下载或打开 医联APP 查看完整评论
立即下载
打开APP
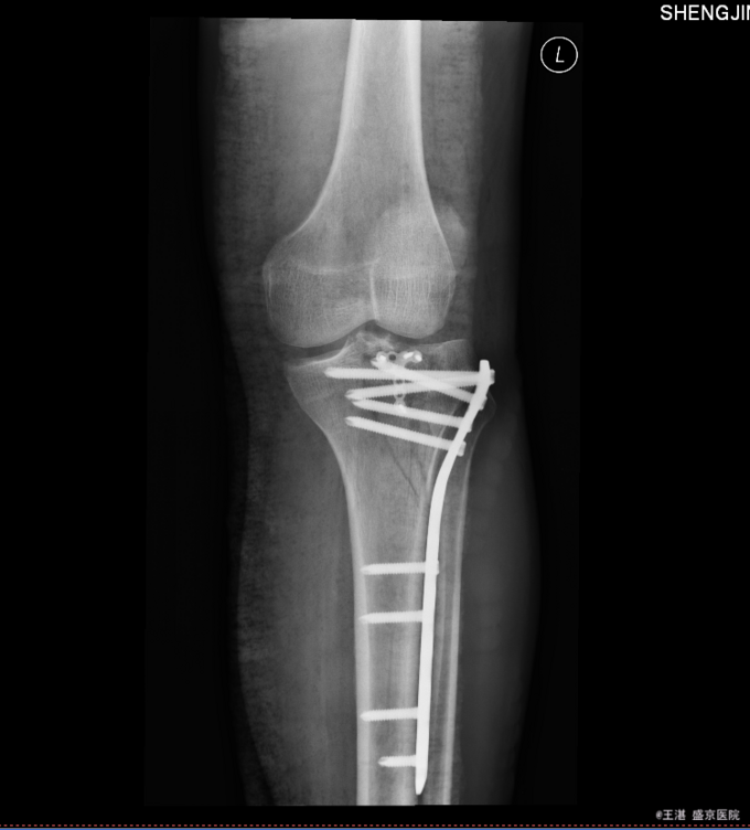
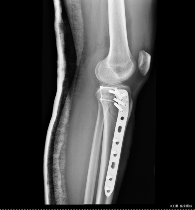
患者及家属自诉于2015年11月28日晚9点在沈阳市铁西区自己摔倒,摔倒后左下肢疼痛,活动受限,不能活动,急送至沈阳八院急诊,行DR提示:左胫骨近端粉碎性骨折。后送至我院急诊,行左膝关节CT后以“左胫骨近端粉碎性骨折”为主要诊断收入我科。患者轮椅入病房,无发热,无头晕头迷,无胸闷气短,无心慌心悸,无腹痛腹胀,受伤后排气正常,大小便未排。

专科查体:患者轮椅入病房。左小腿活动受限,压痛(+),叩击痛(+),双下肢皮肤感觉正常,足背动脉可扪及搏动,末梢血运良好,足趾活动灵活。 辅助检查:左膝关节CT:(我院,2015-11-29):左胫骨近端粉碎性骨折。




患者入院后完善相关检查,明确诊断,手术指征明确,于2015-12-2日于全麻下行左胫骨平台骨折切开复位内固定术,术后经抗炎、止疼等对症治疗后,患者恢复顺利,切口愈合良好,可出院。

