下载或打开 医联APP 查看完整评论
立即下载
打开APP
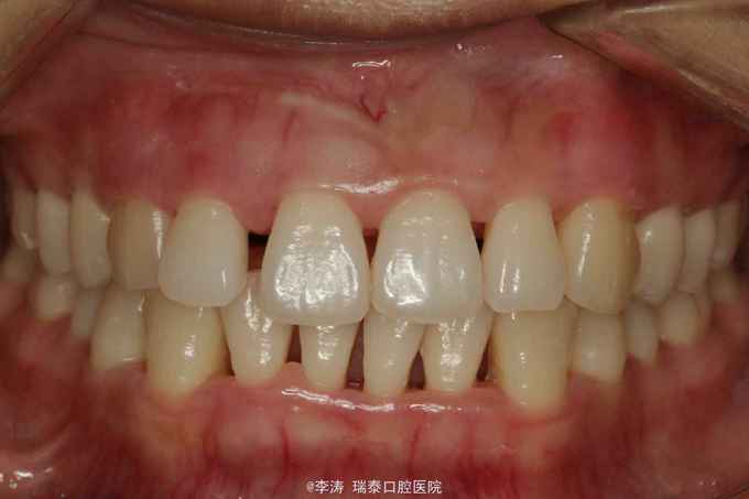
患者女24,主诉前牙缝隙就诊,自诉1年以前没有缝隙,现慢慢长大,刷牙出血
前牙间隙较大,全口牙龈红肿探诊出血,x线片,全口牙齿牙槽骨吸收至根中三分之一,牙周探诊示牙周袋深度均大于5mm

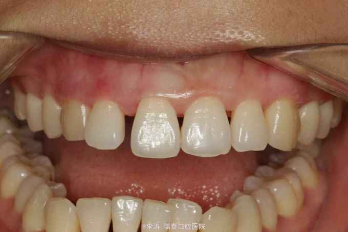
从症状和病史可诊断为急性牙周炎, 行全口洁治龈下刮治,牙周上盐酸米洛环素,一月后牙龈炎症消退,牙龈退缩使前牙可见明显间隙。


当发现牙齿出现缝隙时应该寻找原因,这么年轻出现牙周炎的概率还是比较小。 临外对前牙形成的间隙,不知道大家有什么办法关闭毕竟患者还太年轻