打开应用

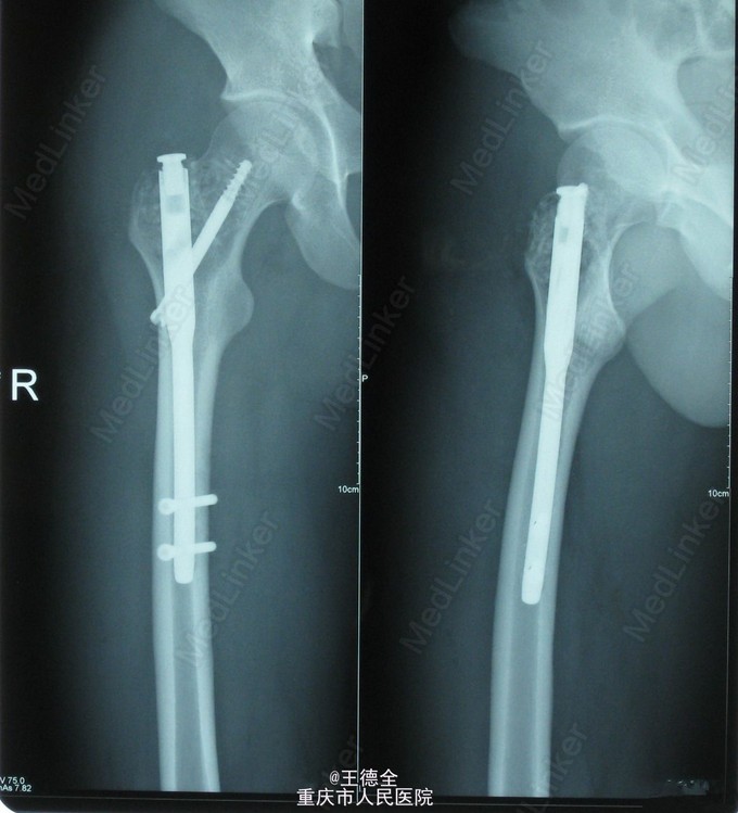
右股骨近端骨巨细胞瘤

王医师   重庆市中医院
骨巨细胞瘤

主诉 病史

患者男,21岁,因右髋部活动时疼痛3周入院,自诉既往无外伤史;查体:右髋部局部压痛,无红肿热痛,右髋关节活动可,右”4“字试验(+),右下肢肌力感觉正常。入院后完善相关检查,积极行病灶清除自体髂骨植骨伽马钉内固定术。

发布于 14-11-27 22:48

4 个评论

发送