打开应用

Pilon骨折

刘医师   本溪市中医院
骨折

主诉 病史

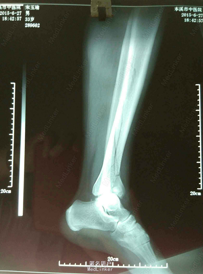
患者女33岁左踝刺痛活动受限5小时 ,患者5小时前擦玻璃时不慎从10米高处坠落伤后来诊。既往:健康。否认肝炎结核等传染病史。

查体 辅查

查:左踝肿胀严重,压痛(阳性),左小腿中段压痛。左下肢功能障碍。 足背动脉搏动清,足趾活动良好。 DR:左胫骨pilon骨折。

诊断 处理

左胫骨pilon骨折

随访 讨论

外固定支架固定。

发布于 15-08-16 21:02

2 个评论

发送