下载或打开 医联APP 查看完整评论
立即下载
打开APP
主诉:右上后牙反复食物嵌塞数年,疼痛3月 现病史:患者自述右上后牙进食时反复发生食物嵌塞,近三月嵌塞现象明显,并伴有疼痛,进食食物嵌塞时疼痛明显,偶尔伴有剧烈疼痛,于我院就诊,要求治疗。 既往史:否认牙科治疗时,否认全身系统疾病史及药物过敏史
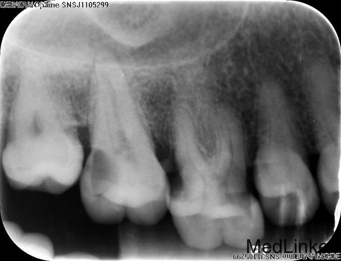
检查:#17和#18间,#17和#16间,#16和#15间食物嵌塞,探及龋损,于#17远中和#16近中尤为明显,深探时引起患者不适,但无剧烈疼痛,换牙无松动,患牙冷诊发生疼痛,并持续数十秒,#17远中和#16远中谈及深牙周袋,探诊出血。 对合牙尖高耸。 x-ray示#17远中,#16近中深龋损,近牙髓。

诊断:#17、#16慢性牙髓炎 治疗: 调磨对合尖锐牙尖 #17、#16碧兰麻下开髓,封三甲+OC球,ZOE暂封; 2周后复诊去暂封,清理髓腔及根管,双氧水和生理盐水交替冲洗清空根管,分别测WL,手动+镍钛锉预备各根管,拍片试尖达工作长度,根管内导入糊剂,侧压充填中下段,热牙胶充填上段,X线示恰填,GIC暂封。转诊修复科行冠修复。并行系统牙周治疗,拔除智齿。

反复食物嵌塞是导致邻面龋的重要原因,因在治疗时查明病因,去除食物嵌塞的原因,杜绝病因。 本例,为了减少食物嵌塞,选用调节对合高耸牙尖,拔除智齿的方案,同时在行冠修复时也应注意邻接的恢复,而由于牙周袋的形成可能造成水平食物嵌塞,故应该视牙周治疗的情况进行牙周手术消除牙周袋并嘱患者进行良好的口腔清洁。