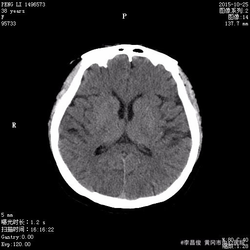
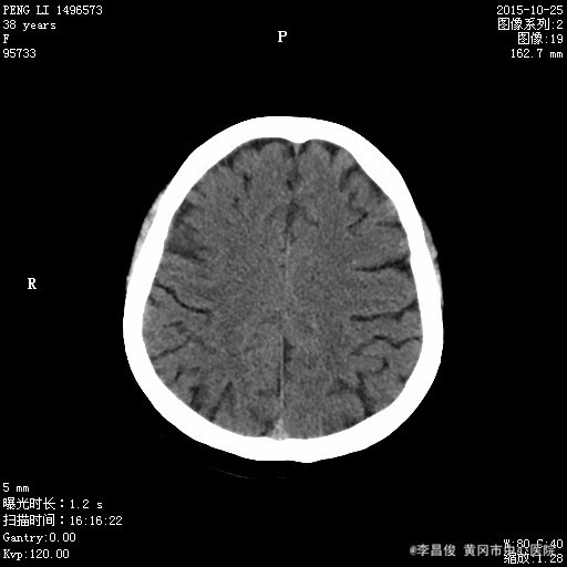
患者,女,38岁,2015年10月25日中午十二时赴酒宴时突发意识障碍,四肢抽搐,口唇发绀,双眼向上凝视,持续约十分钟后人意识逐渐清楚,伴恶心呕吐数次,遂急送我院120,行头部CT:脑萎缩,建议结合临床必要时行MRI检查,并以"癫痫"收住我科。 起病来,患者精神食欲睡眠差,大小便正常,体力下降,体重未有明显改变。 既往胃溃疡病史,有多次摔伤史,每天饮啤酒4-5瓶,饮白酒一斤;饮酒20年,每天吸烟20支,20年。
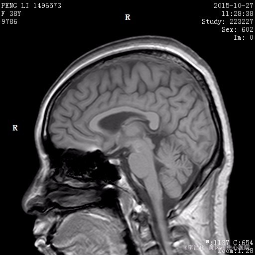
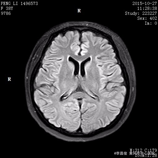
体格检查:BP130/90mmHg、 HR90次/分、 R16次/分, T36.5℃ 神清,精神欠佳,步入病房,查体合作。全身皮肤巩膜无明显黄染,结膜充血,全身多处淤青。颈软,甲状腺未及,双肺呼吸音清,未闻及明显干湿啰音,心律齐,各瓣膜区未闻及明显病理性杂音,腹软,肝脾肋下未及,双下肢不肿。 专科情况:神清,双侧瞳孔等大等圆,对光反射灵敏,四肢肌力肌张力正常,双侧病理征阴性,四肢有震颤。 辅助检查结果: 2015.10.25 头部CT:脑萎缩,建议结合临床必要时行MRI检查。2015.10.27 头部MRI:1.脑白质疏松;2.小脑萎缩;3.筛窦炎。 2015.10.26 血常规:白细胞 9.08*10^9/L,红细胞 3.47*10^12/L,血红蛋白 132g/L,血小板 88*10^9/L,中性粒细胞比率 92.2%;肝肾功能血糖血脂电解质:谷丙转氨酶 65.1U/L,谷草转氨酶 139.4U/L,尿酸 644.2umol/L,葡萄糖 8.16mmol/L,总胆固醇 9.93mmol/L,高密度脂蛋白胆固醇 3.87mmol/L,低密度脂蛋白胆固醇 4.86mmol/L,同型半胱氨酸 58.21umol/l;肌肉酶谱:磷酸肌酸激酶 309.1U/L,乳酸脱氢酶 397U/L;




慢性酒精中毒:酒精依赖 继发性癫痫? 补充大剂量B族维生素、护胃、护肝及对症治疗
患者神清,精神可,未再发癫痫,无妄想和幻觉;持续大量饮酒的酒精依赖患者在戒酒3-5天后可突发震颤谵妄,需及时观察患者病情变化,必要时给予对症处理。