下载或打开 医联APP 查看完整评论
立即下载
打开APP
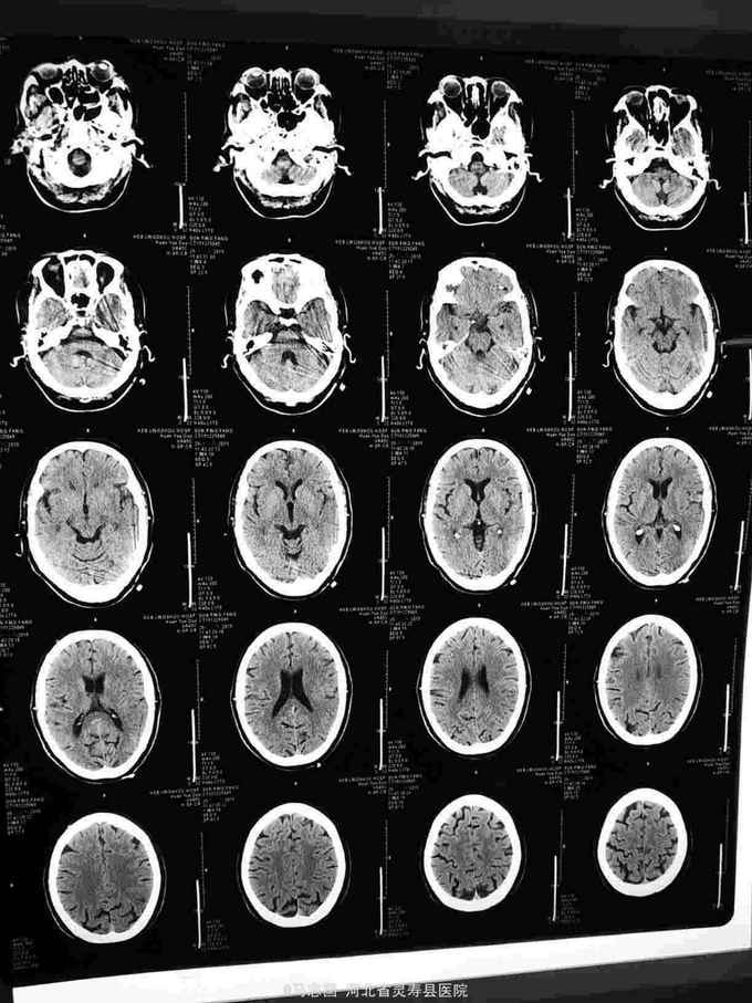
患者老年女69岁,高血压,糖尿病病史。主因意识不清2小时入院,患者缘于2小时前干农活时,突然意识不清,跌倒于地,右侧肢体抽搐,无恶心呕吐,当地未于治疗,急打120接入院,急诊测血压180/110mmhg,血糖14mmol/l,头CT未见明显异常,收入院

体温36.4℃,脉搏58次/分,呼吸19次/分,血压151/87mmhg,神志模糊,言语不能,眼动不配合,双瞳孔对光反射灵敏,双肺呼吸音清,未闻及杂音,心音低钝,左侧肢体可见活动,右上肢肌张力高,右巴氏征阳性。左巴氏征阴性。
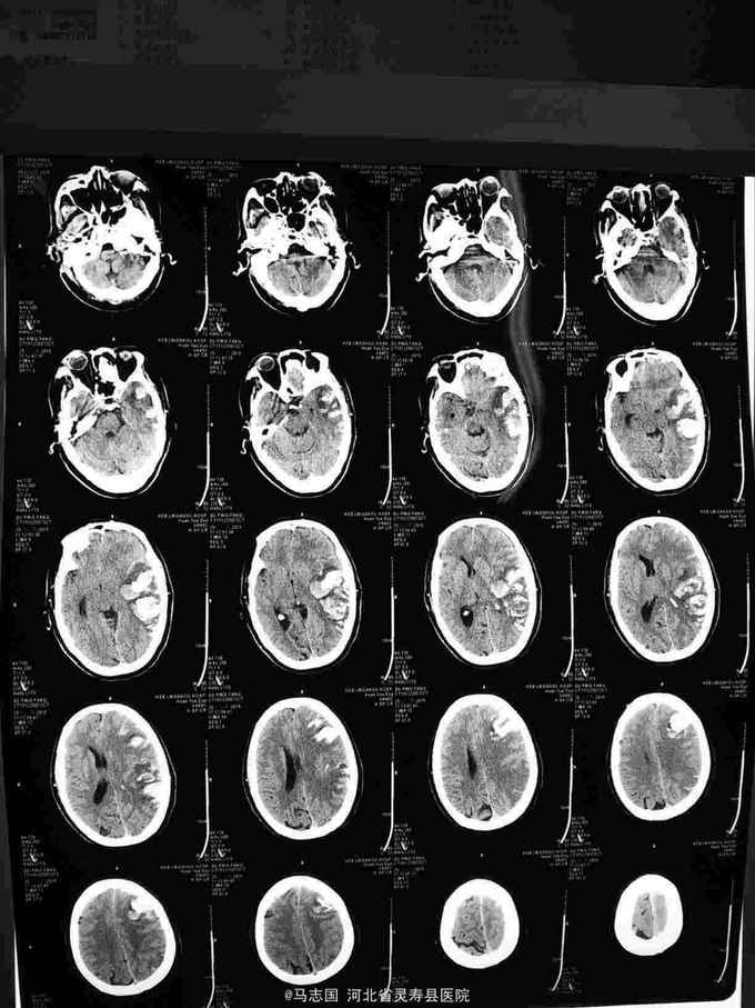
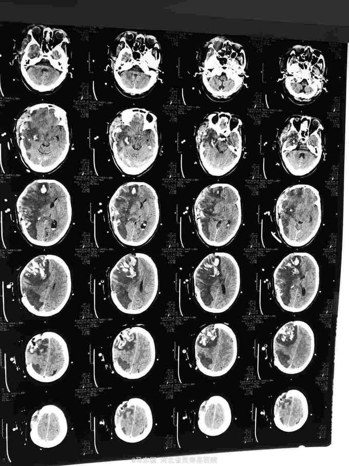
1. 晕厥待查?2. 高血压3级 极高危3.2型糖尿病,给你控制血压,稳定血糖,抗凝抑制血小板聚集,保护脑神经等治疗。入院5个小时后突然意识不清加重,伴恶心呕吐,双侧瞳孔不等大,急查头CT:左侧额顶大面积脑梗塞伴内广泛渗血及脑疝形成。紧急给予颅内血肿清除术,去骨瓣减压术。术后呼吸机辅助呼吸,脱水降颅压等治疗。


大面积脑梗死后,容易并发出血,早期CT未能显影,给予了低分子肝素钙及阿司匹林,大面积脑梗死病人早期还是不建议低分子肝素钙抗凝,尤其是在血压高的情况下,容易出血。