下载或打开 医联APP 查看完整评论
立即下载
打开APP
主诉:左膝前交叉韧带重建术后,要求取内固定 。 现病史:患者9年前运动时扭伤左膝关节,后出现左膝不稳、左下肢乏力。患者当时来我院就诊,诊断左膝前交叉韧带损伤,行左膝前交叉韧带自体重建术。患者自觉术后恢复良好,未规律行康复锻炼。2年前患者自觉左膝行走时偶有交锁伴疼痛。今患者为取左下肢内固定物来我院就诊。
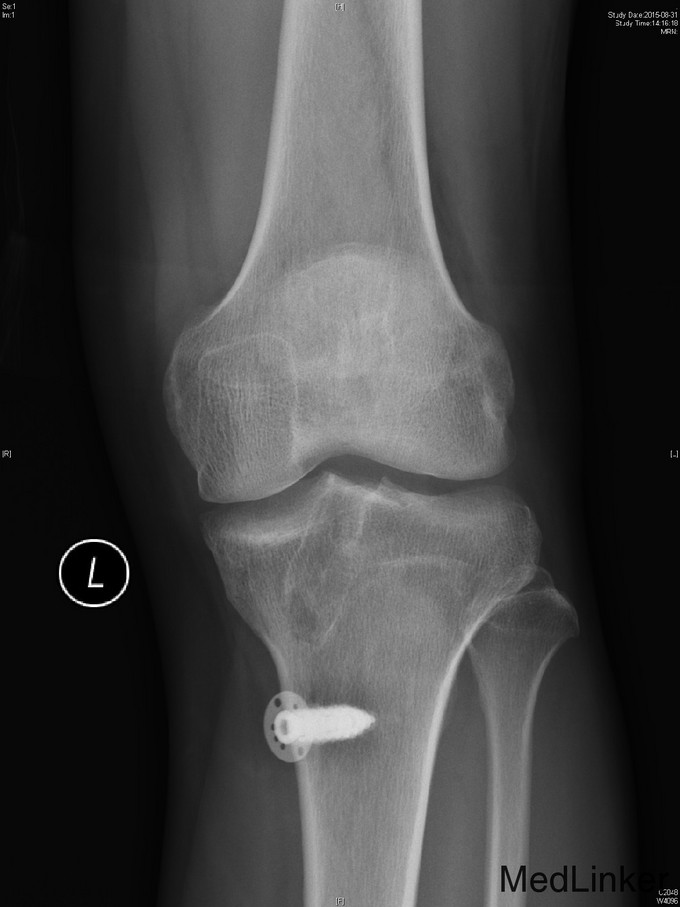
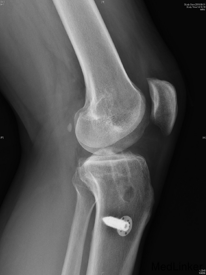
查体:右下肢、双上肢肌力及活动度正常。左股四头肌萎缩,肌力V-级。左膝关节无明显肿胀,关节ROM尚正常,关节过伸过屈时无疼痛。髌骨活动度正常,髌周无压痛。浮髌试验(-),压磨髌(-)。麦氏征(+)。关节间隙压痛(+)。ADT(+-),Lachman征(+-),侧方应力实验(-)。双下肢无明显感觉异常。 左膝X线示:左膝术后改变。 注:患者因体内内固定无法进行核磁共振检查,这也是患者强烈要求取出内固定的原因。


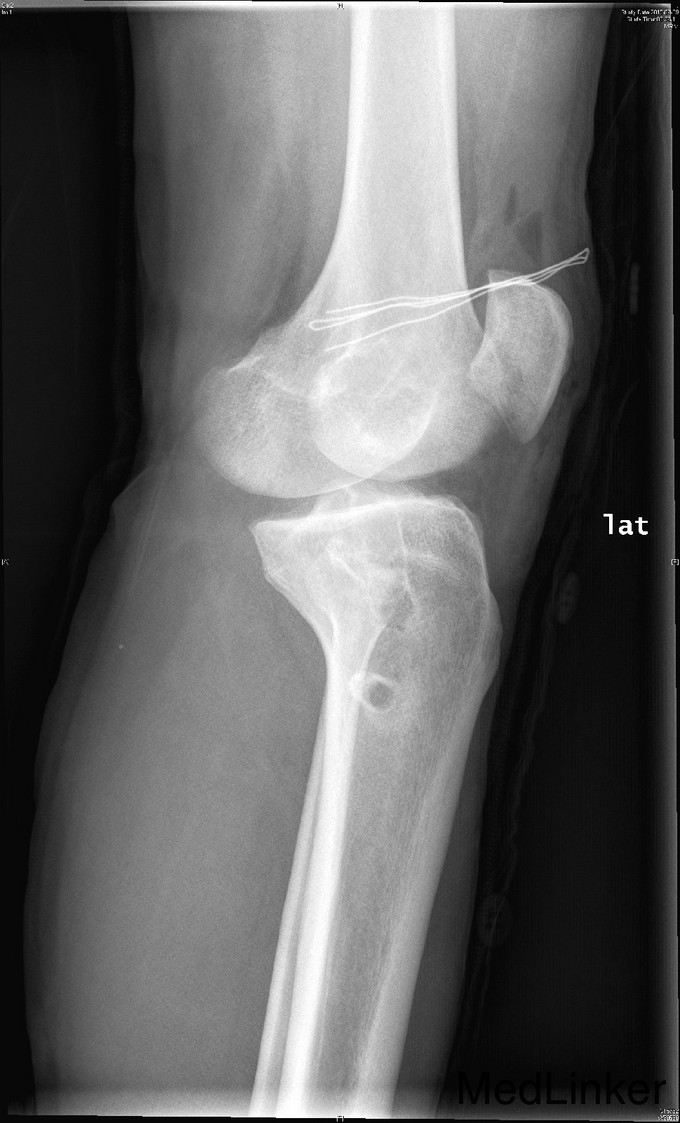
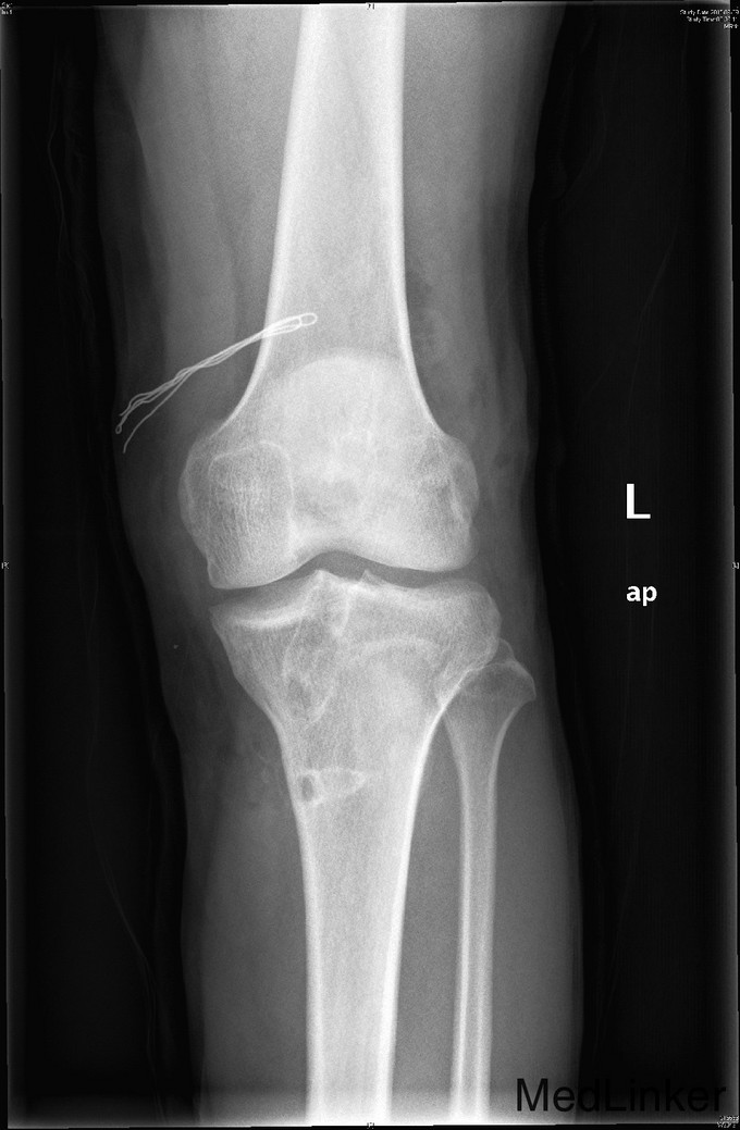
诊断:左膝前交叉韧带重建术后,左膝半月板损伤。 治疗:左膝内固定取出术+左膝关节镜下探查+左膝前交叉韧带皱缩+内侧半月板成形术






随访:患者术后扶拐行走2周。2周后活动度恢复正常,亦恢复正常行走。 讨论:该患者为前交叉韧带自体肌腱重建术后9年,难得有机会进行second look。术中发现重建韧带形态完整,但纤维松散,术前查体亦有松弛现象。术中予以紧缩处理后,术后松弛度明显改善。