打开应用

浆细胞瘤

张医师   亳州市谯城区十八里镇卫生院
浆细胞瘤

主诉 病史

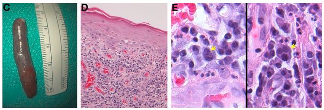
女,64岁,咽部异物感持续18个月。

查体 辅查

自述有“圆柱形肿块”的反流,伴有窒息感。 腹部、头部和颈部检查无异常。 既往有乳腺浸润性微乳头状癌,在2007年接受左乳房切除术并接受放化疗治疗。 初步检查包括双对比钡餐,无任何食管异常的表现。上消化道内镜检查显示有一个起源于上消化道的光滑、蠕虫状病变,正位于环咽肌下方。 对该息肉进行套圈结扎,为了避免引发出血,一些基底被保留下来。 非溃疡性鳞状上皮有角化不全。息肉间质充满了丰富的浆细胞(图D),有些表现出细胞核以及双核和三核形式的可疑病变(图E,箭头)。免疫组织化学染色CD-138、CD-45阳性,EMA与κ轻链的单克隆表达用于浆细胞瘤的诊断。血清/尿蛋白电泳示病变蛋白阴性。骨髓抽吸流式细胞仪检测结果显示没有证据表明浆细胞骨髓瘤或淋巴增生性疾病。正电子发射断层扫描没有发现任何多发性骨髓瘤代谢活跃部位。呈现浆细胞瘤诊断。咨询肿瘤内科,她接受放射治疗。 在6个月的重复内镜检查中病变仍清晰可见。活检显示正常食管粘膜固有层有分散浆细胞,但没有证据表明浆细胞肿瘤。

诊断 处理

浆细胞瘤以浆细胞单克隆扩散为特征,通常产生单克隆免疫球蛋白。这些肿瘤可能发生在骨髓(90%)或髓外部位(最常见于口咽部),孤立(孤立性浆细胞瘤)或多发(多发性骨髓瘤)。[1,2]这是第一例食管浆细胞瘤表现为异物感的病例。孤立性髓外浆细胞瘤具有高度放射敏感性。鉴于放射的局部控制率达80%-100%,手术很少用到。

发布于 17-02-23 07:52

28 个评论

发送