男 ,84岁 ,主因“ 发现左肺占位1月余,腹胀2天 ”入院 现病史:缘于1月前,无明显诱因出现咳嗽伴胸闷、气喘,至太原市中心医院集团第四医院诊治,行肺部CT(2015.11.27):左肺占位性病变,左侧胸腔积液,左肺炎症。予以抗感染、祛痰、平喘,胸腔穿刺置管引流胸水,症状好转。外送胸水细胞学检查(山西省肿瘤医院2015.12.01):胸水:间皮细胞,淋巴细胞,另见一些核深染异形细胞,不除外癌细胞,建议试做免疫标记进一步确诊。免疫组化(2015.12.04):胸水:结合免疫细胞化学结果:Calretinin(-),Moc-31(+),CK5/6(-),CD56(+),cga(弱+),Syn(-),P63(-),TTF1(+),Napsin(-),考虑神经内分泌癌,倾向小细胞癌,请结合临床。遂考虑左肺癌,建议经皮肺肿物穿刺活检,患者及其家属未接受,症状好转出院。出院后,反复咳嗽、咳痰,2天前自觉腹胀伴纳差,咳嗽较前加重伴气喘,为进一步治疗,今来我院,门诊以左肺占位性病变收入我科。起病来,神志清,精神差,胃纳差,睡眠一般,二便可。








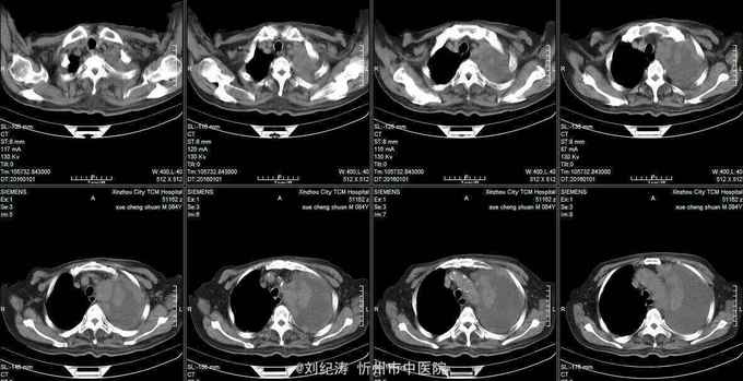
查体:ECOG评分:3分,生命指征平稳,浅表淋巴结未触及明显肿大,双眼睑无水肿,唇无发绀,颈软,双侧胸廓对称,左肺语颤增强,左肺呼吸音消失,右肺呼吸音粗,可闻及哮鸣音,心律齐,腹平软,肝脾肋下未触及,移动性浊音阴性,肠鸣音3次/分,双下肢无水肿。 辅助检查:血常规(2016.1.1):WBC:10.6*109/L,RBC:4.69*1012/L, PLT:165*109/L ,HGB:167g/L.生化(2016.1.1):谷丙转氨酶11U/L,谷草转氨酶11U/L,总蛋白60g/L,白蛋白33g/L,尿素:9.8mmol/L,肌酐:123umol/L,尿酸:251 umol/L,血糖:7.37 mmol/L;电解质:钾:4.79mmol/L,钠:123.5 mmol/L,氯:85.7 mmol/L,钙:2.03 mmol/L。肺部CT(2016.1.1):左肺完全萎缩,左侧胸腔大量积液,右肺未见异常,纵膈轻度右移,未见明显肿大淋巴结。







诊断: 1.左肺癌 左侧胸腔积液 左肺不张;2.2型糖尿病;3.低钠、低氯血症;4.低蛋白血症 治疗 完善检查,予以胸腔穿刺置管引流胸水以减轻心肺负荷,静脉给予抗感染、祛痰、止咳、平喘、提高免疫、扶正抑瘤、营养支持、调节电解质平衡及对症治疗。




现患者胸腔引流血性胸水2000ml,症状略有改善;为进一步控制胸水、控制肿瘤进展,拟行胸腔药物灌注,由于患者高龄,大家讨论下灌注什么药比较合适?另有无口服依托泊苷指征?