下载或打开 医联APP 查看完整评论
立即下载
打开APP
5个月女孩,因阴道流血两天就诊 无特殊药物使用史和家族史
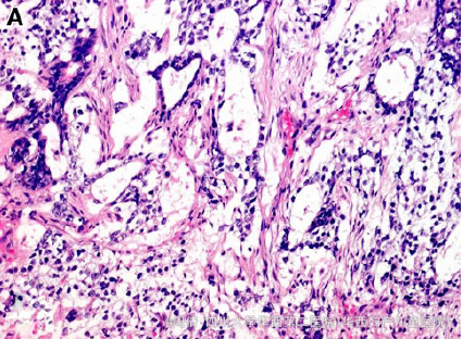
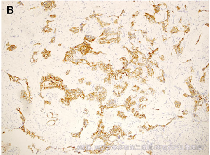
除AFP 5321ng/ml外,其余血液生化指标正常 超声提示阴道内有一肿瘤 MRI提示肿块大小3*4.5*3cm,分叶状,异质性 行活检,病理提示成片的立方形细胞排列成腺样结构,周围有疏松的粘液基质 免疫组化提示CK(AE1/AE3)强阳性 免疫组化提示AFP局灶阳性



病理为生殖细胞肿瘤,结合临床,初步诊断为卵黄囊瘤 行骨扫描,提示没有骨转移 患者接受三个周期的化疗后,行肿块切除术 术后行病理,提示仅有少量的癌细胞残留 术后又接受两个周期的化疗 完成治疗后,行MRI检查,提示盆腔无肿瘤残留 随访10个月,提示患者无肿瘤转移和复发
卵黄囊瘤是一类生殖细胞瘤。一般发生在卵巢,发生在卵巢外的少见。治疗方法通常为手术切除完全病灶,再辅以化疗。卵巢卵黄囊瘤是恶性程度很高的肿瘤。在VAC、PVB联合化疗应用以前,预后极差。自从VAC和PVB联合化疗问世以后,存活率明显改进。