打开应用

肝炎后肝硬化失代偿期并发脑出血

翟医师   中国医科大学附属盛京医院
脑出血 肝硬化 肝炎后肝硬化失代偿期

主诉 病史

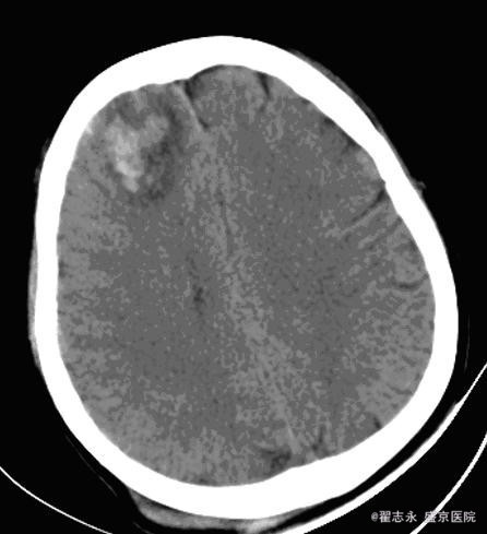
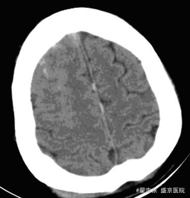
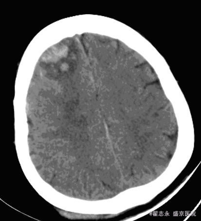
患者女,55岁。丙肝后肝硬化,全血细胞减少,白细胞计数,2.7*10^9/L,血红蛋白,54g/L,血小板计数,5*10^9/L。突然出现头痛。

查体 辅查

神经科查体未见确切阳性体征。

诊断 处理

2小时后突然意识不清,考虑再出血。后死亡。

随访 讨论

脑内出血的可能病因有高血压、动脉瘤、动脉硬化、脑动脉淀粉样变性、动静脉畸形、血液病等。 肝炎后肝硬化失代偿期并发脑出血, 临床症状多不典型, 如果不及时进行仔细检查, 易误诊为肝性脑病或电解质紊乱。肝硬化失代偿期并发脑出血, 发病前无前驱症, 病情进展迅速, 突然发生意识障碍, 出血量大, 病情危重, 病死率高。 发病机制, 可能与下列因素有关: 1、肝炎后肝硬化失代偿期肝功能贮备能力下降, 维生素K 吸收差, 凝血因子和凝血酶原合成障碍, 导致凝血功能下降。2、肝炎后肝硬化失代偿期大多数有脾功能亢进, 继发性血小板减少。3、肝炎后肝硬化失代偿期继发性醛固酮增高, 出现高醛固酮血症, 导致水、钠储留, 器官血流量增加, 内脏血管及全身血管扩张, 处于高动力循环状态, 血管承受的压力大, 易导致脑血管破裂。4、毛细血管脆性增加。 血液病所致脑出血,多位于脑皮层,可能为多处。且血肿不均匀。在血液病未纠正情况下,极容易再出血,再出血量大,死亡率高。

发布于 16-01-07 11:07

6 个评论

发送