打开应用

智齿

刘医师   中国医科大学附属第四医院
牙髓炎 阻生齿

主诉 病史

主诉:左下后牙疼痛不适数日 现病史:数日来,患者左下后牙疼痛不适影响进食睡眠来诊。 既往史:健康 过敏史:无

查体 辅查

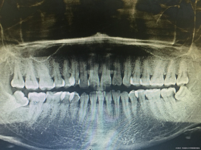
临床检查:37远中邻面龋坏,探疼(+),冷(++),叩(-),松动度(-),牙周正常. 38阻生齿未完全萌出。 辅助检查:X线示37龋坏累积髓腔,38近中阻生。

诊断 处理

诊断:37牙髓炎,38阻生齿。 治疗:经患者知情同意后,37局麻去腐降牙合,开髓拔髓寻找根管口,建立直线通路,扩通根管,确定工作长度。vdw/EDTA凝胶镍钛器械,低浓度次氯酸钠冲洗根管,预备至25/06,氢氧化钙诊间封药,一周后复诊,试主尖X线示恰充,试干根管,导AH-PLUS糊剂,VDW热压胶垂直加压根充,术后见根管恰充,暂封调合抛光。择期拔除38.

随访 讨论

患者术后无不适感。

发布于 15-12-31 22:36

6 个评论

发送