男,14岁,20天前,患者坐在公交车上睡觉,睡醒后出现右侧腰骶部疼痛,疼痛可以忍受,当晚0:50分右侧腰骶部疼痛加重,影响睡眠,到当地医院急诊行CT检查示:L4/5椎间盘轻度膨出,L5/S1椎间盘轻度突出,建议MRI检查。给予口服药物后(具体药物不详)疼痛无缓解。18天前,患者至骨科医院诊治,给予针刺、局部注射(具体用药不详)等治疗后,患者当时疼痛缓解,几个小时后右侧腰骶部疼痛,仰卧屈膝时疼痛减轻,右侧卧时疼痛加重,不能久坐、久行,无下肢放射痛,无大小便失禁,今日来我科,门诊以“右腰骶部疼痛待诊,腰痛待诊,L4/5椎间盘膨出,L5/S1椎间盘突出”收入住院。患病前一周,患者有剧烈运动史,每天跑步、下蹲时感右侧髋部不适;追述病史,患者入院前2天,有夜间发热病史,体温在38°C左右,行物理降温后,体温可降至正常。
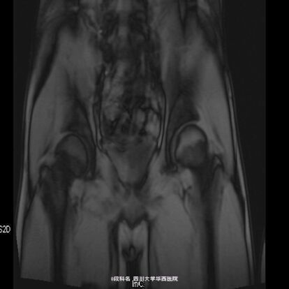
查体:右髋局部无红肿,有压痛,皮温不高,感觉无减退。右侧髋伸屈、外展、内收,因疼痛无法评测。右膝屈曲4级,伸膝3级,踝背伸、跖屈4级 。左侧肌力正常,肌张力正常。右侧直腿抬高试验40°(+),加强实验(+),右侧4字实验(+)。辅助检查:当地医院CT检查示:L4/5椎间盘轻度膨出,L5/S1椎间盘轻度突出,建议MRI检查。我院血常规示:血小板计数 425 10X9/L,白细胞计数 12.26 10^9/L,中性分叶核粒细胞绝对值 8.34 10^9/L。生化示:血沉53.mm/h,C反应蛋白(CRP)42.80mg/L。痰涂片抗酸染色(连续3次):未查见抗酸杆菌。免疫球蛋白A 4050.00 mg/L ↑ 免疫球蛋白M 2240.00 mg/L ↑C-反应蛋白 31.80 mg/L ↑。T细胞亚群正常。CD3细胞亚群 71.40 %CD4细胞亚群 37.00 % CD8细胞亚群 29.80 % CD4/CD8比值 1.24。痰培养示:产酸克雷伯氏菌 混丛,较多。结核抗体检测 阴性 。骨盆MRI示:右侧骶髂关节面骨质见斑片状长T2WI及长T1WI信号,关节间隙模糊、局部狭窄,邻近髂腰肌、梨状肌、臀肌群见斑片状T2WI高信号影。左侧骶髂关节及双侧髋关节未见确切异常。




诊断:1、右侧腰骶部疼痛待诊2、腰痛待诊3、L4/5椎间盘膨出4、 L5/S1椎间盘突出5、发热待诊
请各位老师看看。下一步的治疗及腰骶部及右髋疼痛伴发热的原因:结核?其他?