下载或打开 医联APP 查看完整评论
立即下载
打开APP
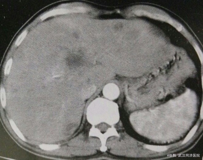
患者,男,60岁。 主诉:乙状结肠癌术后一年半,消瘦,纳差半年
查体:肝大,压痛 辅检:甲胎蛋白正常,CT示全肝广泛性不均匀低密度影,灶内见更低密度影,扫描动脉期肿瘤不规则强化,境界清楚,中央密度低,静脉期和实质期病灶强化消退呈现”牛眼征。“


诊断乙状结肠癌术后肝转移 建议行全身PET扫描,拒绝,行保守治疗
继发性肝癌占肝癌的相当大部分,大多为多发性结节,临床以原发癌表现为主,少数可仅有继发性肝癌的征象如肝肿大、肝结节、肝区痛、黄疸等。除个别来源于胃、结肠、胰的继发性肝癌病例外,血清AFP多呈阴性,CT显示为乏血供。根据AFP,原发癌病史及CT可诊断。