打开应用

成人缺血缺氧性脑病1例

翟医师   中国医科大学附属盛京医院
缺血缺氧性脑病 缺血缺氧性脑病 脑病

主诉 病史

患者女,20岁,勒住颈部2分钟。既往无特殊病史。

查体 辅查

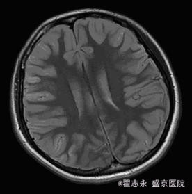
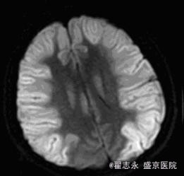
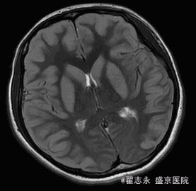
查体:昏迷,瞳孔等大,直径3.5mm,光反射迟钝。四肢疼痛刺激可见收缩反应。余查体不能配合完成。 头MRI的Flair及DWI如图。

诊断 处理

诊断:缺血缺氧性脑病

随访 讨论

新生儿缺血缺氧性脑病的早期表现有广泛脑水肿、颅内出血、皮质下及脑室旁白质损害、丘脑及基底节区和脑干背侧异常信号等; 晚期可表现为脑室周围脑白质软化症、分水岭区脑损伤等。而成人早期( 10 d 内) MRI 可表现为脑水肿、灰白质分界消失、大脑皮质层层状坏死、颅内出血; 晚期( 10 d~6 个月) 可表现为皮层下白质及深部白质脱髓鞘改变、选择性神经元坏死、广泛脑损害、脑萎缩。

发布于 16-01-07 11:23

9 个评论

发送