打开应用

原发性醛固酮增多症1例

蔡医师   双流区第一人民医院
原发性醛固酮增多症

主诉 病史

患者女性,46岁。 主诉:发现高血压1+年,右侧肾上腺结节3月 现病史:入院1+年前发现血压增高,监测血压在140~150/90-95mmHg,未予重视。于2018年5月30日在我院门诊肝占位术后复查腹部彩超时发现右侧肾上腺实性结节:性质?不排除皮脂腺瘤可能。后月6月在我院住院,查血尿皮质醇、血尿儿茶酚胺未见明显异常,有电解血症,卧立位醛固酮肾素活性筛查试验结果提示原发性醛固酮增多症改变,1月前我院行肾上腺静脉采血,采血结果:右侧优势侧,为进一步手术治疗,收入我科。 既往史:无特殊。

查体 辅查

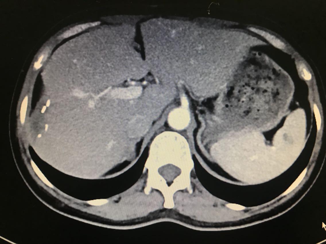
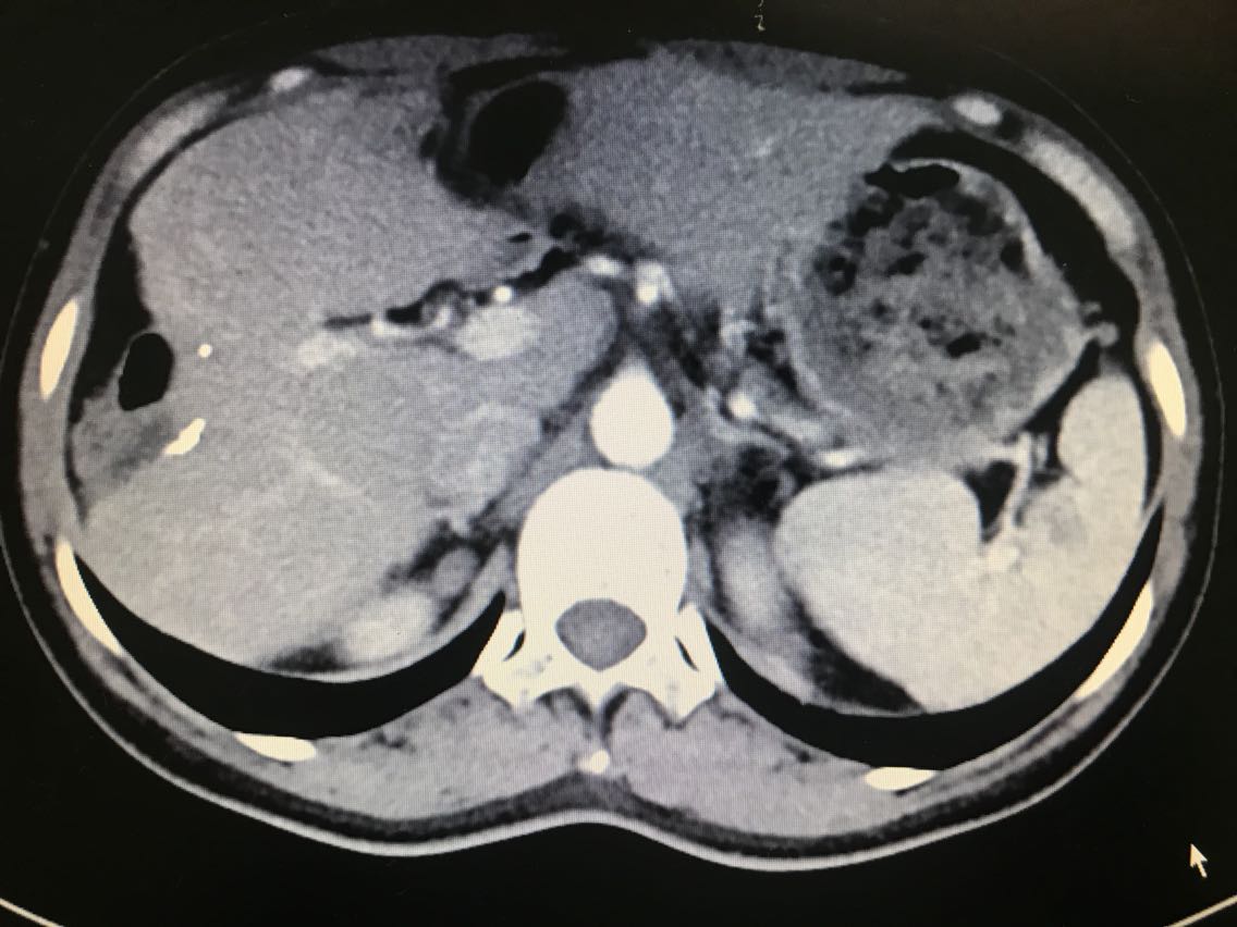
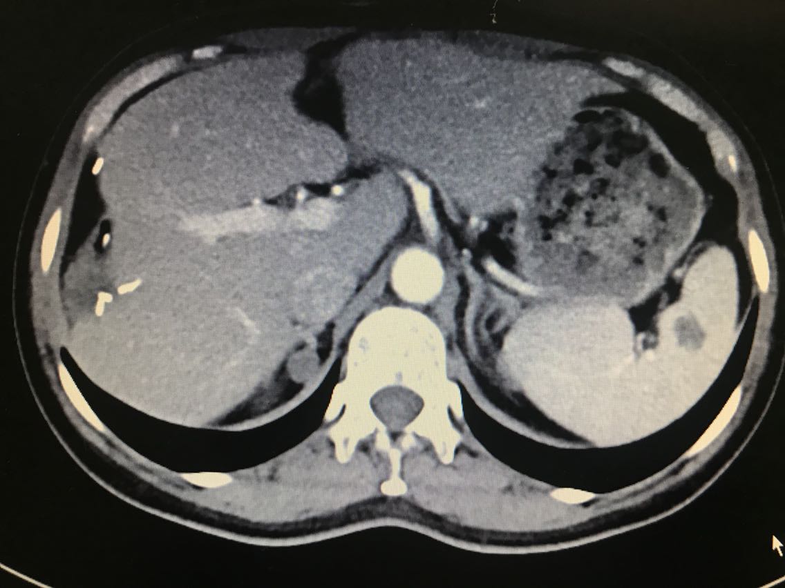
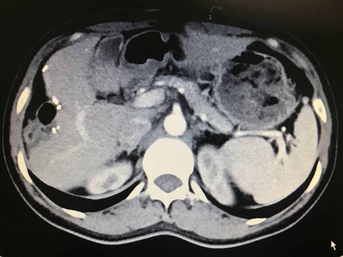
查体无特殊。 辅助检查: 全腹CT:右侧肾上腺占位。

诊断 处理

诊断:1.原发性醛固酮增多症(右侧优势侧)2.右侧肾上腺结节 治疗:腹腔镜右肾上腺肿瘤切除术 术中见:右侧肾上腺肿物与肾周紧密粘连,金黄色,约1.0*1.8*1.0cm大小。剖视肿瘤为鱼肉状实性肿物。

随访 讨论

患者偶然体检发现右侧肾上腺结节,结合患者高血压病史,进一步完善醛固酮等相关肾上腺激素检查,最终明确为原发性醛固酮增多症。术后患者恢复良好,血压降至正常。

发布于 18-09-17 08:01

0 个评论

暂无评论
发送