1.患者老年男性,69岁,急性起病,以“头晕3天,加重1天”为主诉入院。 2.患者3天前无明显诱因突然出现头晕,偶有恶心未吐,无视物旋转及视物模糊,无耳鸣及听力下降,无肢体活动障碍。测量血压可达180/100mmHg,休息并服用1片开博通后可缓解。昨日晚10点头迷突然加重,伴视物旋转,无恶心呕吐,不敢睁眼及活动,测量血压180/100mmHg,休息后并口服1片开博通未见缓解。遂拨打120来我院急诊科,测量血压达200/110mmHg。给予对症治疗后头晕略见好转,现为求进一步诊治来我科住院。患者病来无意识障碍,无抽搐,无饮水呛咳及吞咽困难,无四肢活动障碍。无胸痛及气短,无腹痛腹泻。饮食可,睡眠尚可,二便正常。近期无明显体重变化。 3.既往史:高血压病史十余年,最高达200/120mmHg,平时硝苯地平控释片及厄贝沙坦片口服控制血压,血压稳定在150/90mmHg左右;否认冠心病、糖尿病病史;于今年6月份因头晕恶心呕吐在医大一院就诊,诊断多发腔梗,病情好转后出院;于今年10月份因头晕恶心呕吐来我科就诊,诊断椎基底动脉供血不足,病情好转后出院;否认手术外伤史,否认输血史,否认肝炎、结核等传染病史。 过敏史:否认药物及食物过敏史。 个人史:否认吸烟及饮酒史。 家族史:否认家族遗传病史。
T36.4℃,BP155/100mmHg,P60次/分,R17次/分。扶入病房,查体合作。全身皮肤粘膜无黄染及出血点,口唇无发绀,颈静脉无怒张,双肺呼吸音清,未闻及干湿性啰音,心音纯,律齐,未闻及病理性杂音。腹平软,无压痛及反跳痛,肝脾肋下未及。双下肢无浮肿,足背动脉搏动正常。神经系统查体:神清,语明,双侧瞳孔等大正圆,D=3.0mm,光反射灵敏,双侧眼球各方向运动充分,无眼震。额纹对称,闭目有力,双侧鼻唇沟对称,示齿口角不偏,伸舌居中。四肢肌力5级,肌张力正常,双侧指鼻试验稳准、跟膝胫试验稳准,深浅感觉粗查正常,BCR L++ R++,PSR L++ R++,Babinski sign L- R-,颈软。



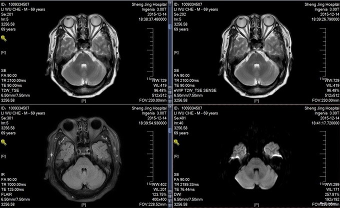
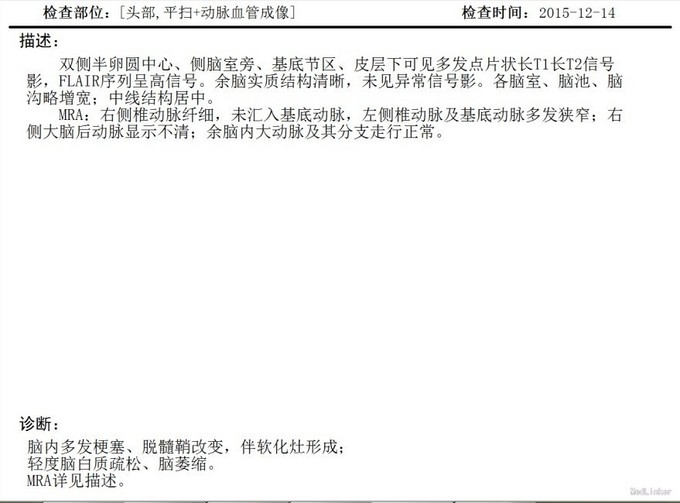
椎基底动脉供血不足 给予营养神经,改善循环,抗血小板,抗动脉硬化,抗氧化治疗,介入科会诊意见,该患者不适合手术治疗。
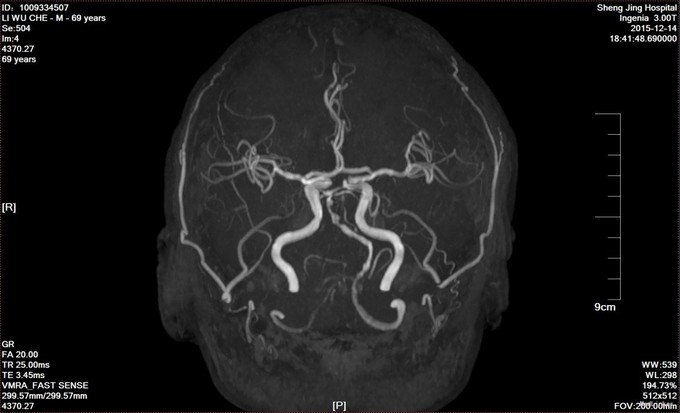
椎基底动脉供血不足是临床上常见疾病,但对于该患者,基地动脉狭窄明显,多次因头晕住院治疗,内科保守治疗效果有限,必定发展为急性脑梗塞,但介入对于后循环治疗尤其是基底动脉治疗风险非常大,对于患者的治疗有种束手无策的感觉,希望将来能够有更好的治疗办法。