下载或打开 医联APP 查看完整评论
立即下载
打开APP
打开应用
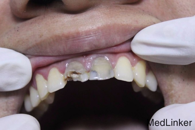
上前牙缺损变色的美学修复
泽雅用户
泽雅口腔门诊
主诉 病史
上前牙多年前曾治疗并充填,反复脱落影响美观,要求修复
发布于 15-10-22 13:31
医联推荐你看
变色上前牙修复
上前牙美学修复
前牙变色美学修复
共
0
个评论
暂无评论
发送
0