嗪片 4mg 每日两次(早,晚) 。建议及早行手术治疗。

每日三次、 阿托伐他汀钙分散片 20mg 每日一次、氯化钾缓释片 1g 每日三次 、特拉唑嗪片 4mg 每日两次(早,晚) 。建议及早行手术治疗。

日三次、 阿托伐他汀钙分散片 20mg 每日一次、氯化钾缓释片 1g 每日三次 、特拉唑嗪片 4mg 每日两次(早,晚) 。建议及早行手术治疗。

三次、 阿托伐他汀钙分散片 20mg 每日一次、氯化钾缓释片 1g 每日三次 、特拉唑嗪片 4mg 每日两次(早,晚) 。建议及早行手术治疗。

次、 阿托伐他汀钙分散片 20mg 每日一次、氯化钾缓释片 1g 每日三次 、特拉唑嗪片 4mg 每日两次(早,晚) 。建议及早行手术治疗。

、 阿托伐他汀钙分散片 20mg 每日一次、氯化钾缓释片 1g 每日三次 、特拉唑嗪片 4mg 每日两次(早,晚) 。建议及早行手术治疗。

阿托伐他汀钙分散片 20mg 每日一次、氯化钾缓释片 1g 每日三次 、特拉唑嗪片 4mg 每日两次(早,晚) 。建议及早行手术治疗。

阿托伐他汀钙分散片 20mg 每日一次、氯化钾缓释片 1g 每日三次 、特拉唑嗪片 4mg 每日两次(早,晚) 。建议及早行手术治疗。

阿托伐他汀钙分散片 20mg 每日一次、氯化钾缓释片 1g 每日三次 、特拉唑嗪片 4mg 每日两次(早,晚) 。建议及早行手术治疗。

阿托伐他汀钙分散片 20mg 每日一次、氯化钾缓释片 1g 每日三次 、特拉唑嗪片 4mg 每日两次(早,晚) 。建议及早行手术治疗。

阿托伐他汀钙分散片 20mg 每日一次、氯化钾缓释片 1g 每日三次 、特拉唑嗪片 4mg 每日两次(早,晚) 。建议及早行手术治疗。

阿托伐他汀钙分散片 20mg 每日一次、氯化钾缓释片 1g 每日三次 、特拉唑嗪片 4mg 每日两次(早,晚) 。建议及早行手术治疗。

阿托伐他汀钙分散片 20mg 每日一次、氯化钾缓释片 1g 每日三次 、特拉唑嗪片 4mg 每日两次(早,晚) 。建议及早行手术治疗。

阿托伐他汀钙分散片 20mg 每日一次、氯化钾缓释片 1g 每日三次 、特拉唑嗪片 4mg 每日两次(早,晚) 。建议及早行手术治疗。

阿托伐他汀钙分散片 20mg 每日一次、氯化钾缓释片 1g 每日三次 、特拉唑嗪片 4mg 每日两次(早,晚) 。建议及早行手术治疗。

阿托伐他汀钙分散片 20mg 每日一次、氯化钾缓释片 1g 每日三次 、特拉唑嗪片 4mg 每日两次(早,晚) 。建议及早行手术治疗。

阿托伐他汀钙分散片 20mg 每日一次、氯化钾缓释片 1g 每日三次 、特拉唑嗪片 4mg 每日两次(早,晚) 。建议及早行手术治疗。

阿托伐他汀钙分散片 20mg 每日一次、氯化钾缓释片 1g 每日三次 、特拉唑嗪片 4mg 每日两次(早,晚) 。建议及早行手术治疗。

托伐他汀钙分散片 20mg 每日一次、氯化钾缓释片 1g 每日三次 、特拉唑嗪片 4mg 每日两次(早,晚) 。建议及早行手术治疗。

伐他汀钙分散片 20mg 每日一次、氯化钾缓释片 1g 每日三次 、特拉唑嗪片 4mg 每日两次(早,晚) 。建议及早行手术治疗。

他汀钙分散片 20mg 每日一次、氯化钾缓释片 1g 每日三次 、特拉唑嗪片 4mg 每日两次(早,晚) 。建议及早行手术治疗。

汀钙分散片 20mg 每日一次、氯化钾缓释片 1g 每日三次 、特拉唑嗪片 4mg 每日两次(早,晚) 。建议及早行手术治疗。

钙分散片 20mg 每日一次、氯化钾缓释片 1g 每日三次 、特拉唑嗪片 4mg 每日两次(早,晚) 。建议及早行手术治疗。

分散片 20mg 每日一次、氯化钾缓释片 1g 每日三次 、特拉唑嗪片 4mg 每日两次(早,晚) 。建议及早行手术治疗。

散片 20mg 每日一次、氯化钾缓释片 1g 每日三次 、特拉唑嗪片 4mg 每日两次(早,晚) 。建议及早行手术治疗。

片 20mg 每日一次、氯化钾缓释片 1g 每日三次 、特拉唑嗪片 4mg 每日两次(早,晚) 。建议及早行手术治疗。

20mg 每日一次、氯化钾缓释片 1g 每日三次 、特拉唑嗪片 4mg 每日两次(早,晚) 。建议及早行手术治疗。

20mg 每日一次、氯化钾缓释片 1g 每日三次 、特拉唑嗪片 4mg 每日两次(早,晚) 。建议及早行手术治疗。

0mg 每日一次、氯化钾缓释片 1g 每日三次 、特拉唑嗪片 4mg 每日两次(早,晚) 。建议及早行手术治疗。

mg 每日一次、氯化钾缓释片 1g 每日三次 、特拉唑嗪片 4mg 每日两次(早,晚) 。建议及早行手术治疗。

g 每日一次、氯化钾缓释片 1g 每日三次 、特拉唑嗪片 4mg 每日两次(早,晚) 。建议及早行手术治疗。

每日一次、氯化钾缓释片 1g 每日三次 、特拉唑嗪片 4mg 每日两次(早,晚) 。建议及早行手术治疗。

每日一次、氯化钾缓释片 1g 每日三次 、特拉唑嗪片 4mg 每日两次(早,晚) 。建议及早行手术治疗。

日一次、氯化钾缓释片 1g 每日三次 、特拉唑嗪片 4mg 每日两次(早,晚) 。建议及早行手术治疗。

一次、氯化钾缓释片 1g 每日三次 、特拉唑嗪片 4mg 每日两次(早,晚) 。建议及早行手术治疗。

次、氯化钾缓释片 1g 每日三次 、特拉唑嗪片 4mg 每日两次(早,晚) 。建议及早行手术治疗。

、氯化钾缓释片 1g 每日三次 、特拉唑嗪片 4mg 每日两次(早,晚) 。建议及早行手术治疗。

氯化钾缓释片 1g 每日三次 、特拉唑嗪片 4mg 每日两次(早,晚) 。建议及早行手术治疗。

化钾缓释片 1g 每日三次 、特拉唑嗪片 4mg 每日两次(早,晚) 。建议及早行手术治疗。

钾缓释片 1g 每日三次 、特拉唑嗪片 4mg 每日两次(早,晚) 。建议及早行手术治疗。

缓释片 1g 每日三次 、特拉唑嗪片 4mg 每日两次(早,晚) 。建议及早行手术治疗。

释片 1g 每日三次 、特拉唑嗪片 4mg 每日两次(早,晚) 。建议及早行手术治疗。

片 1g 每日三次 、特拉唑嗪片 4mg 每日两次(早,晚) 。建议及早行手术治疗。

1g 每日三次 、特拉唑嗪片 4mg 每日两次(早,晚) 。建议及早行手术治疗。

1g 每日三次 、特拉唑嗪片 4mg 每日两次(早,晚) 。建议及早行手术治疗。

g 每日三次 、特拉唑嗪片 4mg 每日两次(早,晚) 。建议及早行手术治疗。

每日三次 、特拉唑嗪片 4mg 每日两次(早,晚) 。建议及早行手术治疗。

每日三次 、特拉唑嗪片 4mg 每日两次(早,晚) 。建议及早行手术治疗。

日三次 、特拉唑嗪片 4mg 每日两次(早,晚) 。建议及早行手术治疗。

三次 、特拉唑嗪片 4mg 每日两次(早,晚) 。建议及早行手术治疗。

次 、特拉唑嗪片 4mg 每日两次(早,晚) 。建议及早行手术治疗。

、特拉唑嗪片 4mg 每日两次(早,晚) 。建议及早行手术治疗。

、特拉唑嗪片 4mg 每日两次(早,晚) 。建议及早行手术治疗。

特拉唑嗪片 4mg 每日两次(早,晚) 。建议及早行手术治疗。

拉唑嗪片 4mg 每日两次(早,晚) 。建议及早行手术治疗。

唑嗪片 4mg 每日两次(早,晚) 。建议及早行手术治疗。

嗪片 4mg 每日两次(早,晚) 。建议及早行手术治疗。

片 4mg 每日两次(早,晚) 。建议及早行手术治疗。

4mg 每日两次(早,晚) 。建议及早行手术治疗。

4mg 每日两次(早,晚) 。建议及早行手术治疗。

mg 每日两次(早,晚) 。建议及早行手术治疗。

g 每日两次(早,晚) 。建议及早行手术治疗。

每日两次(早,晚) 。建议及早行手术治疗。

每日两次(早,晚) 。建议及早行手术治疗。

日两次(早,晚) 。建议及早行手术治疗。

两次(早,晚) 。建议及早行手术治疗。

次(早,晚) 。建议及早行手术治疗。

(早,晚) 。建议及早行手术治疗。

早,晚) 。建议及早行手术治疗。

,晚) 。建议及早行手术治疗。

晚) 。建议及早行手术治疗。

) 。建议及早行手术治疗。

。建议及早行手术治疗。

。建议及早行手术治疗。

建议及早行手术治疗。

议及早行手术治疗。

及早行手术治疗。

早行手术治疗。

行手术治疗。

手术治疗。

术治疗。

治疗。

疗。

med-img=488954 med-img-size={296, 394.66666666666663}

随访 讨论

患者刚出院,后期应该同意行手术治疗。待续。

发布于 17-03-19 19:24

15 个评论

发送