下载或打开 医联APP 查看完整评论
立即下载
打开APP
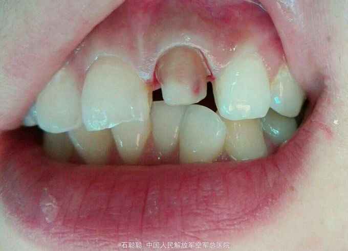
主诉:上前牙变色两年,要求改善牙齿颜色 现病史:诉两年前上前牙“变黑”,一年前该牙齿突发咬合不适,于外院行“根管治疗”,后无明显不适,自觉影响美观,来我科就诊 既往史:否认高血压、心脏病、糖尿病史,否认药物过敏史

检查:21牙体变色,切缘磨耗不均匀,舍面见牙色充填体完整在位,无松动,叩痛-,牙龈未见明显异常。 根尖片:21根管内高密度充填影像,恰填;12根尖远中见直径约3mm低密度透射影像 曲面断层:36、46残根,根尖低密度影


诊断:21牙体缺损 12慢性根尖周炎 治疗计划:21全冠修复 12根管治疗后全冠修复 处置:21备牙,取模,比色A3,制作临时冠,调合,粘接 一周后复诊: 检查:21临时冠完整在位,无松动,叩痛-,牙龈未见异常 处置:21去除临时冠,试戴银钯合金烤瓷冠,调合、磨光,粘接





讨论:根管治疗后的牙齿由于血红素分解产物进入牙本质小管导致牙体变色,尝尝成为患者就诊的主诉,这个患者由于两个上颌中切牙存在切缘不均匀磨耗,形态不对称,颜色纠正效果较好,龈缘密合,患者很满意。嘱患者择期治疗12其36、46。