打开应用

小细胞肺癌脑转移

马医师   哈尔滨医科大学附属第四医院
肺转移癌 脑肿瘤 肺癌

主诉 病史

男,65岁,因“言语笨拙,左侧肢体无力加重一天”由门诊收入病房 既往史:老年男患,既往脑梗死病史,遗留左侧肢体无力,有冠心病,小细胞肺癌病史,否认高血压,糖尿病病史 现病史:该患者于入院前一日无明显诱因出现言语笨拙,自觉左侧肢体无力加重,不伴有头晕,不伴有恶心,呕吐,不伴有头痛,无视物双影,无视物旋转及视物模糊,不伴有饮水呛咳及吞咽困难,不伴有言语不清,不伴有耳鸣及听力下降,不伴有尿便障碍,不伴有抽搐发作,为求进一步诊治而来我院

查体 辅查

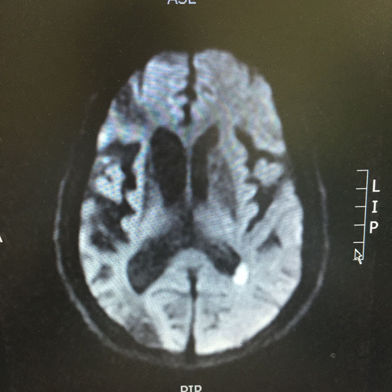
查体:血压110/70mmHg 神志清楚,言语欠流利,查体合作,双侧瞳孔等大同圆,对光反射存在,双眼活动自如,左侧鼻唇沟浅,伸舌居中,左侧肢体肌力4级,右侧肌力5级,肌张力正常,腱反射对称,双侧感觉对称,双下肢Babinski(+)Chaddock(+),颈强(-),克氏征(-) 头DWI示:左侧侧脑室后脚新发梗死。颅内多发占位性病灶,考虑转移瘤

诊断 处理

脑梗死,颅内转移瘤 给予改善脑供血,脱水降颅压,营养神经,脑保护对症治疗

随访 讨论

患者肺癌术后放化疗治疗,肺内原发灶较前变小。本次发病考虑癌栓子脱落导致梗死可能性大。

发布于 16-11-30 00:18

10 个评论

发送