主诉:左上后牙根管治疗后要求冠修复 现病史:左上后牙2周前于牙体牙髓科完成根管治疗术,现要求冠修复 既往史:体健,否认全身系统性疾病,否认药敏史,否认重大手术史及输血史,否认家族性遗传病史
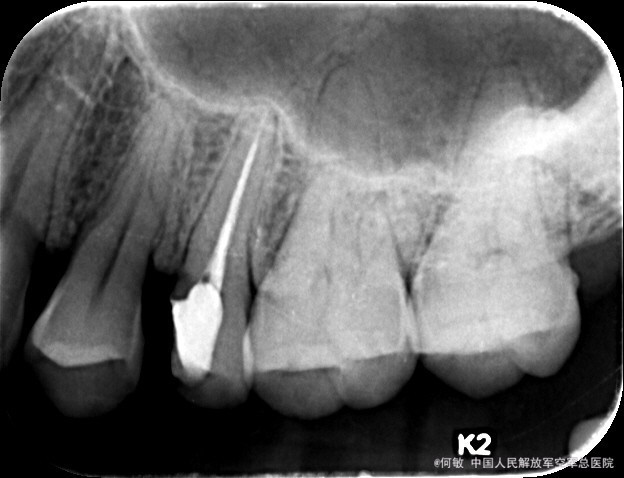
检查:25近中邻牙合面暂封完好,叩痛(-),牙体无松动,牙龈未见异常 X线示:25已根治,根充良好,根充物恰到根尖孔,根尖及牙周未见异常
诊断:25牙体缺损 治疗计划:25玻璃纤维桩+全冠冠修复 治疗:1.取局部印模,腭根根管桩道制备,置玻璃纤维桩,堆树脂核,固化,预备牙体,取模,比色:A3, 寄送加工厂,制备临时冠,试戴,调合,磨光,粘固临时冠 2.主诉:戴牙 检查:25临时冠完好,叩痛(—),牙体无松动,牙龈未见异常 处置:戴入25全冠,调节使就位顺利,与基牙密贴,冠边缘伸张合适,邻接恢复良好,调牙合,抛光,患者满意,玻璃离子水门汀粘固,嘱须知
随着根管治疗技术的不断完善及口腔材料的不断发展,越来越多的大面积缺损的患牙得以保留,桩核技术是恢复其形态和功能的重要方法。理想的桩核材料需要具备强度高、耐腐蚀、抗疲劳、操作简便等特点。 本病例为左上第二前磨牙的近中龋坏引发牙髓炎,进而进行了根管治疗术,大量研究资料表明,根管治疗的成功依赖于两大因素,即根管治疗的质量和冠部修复的封闭性。因此,在完善的根管治疗后,冠部的修复同样对于根管治疗后牙齿的长期保留起着决定性的作用。经过认真的口腔检查,结合RCT术后牙体缺损的范围和X线牙片,患者的需求,综合分析判断患牙的保留修复方案,推荐使用玻璃纤维桩树脂核配合全冠修复。 玻璃纤维桩因其良好的生物相容性、优越的美学性能及与牙本质接近的弹性模量,能有效缓解牙本质的应力集中,且抗腐蚀、易操作、不影响医学影像成像,在临床逐渐得到推广。需要注意的是临床操作中应严格把握适应症,预备根管过程中切忌过度预备,造成根管壁薄弱,易致牙根折裂。



