下载或打开 医联APP 查看完整评论
立即下载
打开APP
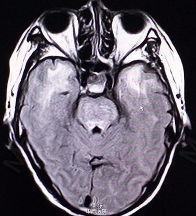
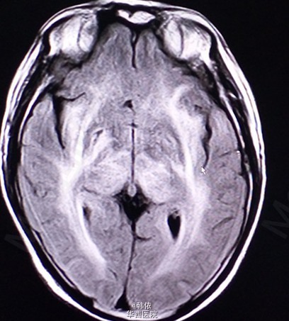
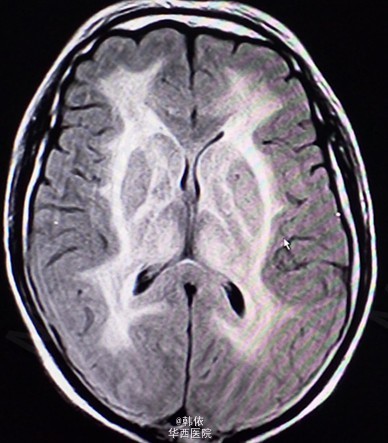
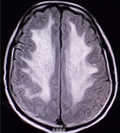
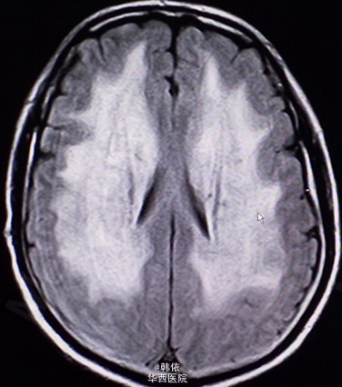
原创:青年男性,因“反复突发意识障碍1+月”入院,1+月前,患者感冒后突发意识障碍,呼之不应,随之出现四肢抽搐,双上肢屈曲、抽搐,双下肢强直,双眼向上凝视,牙关紧闭,小便失禁,无口吐白沫等,持续10+秒后意识恢复,不能回忆,急诊入当地医院治疗,行脑脊液、头部增强MRI等检查,考虑“痫性发作,病毒性脑膜炎”给予降颅内压、抗病毒等治疗,患者住院过程中出现一次右下肢抽动及多次小便失禁,治疗过程中感头部昏沉感,呈持续性,并出现饮水呛咳,治疗效果欠佳。既往患有高血压2+年,未治疗。长期农药接触史2+年。查体:神清,对答切题,高级神经活动正常,双瞳孔等大等圆3mm,对光反射灵敏。四肢肌力肌张力正常,左侧病理征(+),右侧病理征(-),余无特殊。辅助检查:头部MRI示:双侧基底节、双侧丘脑、脑干、双侧小脑及双侧侧脑室旁、双侧半卵圆中心对称性信号异常,考虑中毒性、代谢性疾患可能(见下图)。




