患者男,58岁,因“颜面水肿”于2011年9月至中山大学肿瘤防治中心就诊。行纵膈肿物穿刺活检,同时完善胸腹部CT、颅脑MRI检查后确诊A型胸腺癌并双肺、脑转移,后于当年9月及12月予CAP方案(CTX+THP+DDP)化疗4程,具体剂量不详。期间复查疗效评价SD后停止治疗,2013年1月复查头颅MRI示右侧颞叶转移瘤较前增大,遂于当年2月在军区总医院行Leksell-C型伽马刀手术治疗。2013年12月因出现反复咳嗽,多为刺激性干咳,改变体位后症状加重,并有胸闷、气促,胸部隐痛,期间发热1次,遂来我科就诊。




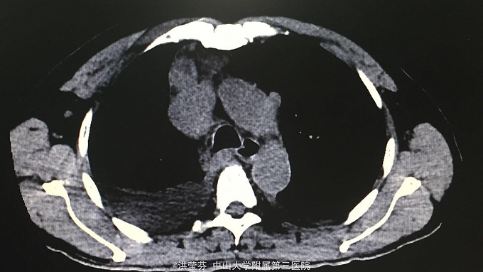
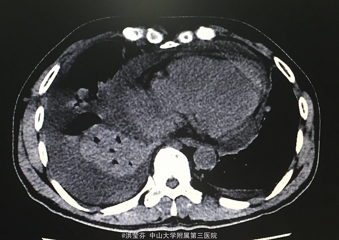
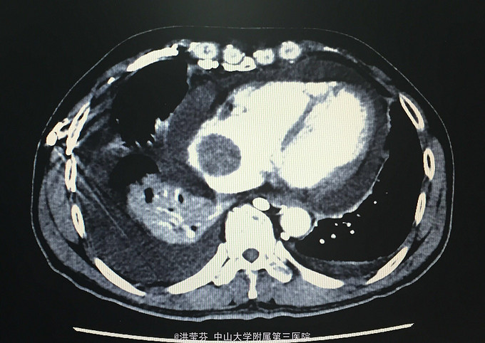
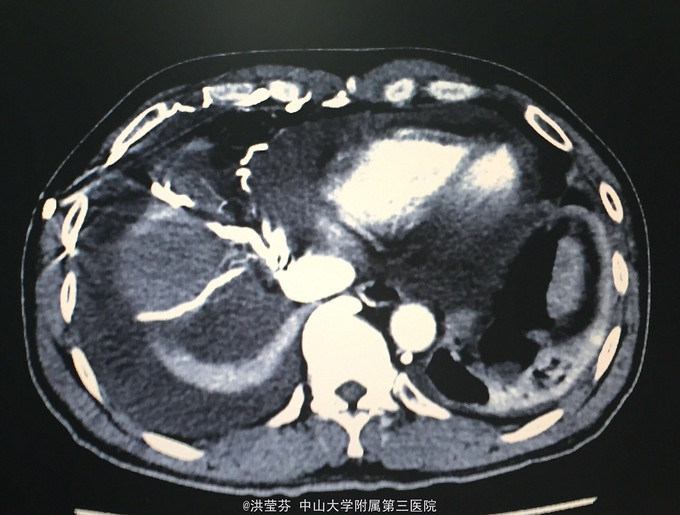
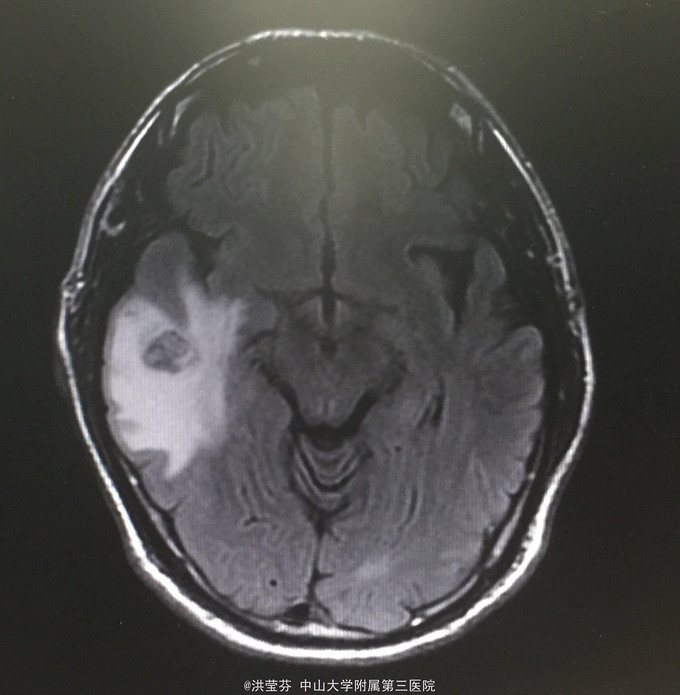
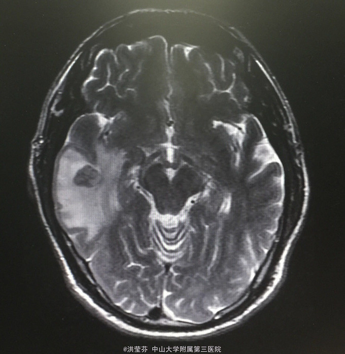
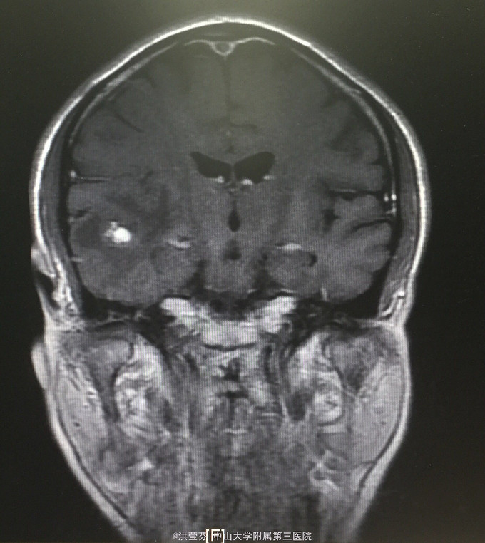
查体:KPS 60分,BSA 1.83m2,T 38.5℃,全身浅表淋巴结未触及明显肿大,胸壁可见浅表静脉曲张,呼吸急促,左下肺、右中下肺呼吸音明显减弱,其余肺野呼吸音促,可闻及少许实性啰音,心率110bpm,律齐,腹软,全腹无压痛、反跳痛,未扪及明显包块,肝脾肋下未触及,移动性浊音(——),肠鸣音正常,4次/分,双下肢无凹陷性水肿。 辅助检查:血常规无特殊,生化转氨酶稍升高,低钠低氯,CRP 227.9mg/L,凝血四项:Fib 8.14g/L。复查胸部CT提示:1.胸腺癌并纵膈淋巴结及双肺多发转移瘤,右心房、上腔静脉受侵并癌栓形成,病变较前进展。2.双肺炎症,以右肺为著。3.双侧胸腔及心包积液。上腹部CT提示:1.下腔静脉早显并肝表面多发侧支形成,考虑右心流出道阻塞所致;腹壁静脉曲张。头颅MR提示右侧颞叶强化灶,结合病史,考虑转移瘤,伴瘤灶少量出血可能,瘤周脑水肿。









入院诊断:1.A型胸腺瘤并纵膈淋巴结、双肺、脑转移,2.上腔静脉血栓形成(癌栓)。入院后予利尿、甲强龙减轻水肿和压迫治疗,“亚胺培南”抗感染治疗后咳嗽、气促症状较前明显缓解,提问逐渐恢复正常,后予CIK免疫细胞回输治疗。
同年12月18日开始予替吉奥1.0bid治疗,继续予CIK治疗。后患者出现反复全身水肿,查白蛋白不低,考虑与上腔静脉癌栓及右心房癌栓相关,考虑患者胸腺癌晚期,多发转移,无抗肿瘤指征,以最佳支持治疗为主,预后差