打开应用

慢性牙髓炎根管治疗+高嵌体修复一例

刘医师   中国人民解放军空军总医院
口腔修复 口腔内修复 慢性牙髓炎

主诉 病史

主诉:左下后牙冷热痛一周,伴自发痛及夜间痛 2 天。 现病史:患者一年前左下后牙咬物偶有不适,冷及甜刺激酸疼。一周前自觉左后牙冷热刺激 一过性痛,渐发展为持续性,就诊外院“放杀神经药物”处理,今日求诊,继续治疗。 既往史:无特殊。

查体 辅查

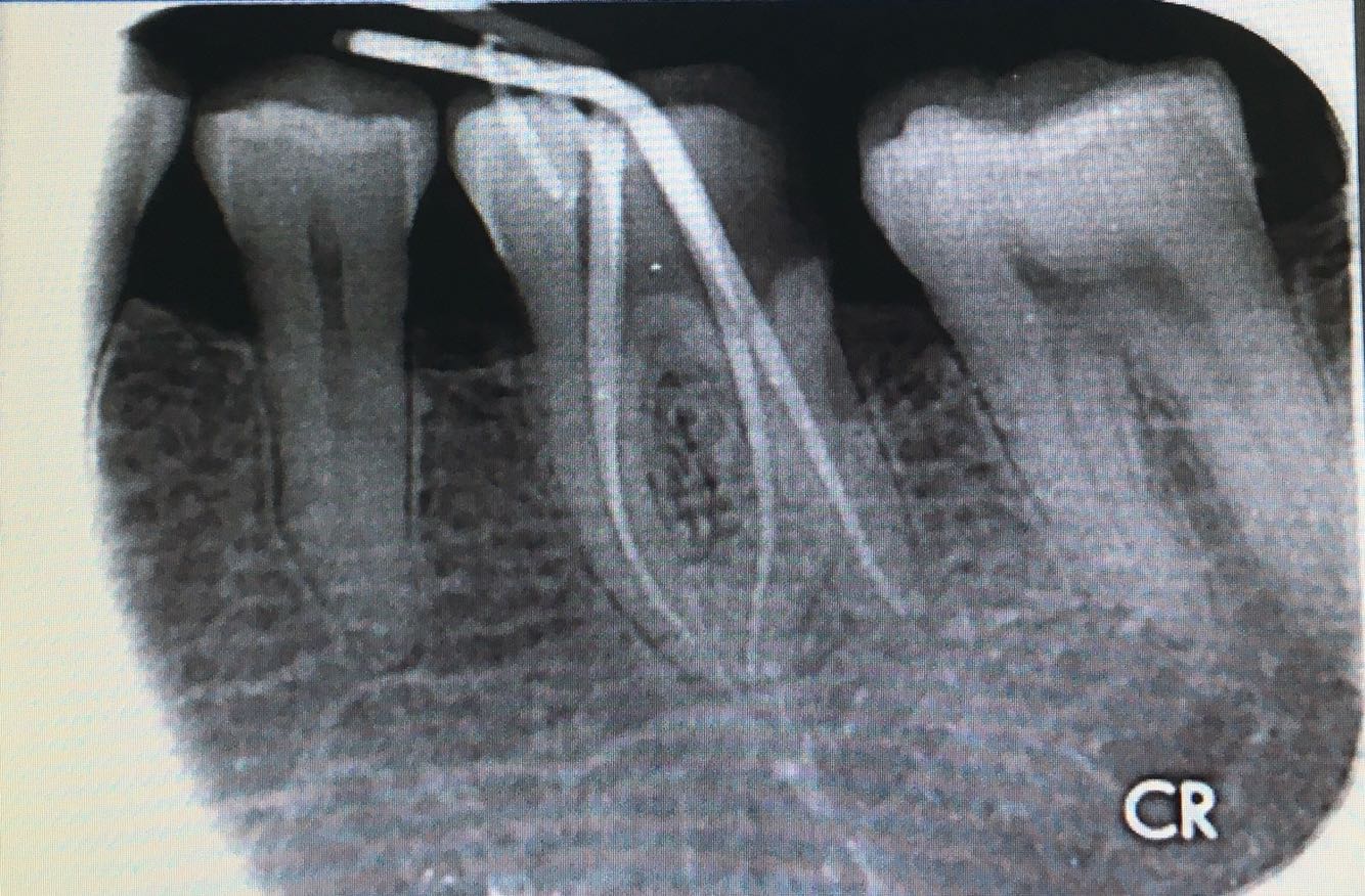
检查:左下 6 合面白色暂封物,冷测无反应,探(-) ,叩(-) ,不松,龈正常,根尖相应粘膜处无红肿及压痛。 X 片示:左下6冠部高密度充填影像与髓腔穿通,根尖周正常,髓腔无钙化,远舌根管弯向近中

诊断 处理

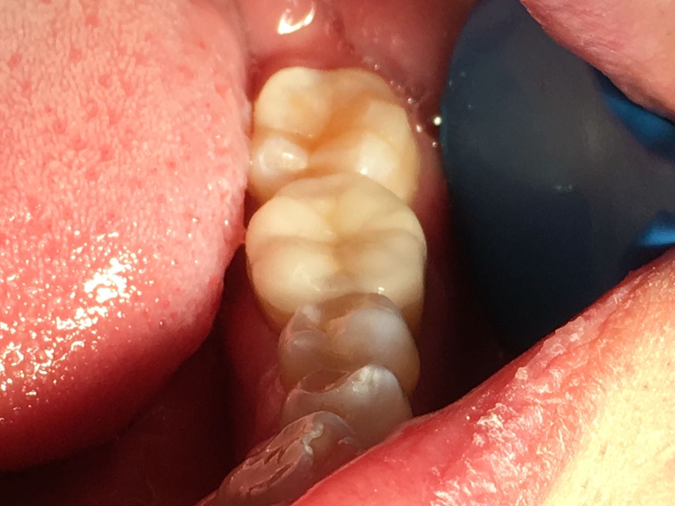
处置:左下6 去 ZOE,开髓孔无探痛,揭顶,拔髓,探及 M2D2 四根管,10#锉疏通各根管,测 WL: MB=19mm, ML=19mm, DB=18mm, DL=18.5mm, EDTA下,常规预备至F2,3%过氧化氢和0.9%生理盐水冲洗+超声荡洗根管交替进行。隔湿,干燥根管,氧化糊剂牙胶尖冷侧压充填,ZON暂封。嘱勿用患牙咬物。 2周后复诊,冷(一),叩痛(一),不松,牙龈无红肿,去除暂封物,牙体组织预备,流动树脂垫底填除倒凹,电子影像取模,送CAD/CAM制作高嵌体。 3日后复诊,嵌体配戴,调合,抛光,树脂粘接剂永久粘接。 患者对修复效果满意,交待患者使用注意事项。

随访 讨论

随着粘结技术的发展,以前只能用全冠修复的病例,现在也可用高嵌体进行修复,牙本质也能得到很好的保存。但是,由于陶瓷的抗压强度没金属高,所以设计洞型时注意不要让应力都集中到牙本质和瓷修复体上。 全瓷修复体的制备空间设计得当,可以增加临床成活率。由于粘接技术的应用,不必为了实现机械固位而要求箱型制备,而且箱型制备还会对瓷体设计造成不利影响。以牙齿的基本解剖形态轮廓为依据进行最小厚度制备,这就要求我们选用相应直径的车针。为了确保全瓷材料的支持力,合面窝的形态修整可以省去不做。如果不遵守牙体剩余组织最小厚度要求,那么修复体失败的几率便会大大增加。如果能及早发现禁忌症以及特殊牙尖制备不当的情况,那么修复预期会更好。

发布于 17-01-05 20:04

9 个评论

发送