下载或打开 医联APP 查看完整评论
立即下载
打开APP
19岁少女,G0P0,因慢性下腹痛和严重痛经2年就诊 患者自诉月经期间痛经严重,但是没有胃肠道和泌尿生殖道的症状 过去两个月有服用口服避孕药和消炎药
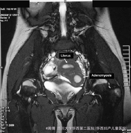
院外超声提示两个子宫腔,怀疑是双角子宫,但是左角梗阻 MRI提示子宫异常,子宫左前壁内膜内有一肿块 CA125水平正常

行诊断性腹腔镜,可见子宫右侧有一肿块,认为可能是阔韧带肌瘤或者退化的子宫角 手术切除肿块 切开肿块,其内有深褐色的内容物 宏观可见一个直径为3.5cm的不规则灰白色结节内,有一个直径为1.5cm的出血灶 病理提示囊腔为子宫内膜腺体和基质,提示为子宫内膜异位囊腔 术后患者痛经好转

卵巢子宫内膜异位囊肿形态上以圆形、椭圆形多见。由于其具有强烈的穿孔、破裂及出血粘连特性,出血时间的先后不等,血液刺激产生反应性的纤维组织增生。超声可协助盆腔肿块定位,区分卵巢囊性、囊实相间或实质性肿块。卵巢子宫内膜异位囊肿的MRI信号可表现为多种信号变化,其信号因出血的新旧、液态或固态血,纤维组织等改变。 其实这个病人术前怀疑是双角子宫,没诊断出是子宫内膜异位,临床上要术前诊断EMT还是主要结合症状来的。