下载或打开 医联APP 查看完整评论
立即下载
打开APP
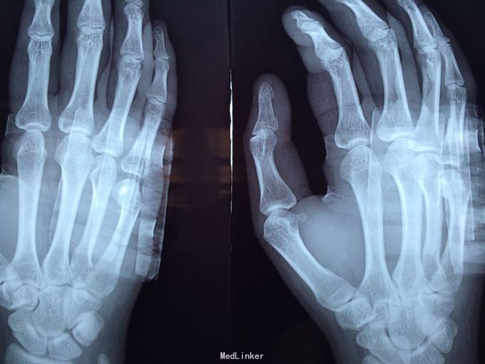
黄某某,男,29岁。 主诉:右掌第五节疼痛肿胀伴有活动受限2周余。 病史:患者16日前右手一拳打到墙上,致使右掌第五节疼痛,肿胀,活动受限,随即到骨伤科医院诊治,主诊医生拍X片后建议患者行手术治疗,但患者可虑到自己年轻,加上咨询了一些做医生的亲朋好友的意见,决定保守治疗。患者自诉当主诊医生听到患者不愿意做手术后,就建议行石膏固定治疗,当时就一个医生给患者进行手法复位,基本没有效果,但主诊医生照样行石膏固定。2周后遂来我院治疗,现患者右掌第五节疼痛,肿胀,活动受限,无其他不适。
查体检查:右掌第五节压痛明显,可扪及骨擦音,纵向叩击痛。

诊断:右掌第五节掌骨骨折(气滞血瘀) 处理:手法复位后行小夹板固定,口服接骨七厘片,5#/次,bid,隔两天换药。

1、骨伤科医院的主诊医生为什么在复位效果不佳的情况下还行石膏固定? 2、因为患者2周后才来本院复诊,重新手法复位的可能性比较小,所以效果不佳,可患者坚决不行手术治疗,接受小夹板固定。请问各位同行日后掌骨畸形愈合后,功能影响大吗?