打开应用

隐匿性骨折1例

魏医师   商河县中医医院

主诉 病史

外伤致左踝关节处疼痛。

查体 辅查

左踝关节处疼痛,压痛,未触及骨擦音。

诊断 处理

左后踝骨折。手术切开内固定。

随访 讨论

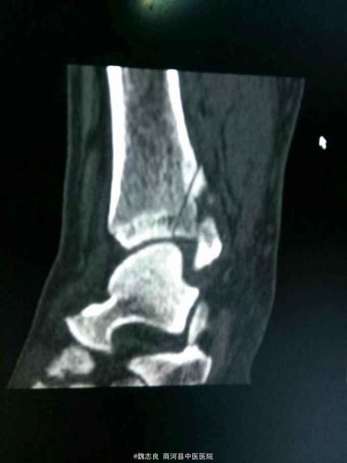
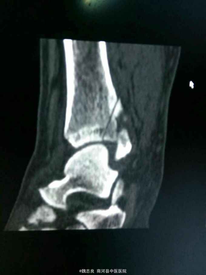
X线表现:正位像未见骨折征象,侧位像左外踝骨折。CT证实为内踝骨折。提醒我们关节内的骨折以及高度怀疑骨折的患者应该做ct检查,避免漏诊。

发布于 16-01-05 10:52

0 个评论

暂无评论
发送