下载或打开 医联APP 查看完整评论
立即下载
打开APP
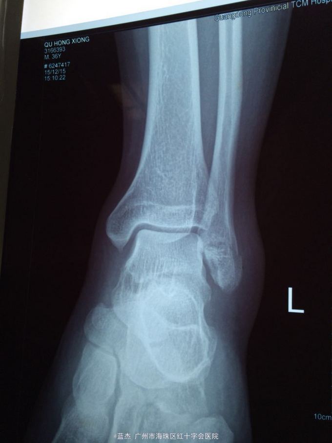
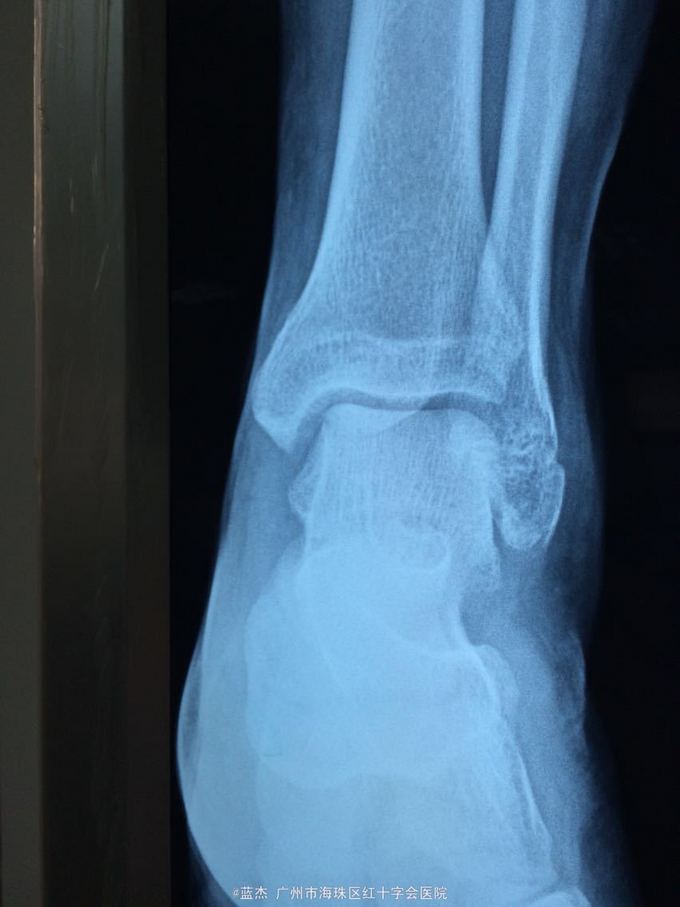
主诉:左踝关节疼痛肿胀伴有活动受限6小时。 病史:患者6小时前打篮球时不慎扭伤左踝关节,致使左踝关节疼痛,肿胀,伴有活动受限。遂到xx骨伤科医院就诊,接诊医生建议患者手术治疗,患者本人考虑到可以保守治疗,签名拒绝手术治疗后,遂来我院治疗,现见患者左踝关节外侧疼痛,肿胀,活动受限,无其他不适。
查体:左踝外侧压痛,左踝的背伸,跖屈功能可。

诊断:腓骨骨折 处理:外敷双柏散膏+小夹板固定,口服活血止痛汤7剂。每隔2天换一次药。

随访:一月后复查X片,骨折处对位对线良好,功能活动度可,肿胀消除,可正常下地行走,少许疼痛。行去除小夹板,继续外敷药+骨科外洗药治疗,7周后行走正常,疼痛基本消失。 讨论:请问各位医生,这种情况在大医院或者专科医院是不是一定要手术治疗?有些时候保守治疗的效果也是不错的。
