下载或打开 医联APP 查看完整评论
立即下载
打开APP
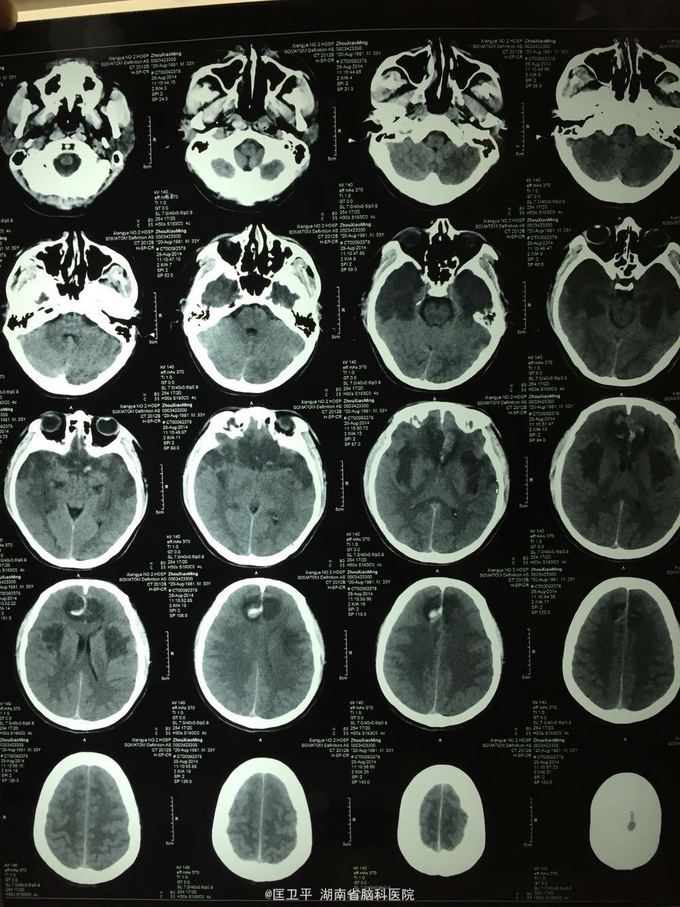
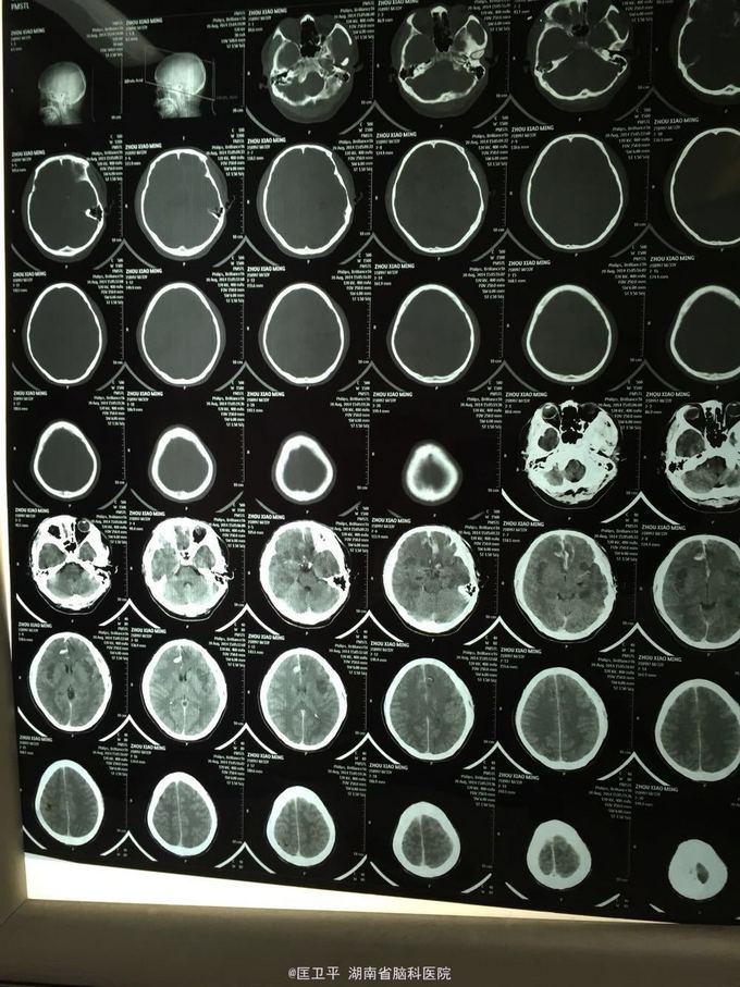
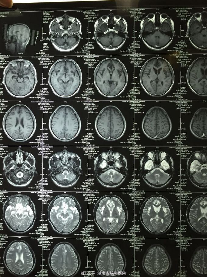
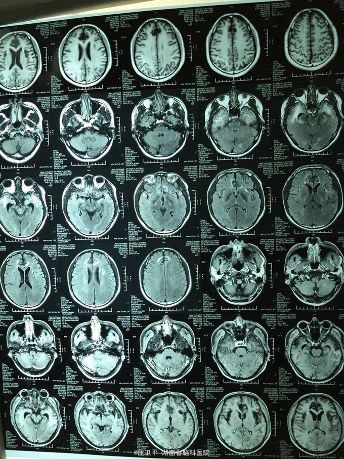
电击伤后智力低下,伤人毁物1年。 一年前在工地被电击伤昏迷,心跳呼吸停止,十几分钟后才有不规范的人工呼吸,持续约40分钟,心跳呼吸恢复。但患者智力低下,远近记忆很差,疑人害,伤人毁物严重,无法管理。








神清欠合作,五官无畸形,四肢活动正常,无神经定位体征。智能记忆很差,有被害妄想,有冲动攻击行为,无自知力,个人生活无法自理。
奥拉西坦,神经节䇞酯等护脑治疗; 丙戊酸镁、碳酸锂 稳定情绪; 奥氮平控制精神症状。 高压氧,经颅磁刺激治疗,心理治疗。
智力记忆恢复差,精神症状改善较好。