下载或打开 医联APP 查看完整评论
立即下载
打开APP
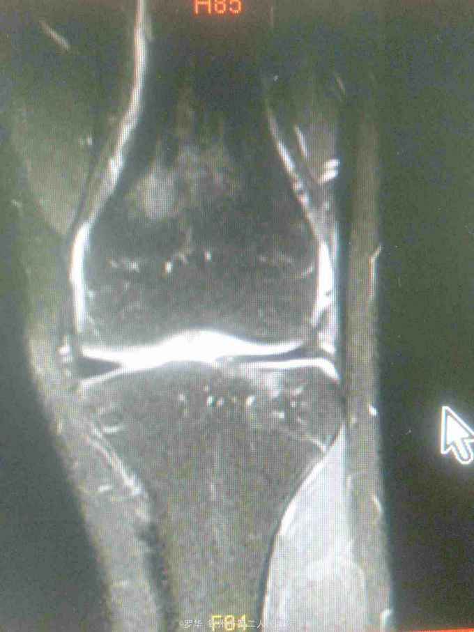
主诉:扭伤致左膝关节活动受限3月余。病史:患者男性,31岁,于入院3月余前扭伤左膝关节,致左膝关节肿痛、活动受限,尚可站立行走,但不能剧烈运动及重体力劳动,曾行磁共振检查提示左膝前交叉韧带损伤,半月板损伤,现为进上一步治疗入院。









查体:左膝关节无明显压痛,前抽屉试验阳性,侧方应力试验、麦氏征、研磨试验均阴性,膝关节屈伸活动可,余查体未见特殊。 辅查:膝关节磁共振提示左前交叉韧带损伤,左膝关节半月板损伤。









诊断:左膝关节前交叉韧带断裂,左膝关节半月板损伤。 治疗:予硬外麻下行左膝关节前交叉韧带重建术。









随访:术后三个月随访患者左膝关节屈伸活动可,无疼痛,上下楼梯,快速步行无疼痛感。 讨论:患者术后翻修率及对患肢运动限制。



