下载或打开 医联APP 查看完整评论
立即下载
打开APP
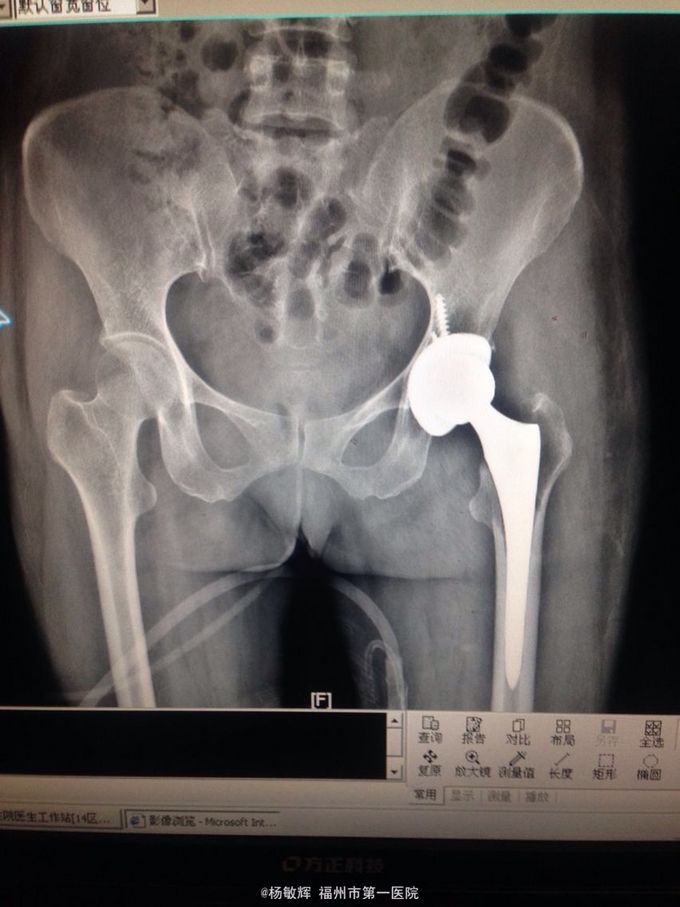
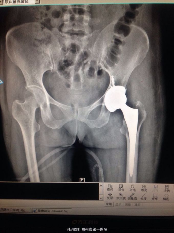
女性,48岁,以“左髋部疼痛伴活动受限2年”为主诉入院。缘于入院前2年无明显诱因出现左髋部疼痛不适,疼痛呈间歇刺痛,无向他处放射,伴左髋部活动受限,间歇性跛行,就诊当地医院查髋部X线提示:骨质破坏。MRI提示:左股骨头异常信号。当地医院诊断股骨头占位,未予以特殊处理,2周前疼痛加剧,就诊我院,查左髋部MRI提示:左髋部占位,骨巨细胞瘤可能性大。入院后于穿刺活检送病理,病理结果:左股骨头骨巨细胞瘤。拟:左股骨近段骨巨细胞瘤,收住院。





跛行步态,左髋部轻压痛、左腹股沟处压痛明显,左髋部活动受限,以内收为甚,4字实验(+);thomas征(-),trendelenbug征(-);左下肢缩短1cm,余四肢查体未见明显异常。
左股骨近段骨巨细胞瘤 入院后完善相关术前检查,未见明显手术禁忌症,行:左股骨近段占位切除+人工髋关节置换术

讨论:这种病历治疗方案。