打开应用

肺良性肿瘤

许医师   中日友好医院
肺良性肿瘤 肺肿瘤

主诉 病史

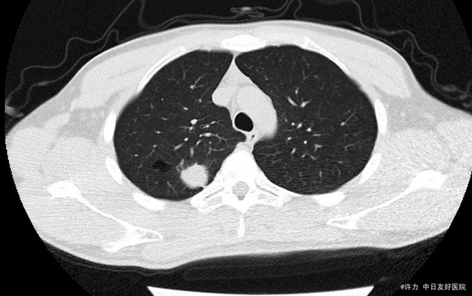
患者男,23岁,主因“肺良性肿瘤术后半月余复查”以“肺良性肿瘤”收入院。 患者诉2015年12月09日因右肺良性肿瘤在我院行胸腔镜右肺上叶楔形切除术,术后患者恢复良好,带胸腔引流管出院;今患者遵医嘱定期回院复查,我科以肺良性肿瘤术后复查收住入院

查体 辅查

无特殊

诊断 处理

肺良性肿瘤术后

随访 讨论

患者术后3周,胸引管有少量血性胸水引出

发布于 16-01-07 23:04

1 个评论

发送