打开应用

右上后牙根管再治疗一例

李医师   瑞泰口腔医院(成都)

主诉 病史

右上后牙根管治疗后要求修复

查体 辅查

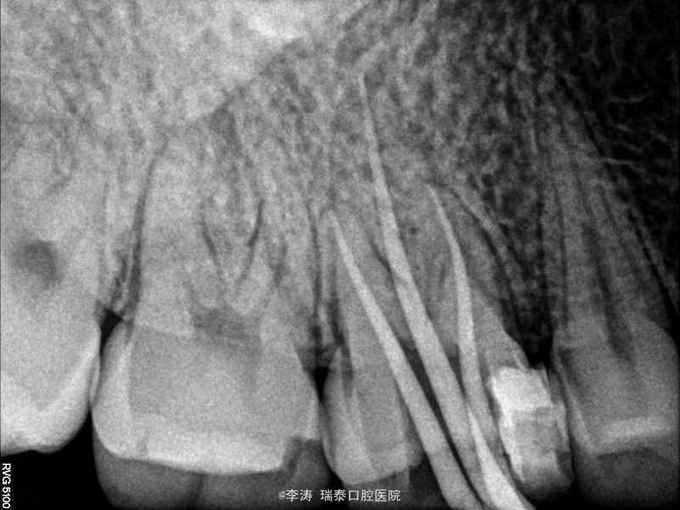
16牙合面大面积充填物,x线片根充不完善,根尖未见明显暗影

诊断 处理

行16牙根管再治疗,嵌体修复

随访 讨论

不知道大家有没有用TF,经常会觉得TF预备后的牙按它的锥度,牙胶尖老是下不去,但用k3或者protaper预备的根管确能按照针的锥度选择牙胶,是TF本身的问题吗?还是没有掌握预备方法?

发布于 16-08-29 19:35

5 个评论

发送