患者男,55岁,退休工人,主诉:进行性声音嘶哑4月余。既往史无特殊,否认冶游史,否认硬下疳、玫瑰疹等皮肤病史。否认家族性遗 传病病史。
查体:体温36.5℃,心率80次/min,律齐,血压130/80mmHg,双上肢血压相同。心前区无隆起,心尖搏动增强,心浊音界向左下方略扩大,主动脉瓣区可闻及收缩期3/6级隆隆样杂音。无心包摩擦音,未及水冲脉等周围血管征。 辅助检查:血甲苯胺红不加热血清试验(TRUST)1∶128+,血梅毒螺旋体颗粒凝集试验(TPPA)+。脑脊液TRUST、性病研究实验室试验(VDRL)阴性。血压、血脂、免疫指标、肿瘤标志物、红细胞沉降率、C-反应蛋白未见异常,G试验、结核抗体(-)。患者的妻子及其他家庭成员:梅毒血清学及HIV均阴性。心超:升主动脉远端及主动脉弓起始部瘤样扩张,主动脉壁粗糙,轻度肺动脉高压伴三尖瓣返流。全主动脉CTA:升主动脉及主动脉弓见多发瘤样膨出,扩张管径分别为49.1、33.9和19.2mm,全主动脉管壁内见软硬斑块,部分见钙化影。


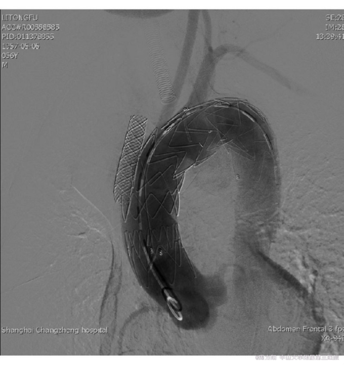
根据患者进行性声音嘶哑,心脏杂音,主动脉造影的动脉瘤的部位、形态均符合梅毒性主动脉瘤的特点,梅毒血清学试验阳性,故诊 断为“梅毒性主动脉瘤”. 治疗:患者青霉素皮试阳性,故予头孢曲松第1天0.2g,第2天0.4g,第3天0.8g,第4天起2g/d,共2周,治疗前1天开始予泼尼松10mg2/d,口服,共3d,并控制血压、血脂,抗血小板聚集。后于血管外科行血管支架植入术。

术后6个月后随访,声音嘶哑无复发,复查血清TRUST试验下降至1∶32,主动脉CTA:血管支架植入术后改变,支架植入处血管瘤消失。患者梅毒损害累及心血管系统属于三期梅毒,属于梅毒远期并发症,同时三期梅毒还常表现在神经、胃、眼、耳受累及树胶肿损害等。1009-7708(2014)05-0415-05