下载或打开 医联APP 查看完整评论
立即下载
打开APP
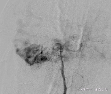
主诉:头痛加重3天 现病史:患者突发头痛,当时患者出现头部双侧太阳穴处胀痛,疼痛呈间断性,可忍受,伴有恶心呕吐感,完善相关检查,结果提示:动静脉畸形可能性大。现患者来我院进一步确诊治疗。患者现无意识障碍,无抽搐,无二便失禁,无恶心,呕吐。无视力视野障碍,二便饮食良好。
神经科查体:T:36.6度,P80次/分,BP120/80mHg,R:16次/分, 神清语明,查体合作,精神状态良好,定向力完整。双瞳孔等大正圆,D≈3mm,对光反射灵敏,眼球向各方向活动自如,眼位居中,无眼震。面纹对称,鼓腮、露齿面纹亦对称,无张口受限,伸舌居中,悬雍垂居中。四肢活动自如,肌力Ⅴ级,肌张力正常。深浅感觉检查未见异常。角膜反射(++),膝反射、肱二头肌及肱三头肌反射(++),双巴氏征(-),指鼻准确,双手轮替协调,Romberg征阴性。
诊断:颅内血管畸形 治疗:全麻下血管畸形介入栓塞术


术后好