下载或打开 医联APP 查看完整评论
立即下载
打开APP
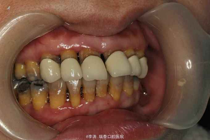
前牙烤瓷冠修复十年,现牙根暴露影响美观求治
13到24烤瓷冠修复,牙根暴露约3mm,黑三角明显,中位笑线,前牙松动不明显。 X线片11,12,13均吸收至根尖三分之一,21,22,23,24约根中三分之一,根尖未见明显暗影



患者因不考虑拔除后种植治疗方案,遂制作美学蜡形,患者接受,行上前牙根管治疗后11,12,13及21,22,23,24分别联冠修复 先行牙周基础治疗 牙周稳定后行13,12,11,21,22,23根管治疗。 接下来纤维桩,全冠修复


考虑到患者牙周炎的严重情况,虽然联冠能暂时防止前牙松动,但对该患者来说并不是很好的方案,不过当患者不愿意接受拔牙,又想改善美观时只能考虑使用此折中方案,当然还是应当注意定期维护。