下载或打开 医联APP 查看完整评论
立即下载
打开APP
患者,男性,65岁。患者于1年前无明显诱因突发腰部疼痛,可自行缓解,无尿频、尿急、尿痛,无肉眼血尿,起病后未曾接受治疗。10天再发腰痛,于我院脊柱外科门诊就诊,X光片提示:不除外右输尿管上段结石可能。4小时前于我院泌尿外科门诊就诊,B超提示:双肾多发小结石,左肾结石最大为3×3mm,右肾结石最大为4×3mm,双侧输尿管未见扩张。为进一步诊治遂收入我科。


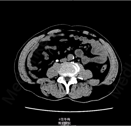
双肾区无红肿、隆起,左肾区叩击痛(+),右肾区叩击痛(+),左侧肋脊点、肋腰点压痛(-),右侧肋脊点、肋腰点压痛(-)。腹平软,左侧输尿管走行区压痛(-),右侧输尿管走行区压痛(-),膀胱区无膨隆,压痛阴性。 入院后完善相关检查,双肾CTU提示右侧输尿管上段结石、炎症;右肾实质萎缩、功能受损。核素肾动态显像提示右肾灌注、功能重度受损;左肾灌注、功能基本正常。



于2015-4-8全麻下行腹腔镜右肾切除术,术后补液对症治疗,病理提示右侧输尿管结石伴肾萎缩。患者术后恢复良好,予出院。
该例患者右肾萎缩严重,右肾功能严重下降,只能采取肾切除术。一粒看似不起眼的石头毁掉的可能就是一个器官,如何增强大众的健康意识,提高基层的医疗服务水平,是一个刻不容缓的事情。