打开应用

脊椎结核病冷脓肿

吕医师   兴国县第二医院

主诉 病史

患者截瘫一日就诊。外院检查结果倾向肿瘤,截瘫一日入院。

查体 辅查

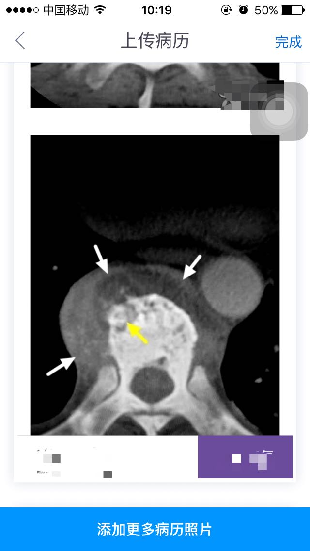
查体下肢已无感觉运动。行PET-CT结果考虑结核病灶并未见肿瘤性质病损,考虑胸8、9椎体结核,胸7、11、腰2考虑良性病变。CT、MRI均考虑转移瘤。红细胞沉降率34mm/h,肿瘤指标为糖类抗原12-5 34.43U/l(小于35)。体重消瘦约7kg,半年。无明显乏力、纳差、午后低热。 影像表现:多发胸椎骨质破坏,其内可见死骨(黄箭)。邻近椎间隙变窄,椎旁软组织增厚,CT示内部有液体密度区,MRIT1呈略低信号,T2成高信号。符合冷脓肿(白箭)。

诊断 处理

脊柱结核 手术

发布于 17-03-06 10:20

15 个评论

发送