打开应用

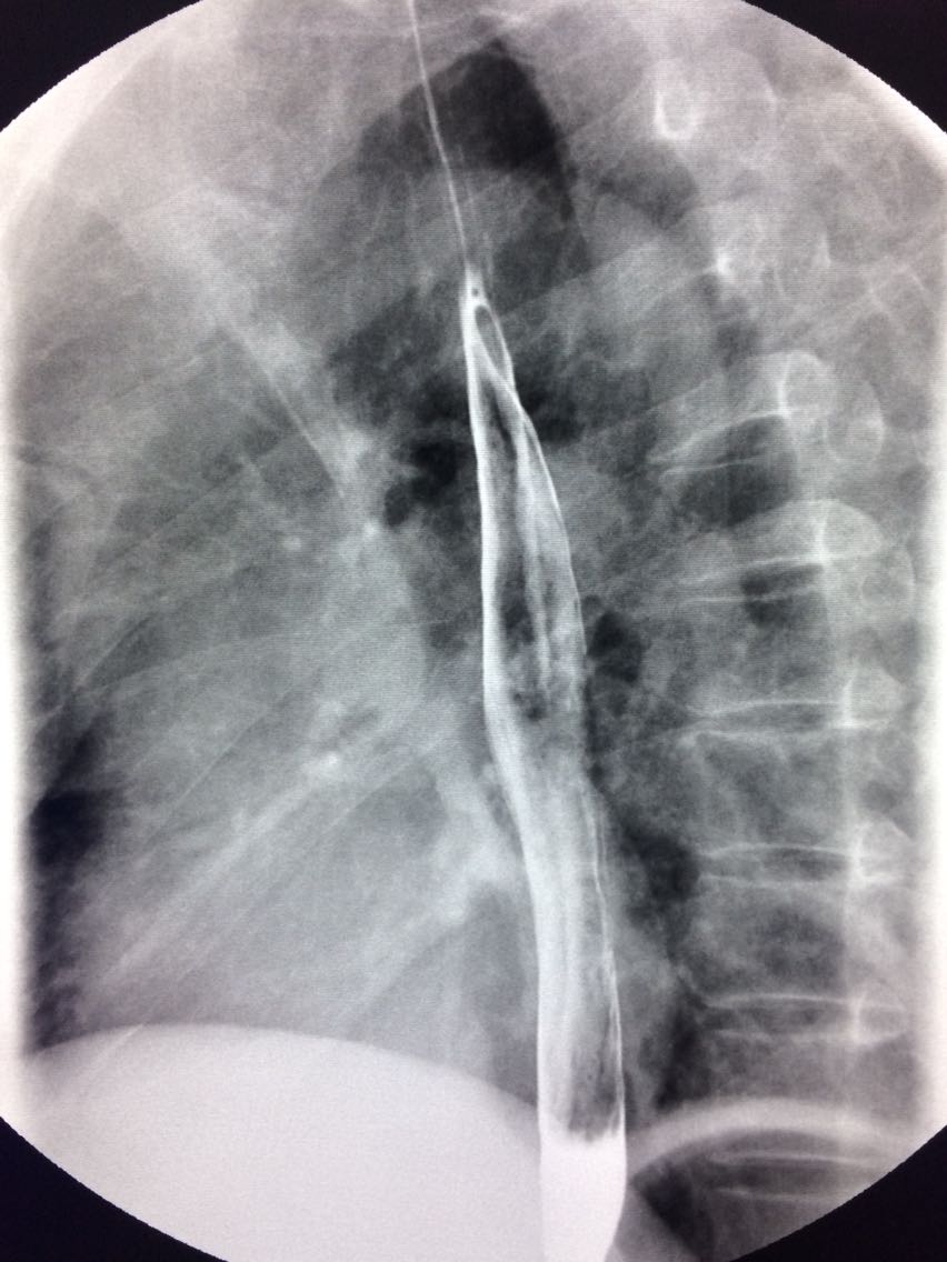
一例溃疡型胃癌。

陈医师   新乡市中心医院
胃溃疡 溃疡型胃癌 胃癌

主诉 病史

男,45岁 反复胃疼5年余。 5年来,反复出现胃疼,进食后半小时加重,经常感觉饥饿,当地按胃溃疡,给予阿莫西林,奥美拉唑治疗,具体不详,效果欠佳,遂入院,入院来,饮食睡眠,二便可。 既往体健。 入院上消化道造影如图。

查体 辅查

如图

诊断 处理

讨论,诊断及鉴别诊断? 胃溃疡的影像表现? 溃疡良恶性的鉴别? 入院后行胃大部切除术。 诊断,胃腺癌。

随访 讨论

定期随访, 胃溃疡具有周期性,规律性,餐后痛的特点。幽门螺杆菌感染为主。

发布于 17-01-01 08:23

8 个评论

发送