打开应用

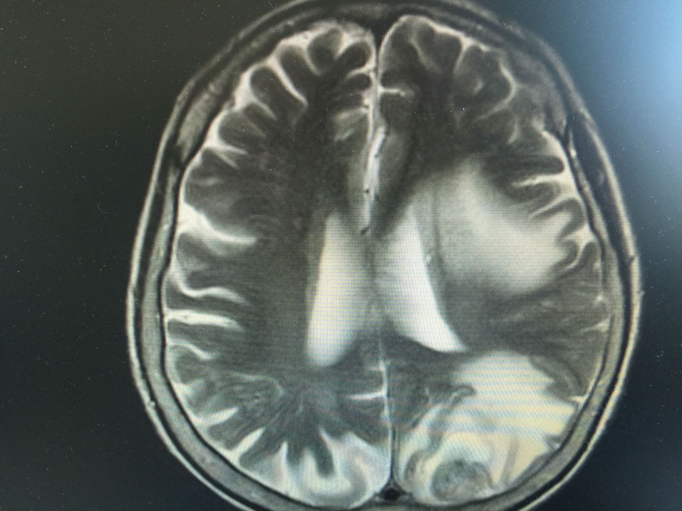
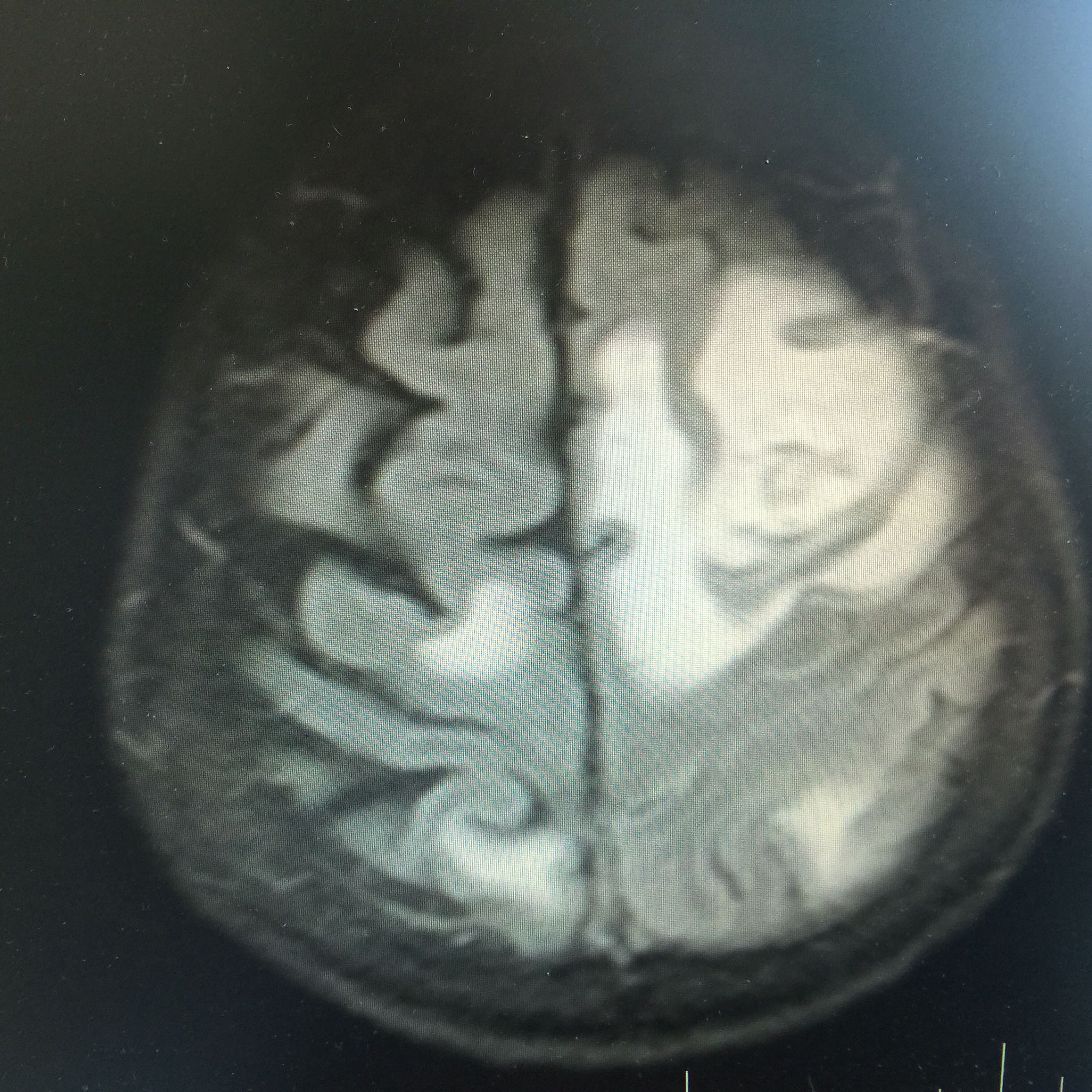
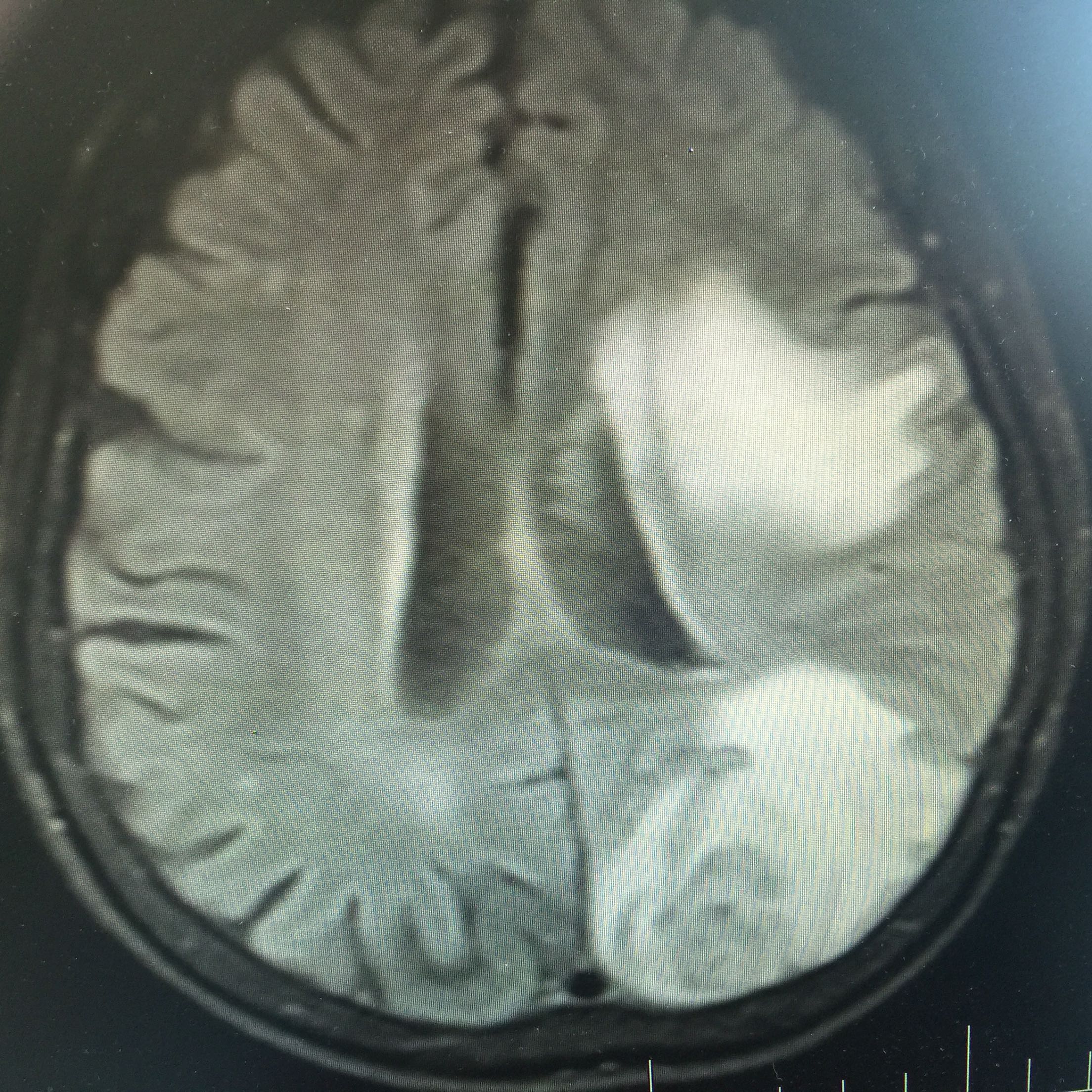
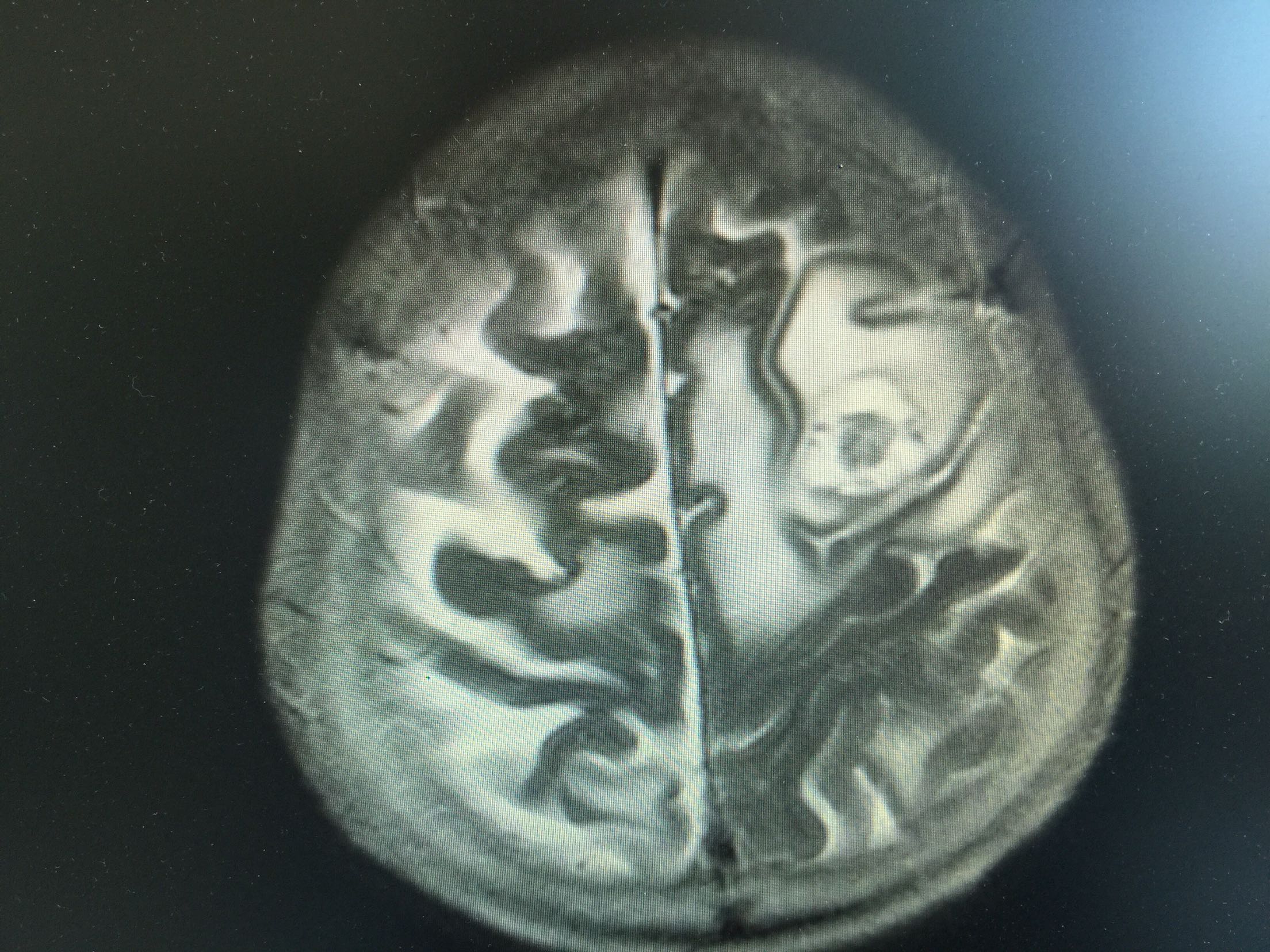
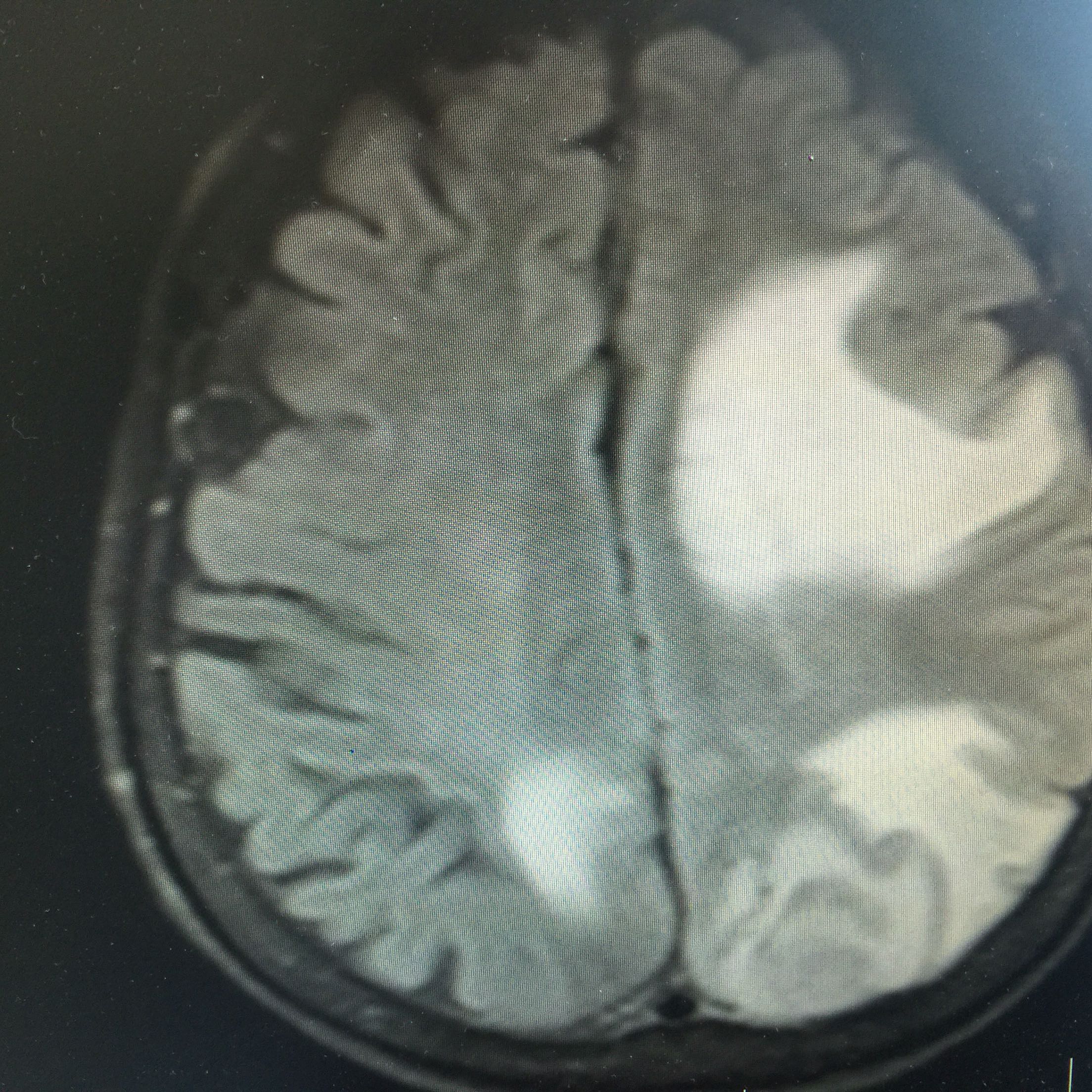
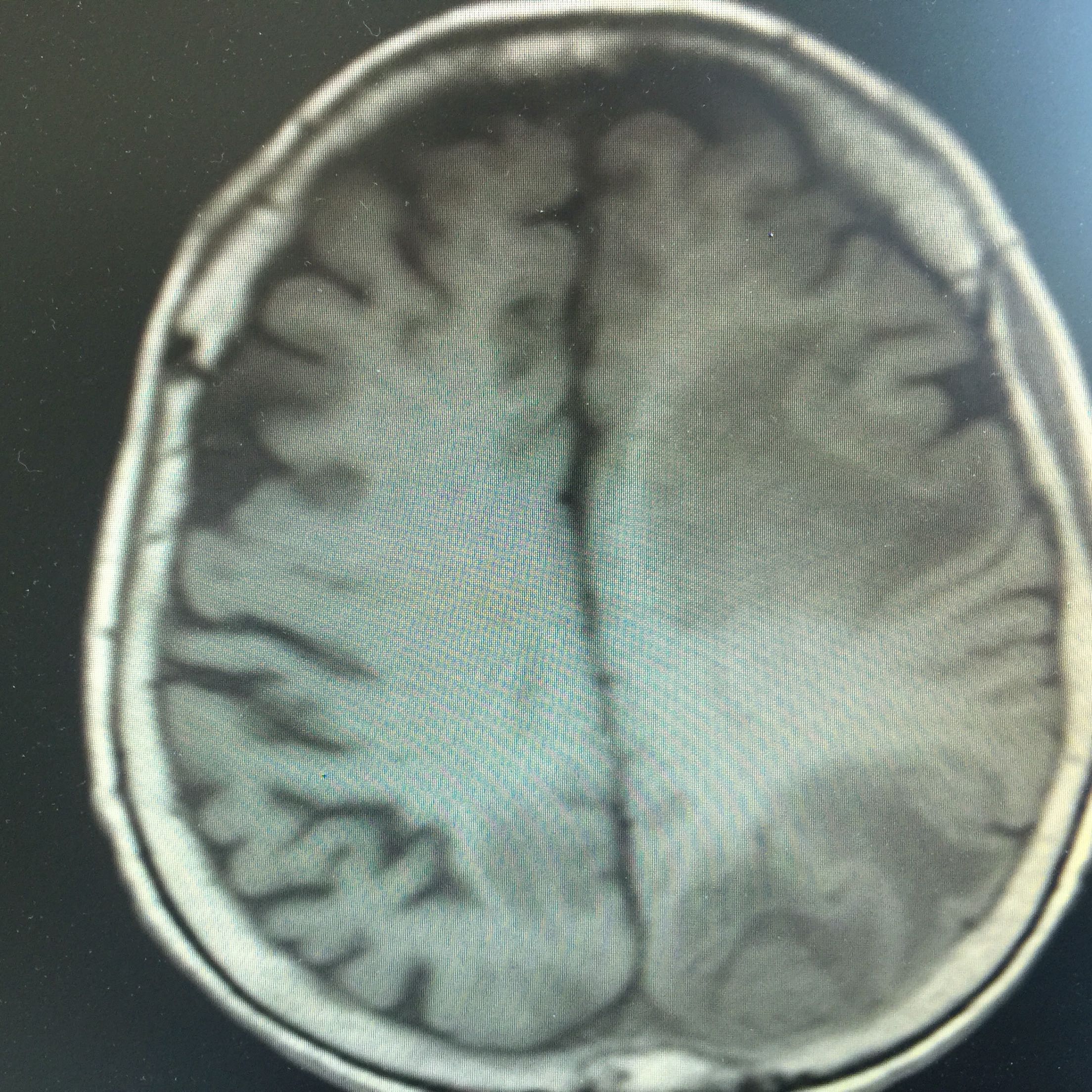
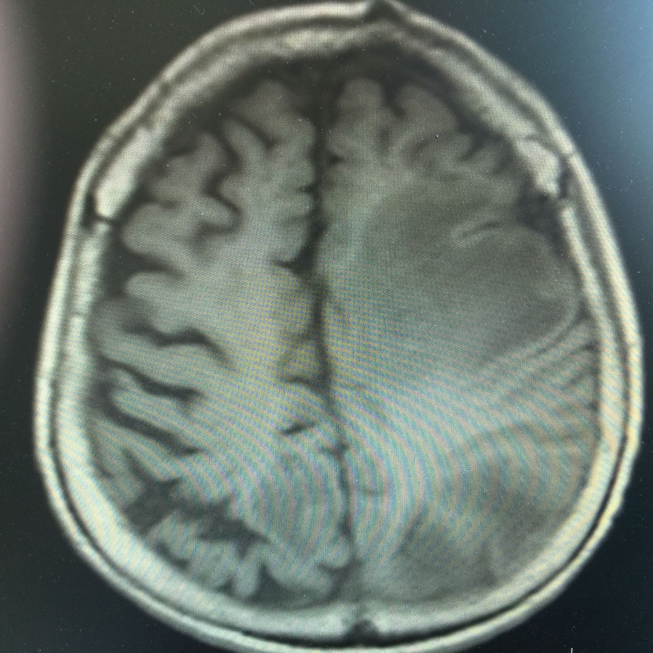
肺腺癌脑转移!

李医师   沈阳维康医院

主诉 病史

1.女,81岁,以“右侧肢体无力3天”入院。 2.现病史:3天前无诱因出现右侧肢体无力,右上肢抬举费力,右下肢步行拖拉,无抽搐,无意识障碍! 3.既往史:2016年肺穿刺活检,免疫组化为腺癌!已合并第五、六椎体转移、左肾上腺转移,行灌注介入治疗。

查体 辅查

查体:血压:130/80mmHg,两肺呼吸音清,未闻及啰音,心率98次/分,律齐,未及杂音,双下肢无水肿。神经系统查体:意识清,双侧瞳孔等大正圆,直径约3.0mm,对光反射灵敏,无面舌瘫,右侧肢体肌力4级,腱反射减弱,Babinski征R+L-。

诊断 处理

左肺腺癌 骨转移、双肺门及纵膈淋巴结转移、左肾上腺转移、脑转移! 治疗:对称、支持治疗!

随访 讨论

预后差!

发布于 17-01-12 15:05

26 个评论

发送