打开应用

左肾输尿管结石伴对侧萎缩肾一例

何医师   成都市第三人民医院
肾结石 输尿管结石 肾萎缩

主诉 病史

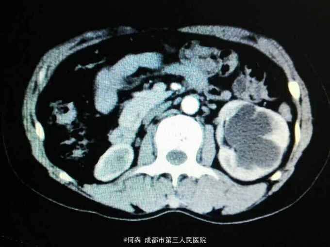
女性,52岁。因“发现肉眼血尿1天”入院,无尿频尿急尿痛无血凝块,无明显腰痛。既往无高血压病,糖尿病等

查体 辅查

左肾区轻叩痛。尿常规:白细胞72个/ul。CT见图片。左侧GFR42.27,右侧GFR14.46。

诊断 处理

左肾盂输尿管交界处结石 左肾重度积水,左肾结石,右肾萎缩,尿路感染。

随访 讨论

下一步治疗方案 1.左侧经皮肾镜碎石术? 2.左侧输尿管软镜? ?

发布于 16-01-08 19:47

6 个评论

发送