下载或打开 医联APP 查看完整评论
立即下载
打开APP
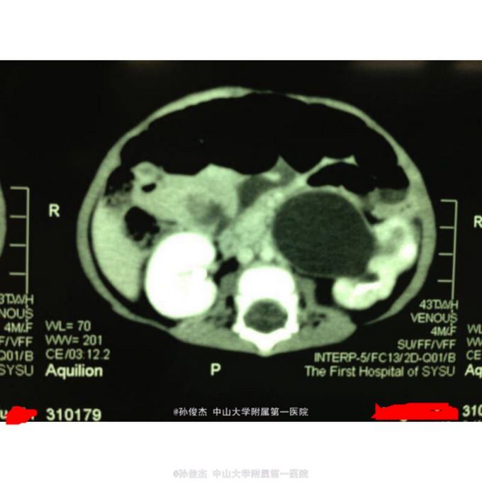
女孩,四个月。产前检查发现左肾积水,出生后超声随访逐渐加重,四月龄时至我院。
超声检查左肾积水5.9*4.3cm,ECT:左肾GFR26.8ml/min明显降低,右肾GFR59.8ml/min正常范围。CT示左肾积水,左肾盂输尿管连接处梗阻。


诊断明确:左肾盂输尿管连接处狭窄、左肾积水 在全麻下行离断式肾盂输尿管成形术。本人的手术方式特点是:开放,腰部切口仅1.5cm,不切断肌肉而采用钝性牵开,不穿破腹膜,完全不进腹腔,放大镜下6/0单股薇乔线吻合,根据情况放置或不放置引流。手术基本在1小时至1小时20分钟内完成。 术前无需肠道准备或留置胃管。术后当天麻醉清醒后即可进食,次日即可拔除引流管,可恢复自主活动。



肾盂输尿管连接处狭窄是小儿肾积水最多见病因。离断式肾盂输尿管吻合术是其金标准术式。 在腹腔镜和机器人时代,很多人可能认为我还在谈论开放手术很不合时宜。首先说本人也做各种小儿腔镜手术,比如腹腔镜胆总管囊肿切除等等,技术上对我来说不是问题。但对于肾积水本人一直还在坚持做开放手术,因为开放优势显而易见,切口仅1.5cm且在腰背部,无需要气腹,手术时间短,创伤小,术前无需插胃管,术后清醒后即可恢复饮食,花费少,效果也确实,完全不需要担心有尿漏入腹腔。 希望大家拍砖,给我多一点去选择腔镜或机器人的理由。